Department of Anatomical and Cellular Pathology, Prince of Wales Hospital, The Chinese University of Hong Kong, Hong Kong, Hong Kong, China,
Department of Pathology, North District Hospital, Sheung Shui, New Territories, Hong Kong, China.
Acta Cytol. 2024;68(1):45-53. doi: 10.1159/000535836. Epub 2023 Dec 21.
Fine-needle aspiration biopsy (FNAB) of the breast is an effective and widely adopted diagnostic technique. Histopathologic grading of ductal carcinoma in situ (DCIS) has prognostic significance. In this current study, FNAB of DCIS was reviewed to identify parameters that predict grading, histopathologic architecture, and presence of invasion in DCIS.
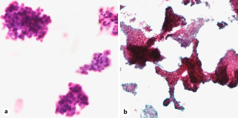
Aspirates from histopathology-proven cases of DCIS were retrieved and reviewed for cytomorphologic parameters including cellularity, composition, epithelial fragment architecture cellular/nuclear features.
In total 104 aspirates were reviewed. Cytopathologic cellular features - large nuclear size (p = 0.005), prominent nucleoli (p = 0.011), increased nuclear membrane irregularity (p = 0.043), high variation in nuclear size (p = 0.025), and presence of apoptotic figures in epithelial structures (p < 0.001); and background debris (p = 0.033) correlated with a high-grade diagnosis. Cytoplasmic vacuolation (p = 0.034) was seen exclusively in non-high-grade aspirates. Epithelial fragment architecture did not correlate with grading. A predominance (≥50%) of solid aggregates and papillary fragments on FNAB correlated with histopathologically solid (p = 0.039, p = 0.005) and papillary (p = 0.029, < p = 0.001) patterns. No parameter showed correlation with invasion.
FNAB is effective in predicting DCIS grading. Epithelial fragment architecture assessment is limited to papillary or solid types, and FNAB cannot predict focal invasion in DCIS.
细针穿刺活检(FNAB)是一种有效的、广泛应用的诊断技术。乳腺导管原位癌(DCIS)的组织病理学分级具有预后意义。在本研究中,回顾了 DCIS 的 FNAB,以确定预测 DCIS 分级、组织病理学结构和存在浸润的参数。
回顾了经组织病理学证实的 DCIS 病例的抽吸物,以评估细胞形态学参数,包括细胞密度、成分、上皮碎片结构、细胞/核特征。
共回顾了 104 个抽吸物。细胞学特征 - 细胞核大(p = 0.005)、核仁明显(p = 0.011)、核膜不规则增加(p = 0.043)、核大小变化大(p = 0.025)和上皮结构中存在凋亡小体(p < 0.001);以及背景碎片(p = 0.033)与高级别诊断相关。细胞质空泡化(p = 0.034)仅见于非高级别抽吸物中。上皮碎片结构与分级无关。FNAB 中固体聚集物和乳头状碎片的优势(≥50%)与组织病理学上的实性(p = 0.039,p = 0.005)和乳头状(p = 0.029,<p = 0.001)模式相关。没有参数与浸润相关。
FNAB 可有效预测 DCIS 分级。上皮碎片结构评估仅限于乳头状或实性类型,FNAB 不能预测 DCIS 中的局灶性浸润。