Suppr超能文献

采用定制3D打印钛质舟骨部分及全舟骨假体与舟骨骨间韧带重建治疗舟骨不愈合

Treatment of Scaphoid Non-Unions with Custom-Made 3D-Printed Titanium Partial and Total Scaphoid Prostheses and Scaphoid Interosseous Ligament Reconstruction.

作者信息

Cioffi Alessio, Rovere Giuseppe, Bosco Francesco, Sinno Ennio, Stramazzo Leonardo, Liuzza Francesco, Ziranu Antonio, Romeo Michele, Vigni Giulio Edoardo, Galvano Nicolò, Maccauro Giulio, Farsetti Pasquale, Rossello Mario Igor, Camarda Lawrence

机构信息

Department of Orthopaedic Surgery (DICHIRONS), University of Palermo, 90133 Palermo, Italy.

Department of Orthopaedics and Traumatology, Fondazione Policlinico Universitario A. Gemelli IRCCS, Università Cattolica del Sacro Cuore, 00168 Rome, Italy.

出版信息

Healthcare (Basel). 2023 Dec 8;11(24):3123. doi: 10.3390/healthcare11243123.

Abstract

PURPOSE

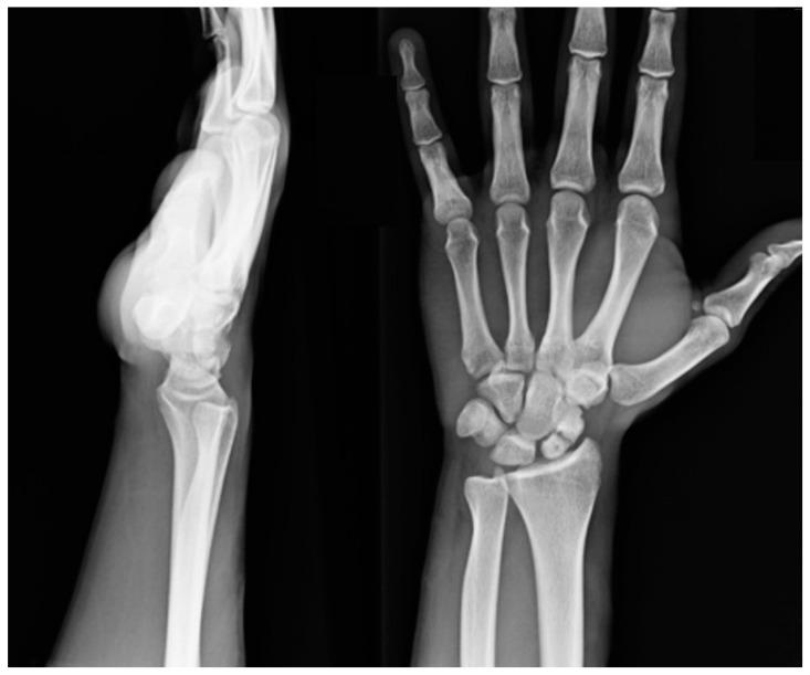
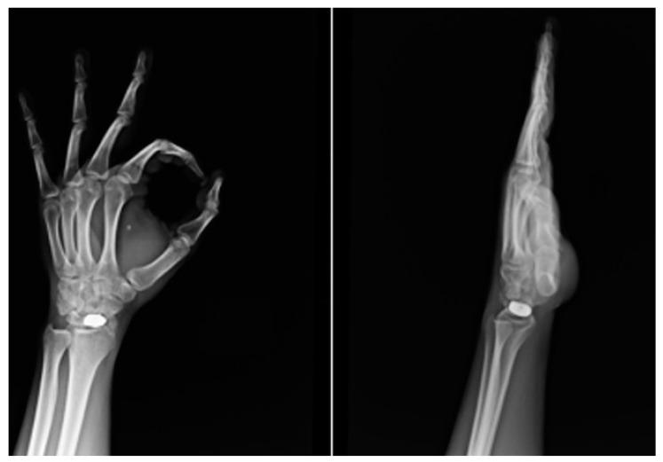
Treatment of scaphoid fracture sequelae is still an unsolved problem in hand surgery. Custom-made 3D-printed titanium partial and total scaphoid prosthesis and scaphoid interosseous ligament reconstruction (SLIL) are performed in cases of non-union and isolated aseptic necrosis of the proximal scaphoid pole and when it is impossible to save the scaphoid bone, respectively. This study aims to evaluate the clinical, functional and radiographic results after these two prosthesis implantations.

METHODS

Between January 2019 and July 2020, nine partial and ten total scaphoid prostheses were implanted using custom-made 3D-printed titanium implants. Evaluation criteria included carpal height ratio (CHR), radioscaphoid angle, wrist extension and flexion, radial deviation and ulnar deviation of the wrist, grip strength and pinch strength, Visual Analogue Scale (VAS), the Disabilities of Arm, Shoulder, and Hand (DASH) score, and the Patient-Rated Wrist Evaluation (PRWE).

RESULTS

Clinical, functional, and radiographic improvements were found in all outcomes analyzed for both patient groups. The VAS pain scale obtained the most remarkable improvement at the one-year follow-up. The results of the DASH scores and the PRWE were good, with a great rate of patient satisfaction at the end of the follow-up. SLIL reconstruction also provided excellent stability and prevented a mid-carpal bone collapse in the short- and medium-term follow-up.

CONCLUSIONS

A custom-made 3D-printed titanium partial or total scaphoid prosthesis is a viable solution for patients with scaphoid non-union and necrosis or complete scaphoid destruction in whom previous conservative or surgical treatment has failed.

摘要

目的

舟骨骨折后遗症的治疗仍是手外科尚未解决的问题。对于舟骨不愈合和舟骨近端孤立性无菌性坏死,以及无法保留舟骨的情况,分别采用定制的3D打印钛质舟骨部分和全舟骨假体以及舟骨骨间韧带重建术(SLIL)。本研究旨在评估这两种假体植入后的临床、功能和影像学结果。

方法

2019年1月至2020年7月期间,使用定制的3D打印钛植入物植入了9个舟骨部分假体和10个全舟骨假体。评估标准包括腕骨高度比(CHR)、桡舟角、腕关节伸展和屈曲、腕关节桡偏和尺偏、握力和捏力、视觉模拟量表(VAS)、上肢、肩部和手部功能障碍(DASH)评分以及患者自评腕关节评估(PRWE)。

结果

在对两组患者分析的所有结果中均发现了临床、功能和影像学改善。VAS疼痛量表在一年随访时改善最为显著。DASH评分和PRWE结果良好,随访结束时患者满意度很高。在短期和中期随访中,SLIL重建也提供了出色的稳定性并防止了腕中骨塌陷。

结论

定制的3D打印钛质舟骨部分或全舟骨假体对于舟骨不愈合、坏死或舟骨完全破坏且先前保守或手术治疗失败的患者是一种可行的解决方案。

https://cdn.ncbi.nlm.nih.gov/pmc/blobs/98ce/10743063/b5694c991cd4/healthcare-11-03123-g001.jpg

文献AI研究员

20分钟写一篇综述,助力文献阅读效率提升50倍。

立即体验

用中文搜PubMed

大模型驱动的PubMed中文搜索引擎

马上搜索

文档翻译

学术文献翻译模型,支持多种主流文档格式。

立即体验