Wang Tian-Jiao, Wang Yun, Zhang Zhu-Hua, Wang Ming, Wang Man, Su Tong, Xu Ying-Hao, Ma Zhuang-Fei, Wang Jian, Chen Yu, Jin Zheng-Yu
Department of Radiology, Peking Union Medical College Hospital, Chinese Academy of Medical Sciences, No. 1 Shuai Fu Yuan, Dong Cheng District, Beijing, 100730, China.
Canon Medical Systems (China) CO., LTD., Building 205, Yard NO. A10, JiuXianQiao North Road, Beijing, 100015, China.
Heliyon. 2023 Nov 23;10(1):e22810. doi: 10.1016/j.heliyon.2023.e22810. eCollection 2024 Jan 15.
To evaluate the image quality of low-dose temporal bone computed tomography (CT) in otitis media and mastoiditis patients by using deep learning reconstruction (DLR).
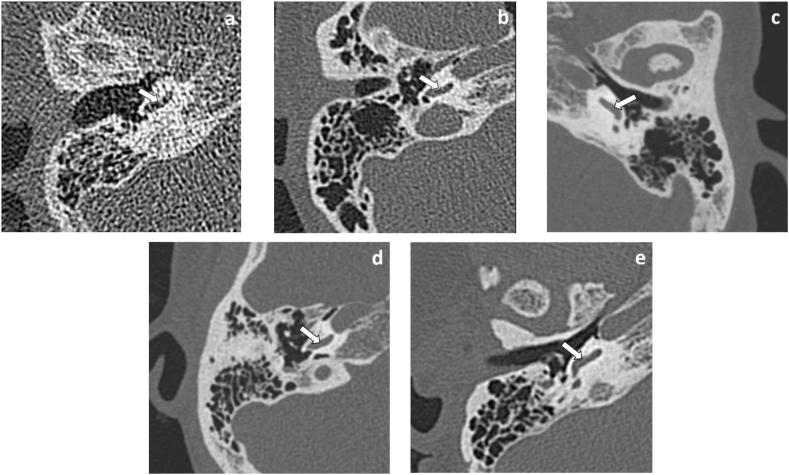
A total of ninety-seven temporal bones from 53 consecutive adult patients who had suspected otitis media and mastoiditis and underwent temporal bone CT were prospectively enrolled. All patients underwent high resolution CT protocol (group A) and an additional low-dose protocol (group B). In group A, high resolution data were reconstructed by filter back projection (FBP). In group B, low-dose data were reconstructed by DLR mild (B1), DLR standard (B2) and DLR strong (B3). The objective image quality was analyzed by measuring the CT value and image noise on the transverse image and calculating the signal-to-noise ratio (SNR) on incudomallear joint, retroauricular muscle, vestibule and subcutaneous fat. Subjective image quality was analyzed by using a five-point scale to evaluate nine anatomical structures of middle and inner ear. The number of temporal bone lesions which involved in five structures of middle ear were assessed in group A, B1, B2 and B3 images.
There were no significant differences in the CT values of the four reconstruction methods at four structures (all p > 0.05). The DLR group B1, B2 and B3 had significantly less image noise and a significantly higher SNR than group A at four structures (all p < 0.001). The group B1 had comparable subjective image quality as group A in nine structures (all p > 0.05), however, the group B3 had lower subjective image quality than group A in modiolus, spiral osseous lamina and stapes (all p < 0.001), the group B2 had lower subjective image quality than group A in modiolus and spiral osseous lamina (both p < 0.05). The number of temporal bone lesions which involved in five structures for group A, B1 and B2 images were no significant difference (all p > 0.05), however, the number of temporal bone lesions which involved in mastoid for group B3 images were significantly more than group A (p < 0.05). The radiation dose of high resolution CT protocol and low-dose protocol were 0.55 mSv and 0.11 mSv, respectively.
Compared with high resolution CT protocol, in the low-dose protocol of temporal bone CT, DLR mild and standard could improve the objective image quality, maintain good subjective image quality and satisfy clinical diagnosis of otitis media and mastoiditis patients.
通过深度学习重建(DLR)评估中耳炎和乳突炎患者低剂量颞骨计算机断层扫描(CT)的图像质量。
前瞻性纳入53例连续成年患者的97侧颞骨,这些患者疑似患有中耳炎和乳突炎并接受了颞骨CT检查。所有患者均接受高分辨率CT扫描方案(A组)及额外的低剂量扫描方案(B组)。A组中,高分辨率数据采用滤波反投影(FBP)重建。B组中,低剂量数据分别采用轻度DLR(B1)、标准DLR(B2)和强化DLR(B3)进行重建。通过测量横轴位图像的CT值和图像噪声,并计算砧镫关节、耳后肌、前庭和皮下脂肪的信噪比(SNR)来分析客观图像质量。采用五点量表对中耳和内耳的九个解剖结构进行主观图像质量分析。评估A组、B1组、B2组和B3组图像中耳五个结构受累的颞骨病变数量。
四种重建方法在四个结构的CT值上无显著差异(所有p>0.05)。DLR的B1组、B2组和B3组在四个结构的图像噪声明显低于A组,SNR明显高于A组(所有p<0.001)。B1组在九个结构的主观图像质量与A组相当(所有p>0.05),然而,B3组在蜗轴、螺旋骨板和镫骨的主观图像质量低于A组(所有p<0.001),B2组在蜗轴和螺旋骨板的主观图像质量低于A组(均p<0.05)。A组、B1组和B2组图像中耳五个结构受累的颞骨病变数量无显著差异(所有p>0.05),然而,B3组图像中乳突受累的颞骨病变数量明显多于A组(p<0.05)。高分辨率CT扫描方案和低剂量扫描方案的辐射剂量分别为0.55 mSv和0.11 mSv。
与高分辨率CT扫描方案相比,在颞骨CT的低剂量扫描方案中,轻度和标准DLR可提高客观图像质量,保持良好的主观图像质量,并满足中耳炎和乳突炎患者的临床诊断需求。