Suppr超能文献

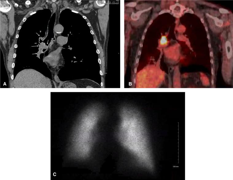
Thoracoscopic right intrapericardial pneumonectomy.

作者信息

Hennon Mark W, Demmy Todd L

机构信息

Department of Thoracic Surgery, Roswell Park Comprehensive Cancer Center, Buffalo, NY.

Department of Surgery, University at Buffalo, Buffalo, NY.

出版信息

JTCVS Tech. 2023 Sep 10;22:275-280. doi: 10.1016/j.xjtc.2023.08.022. eCollection 2023 Dec.

Abstract
摘要
https://cdn.ncbi.nlm.nih.gov/pmc/blobs/440c/10750796/109abb0ffed0/fx1.jpg

文献AI研究员

20分钟写一篇综述,助力文献阅读效率提升50倍。

立即体验

用中文搜PubMed

大模型驱动的PubMed中文搜索引擎

马上搜索

文档翻译

学术文献翻译模型,支持多种主流文档格式。

立即体验