Pergola Valeria, D'Andrea Antonello, Galzerano Domenico, Mantovani Francesca, Rizzo Massimiliano, Giannuario Giovanna Di, Khoury Georgette, Polizzi Vincenzo, Rabia Granit, Gimelli Alessia, Campana Marco
Department of Cardiac, Thoracic and Vascular Sciences and Public Health, University of Padova, Padova, Italy.
P.O. Umberto I Hospital, Nocera Inferiore, Salerno, Italy.
J Cardiovasc Echogr. 2023 Jul-Sep;33(3):117-124. doi: 10.4103/jcecho.jcecho_44_23. Epub 2023 Nov 20.
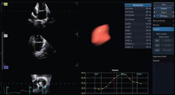
The left atrium (LA) is a vital component of the cardiovascular system, playing a crucial role in cardiac function. It acts as a reservoir, conduit, and contractile chamber, contributing to optimal left ventricle (LV) filling and cardiac output. Abnormalities in LA function have been associated with various cardiovascular conditions, including heart failure, atrial fibrillation, valvular heart disease, and hypertension. Elevated left ventricular filling pressures resulting from impaired LA function can lead to diastolic dysfunction and increase the risk of adverse cardiovascular events. Understanding the relationship between LA function and LV filling pressures is crucial for comprehending the pathophysiology of cardiovascular diseases and guiding clinical management strategies. This article provides an overview of the anatomy and physiology of the LA, discusses the role of LA mechanics in maintaining normal cardiac function, highlights the clinical implications of elevated filling pressures, and explores diagnostic methods for assessing LA function and filling pressures. Furthermore, it discusses the prognostic implications and potential therapeutic approaches for managing patients with abnormal LA function and elevated filling pressure. Continued research and clinical focus on left atrial function are necessary to improve diagnostic accuracy, prognostic assessment, and treatment strategies in cardiovascular diseases. It will explore the importance of assessing LA function as a marker of cardiac performance and evaluate its implications for clinical practice. In accordance with rigorous scientific methodology, our search encompassed PubMed database. We selected articles deemed pertinent to our subject matter. Subsequently, we extracted and synthesized the salient contents, capturing the essence of each selected article.
左心房(LA)是心血管系统的重要组成部分,在心脏功能中起着关键作用。它充当着储存库、管道和收缩腔室,有助于左心室(LV)的最佳充盈和心输出量。左心房功能异常与多种心血管疾病相关,包括心力衰竭、心房颤动、心脏瓣膜病和高血压。左心房功能受损导致的左心室充盈压升高可导致舒张功能障碍,并增加不良心血管事件的风险。了解左心房功能与左心室充盈压之间的关系对于理解心血管疾病的病理生理学和指导临床管理策略至关重要。本文概述了左心房的解剖结构和生理功能,讨论了左心房力学在维持正常心脏功能中的作用,强调了充盈压升高的临床意义,并探讨了评估左心房功能和充盈压的诊断方法。此外,还讨论了左心房功能异常和充盈压升高患者管理的预后意义和潜在治疗方法。持续开展关于左心房功能的研究并保持临床关注,对于提高心血管疾病的诊断准确性、预后评估和治疗策略至关重要。本文将探讨评估左心房功能作为心脏性能指标的重要性,并评估其对临床实践的影响。按照严格的科学方法,我们检索了PubMed数据库。我们挑选了与我们主题相关的文章。随后,我们提取并综合了这些文章的重要内容,提炼出每篇所选文章的精髓。