Suppr超能文献

吞食大量体温计且多年未予重视后数十年出现多处瘘管:一例报告

Occurrence of multiple fistulas decades after ingestion and neglect of numerous thermometers: a case report.

作者信息

Schulte Katrin, Wolf Henning Wendelin

机构信息

General and Visceral Surgery, Cantonal Hospital Aarau, Tellstrasse 25, 5001, Aarau, Switzerland.

出版信息

Surg Case Rep. 2024 Jan 2;10(1):4. doi: 10.1186/s40792-023-01801-w.

Abstract

BACKGROUND

Ingestion of thermometers is a very rare occurrence and associated with penetrations of hollow organs. An event decades ago can lead to the development of fistulas.

CASE PRESENTATION

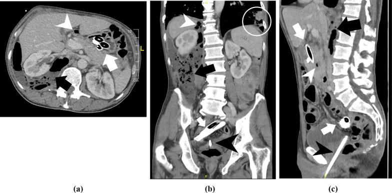
We present a case of a 62-year-old male who swallowed multiple thermometers with a length of up to 22 cm over a period of 40 years. Diagnostic imaging presented a retroperitoneal abscess due to a duodenal perforation of the longest thermometer as well as multiple other thermometers stuck in the small intestine. After all thermometers were removed and the abscess drained, the patient showed a clinical deterioration. In further operations we found a duodeno-sigmoid fistula and a gastro-thoracal fistula, which were not visible in the initial operations and imaging.

CONCLUSION

We recommend an active search for fistulas especially in the case of long-foregone ingestion.

摘要

背景

吞食体温计是非常罕见的情况,且与中空器官穿孔有关。数十年前发生的此类事件可能导致瘘管形成。

病例介绍

我们报告一例62岁男性病例,该患者在40年时间里吞食了多支长达22厘米的体温计。诊断性影像学检查显示,由于最长的体温计导致十二指肠穿孔,进而形成腹膜后脓肿,同时还有多支体温计卡在小肠内。在取出所有体温计并引流脓肿后,患者病情出现恶化。在后续手术中,我们发现了十二指肠-乙状结肠瘘和胃-胸瘘,这些在最初的手术和影像学检查中均未发现。

结论

我们建议,特别是对于长期吞食体温计的病例,应积极排查瘘管。

https://cdn.ncbi.nlm.nih.gov/pmc/blobs/c8bf/10761639/72a5c91353c1/40792_2023_1801_Fig1_HTML.jpg

文献AI研究员

20分钟写一篇综述,助力文献阅读效率提升50倍。

立即体验

用中文搜PubMed

大模型驱动的PubMed中文搜索引擎

马上搜索

文档翻译

学术文献翻译模型,支持多种主流文档格式。

立即体验