• 文献检索
  • 文档翻译
  • 深度研究
  • 学术资讯
  • Suppr Zotero 插件Zotero 插件
  • 邀请有礼
  • 套餐&价格
  • 历史记录
应用&插件
Suppr Zotero 插件Zotero 插件浏览器插件Mac 客户端Windows 客户端微信小程序
定价
高级版会员购买积分包购买API积分包
服务
文献检索文档翻译深度研究API 文档MCP 服务
关于我们
关于 Suppr公司介绍联系我们用户协议隐私条款
关注我们

Suppr 超能文献

核心技术专利:CN118964589B侵权必究
粤ICP备2023148730 号-1Suppr @ 2026

文献检索

告别复杂PubMed语法,用中文像聊天一样搜索,搜遍4000万医学文献。AI智能推荐,让科研检索更轻松。

立即免费搜索

文件翻译

保留排版,准确专业,支持PDF/Word/PPT等文件格式,支持 12+语言互译。

免费翻译文档

深度研究

AI帮你快速写综述,25分钟生成高质量综述,智能提取关键信息,辅助科研写作。

立即免费体验

良性和恶性前列腺肿瘤表现出不同的胶原空间组织。

Benign and malignant prostate neoplasms show different spatial organization of collagen.

机构信息

Taras Zadvornyi, R.E. Kavetsky Institute of Experimental Pathology, Oncology and Radiobiology, National Academy of Sciences of Ukraine, Vasylkivska str. 45, Kyiv-03022, Ukraine,

出版信息

Croat Med J. 2023 Dec 31;64(6):413-420. doi: 10.3325/cmj.2023.64.413.

DOI:10.3325/cmj.2023.64.413
PMID:38168522
原文链接:https://pmc.ncbi.nlm.nih.gov/articles/PMC10797232/
Abstract

AIM

To compare the indicators of the spatial organization of collagen and its regulating factors between benign and malignant prostate neoplasms.

METHODS

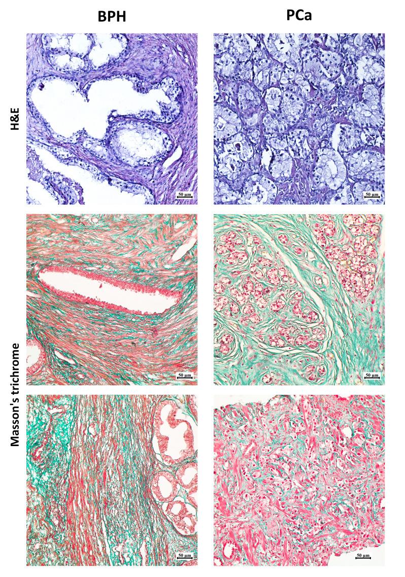
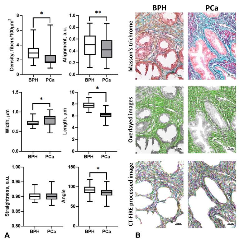
The study involved tumor tissue samples from 40 patients with stage II-III prostate cancer (PCa) and 20 patients with benign prostatic hyperplasia (BPH). The localization of collagen was determined with a Masson trichrome stain. To establish quantitative indicators of the spatial organization of collagen, morphometric studies were carried out with the CurveAlign and ImageJ programs.

RESULTS

PCa tissue had two times lower collagen density (P<0.0001) and 1.3 times lower levels of collagen alignment (P=0.018) compared with BPH tissue. In PCa tissue, collagen fibers were shorter (by 24.2%; P<0.001) and thicker (by 15.5%; P<0.001). PCa tissue samples showed significantly higher levels of metalloproteinase (MMP)-2 (by 2.4 times; P=0.001), MMP-8 (by 2.3 times; P=0.007), and MMP-13 (by 1.9 times; P=0.004).

CONCLUSIONS

Collagen matrix spatial organization features, as well as its regulatory factors, could be potential biomarkers of malignant prostate neoplasms.

摘要

目的

比较良性和恶性前列腺肿瘤组织中胶原蛋白及其调节因子的空间组织学指标。

方法

本研究纳入了 40 名 II-III 期前列腺癌(PCa)患者和 20 名良性前列腺增生(BPH)患者的肿瘤组织样本。采用 Masson 三色染色法确定胶原蛋白的定位。为了建立胶原蛋白空间组织学的定量指标,采用 CurveAlign 和 ImageJ 程序进行形态计量学研究。

结果

与 BPH 组织相比,PCa 组织的胶原蛋白密度低 2 倍(P<0.0001),胶原蛋白排列水平低 1.3 倍(P=0.018)。在 PCa 组织中,胶原蛋白纤维短 24.2%(P<0.001)且厚 15.5%(P<0.001)。PCa 组织样本中金属基质蛋白酶(MMP)-2 的水平高 2.4 倍(P=0.001),MMP-8 高 2.3 倍(P=0.007),MMP-13 高 1.9 倍(P=0.004)。

结论

胶原蛋白基质空间组织学特征及其调节因子可能是恶性前列腺肿瘤的潜在生物标志物。

https://cdn.ncbi.nlm.nih.gov/pmc/blobs/ca2a/10797232/4ba1a8da243e/CroatMedJ_64_0413-F3.jpg
https://cdn.ncbi.nlm.nih.gov/pmc/blobs/ca2a/10797232/2b3c0d0b96a7/CroatMedJ_64_0413-F1.jpg
https://cdn.ncbi.nlm.nih.gov/pmc/blobs/ca2a/10797232/d7d1227f32ce/CroatMedJ_64_0413-F2.jpg
https://cdn.ncbi.nlm.nih.gov/pmc/blobs/ca2a/10797232/4ba1a8da243e/CroatMedJ_64_0413-F3.jpg
https://cdn.ncbi.nlm.nih.gov/pmc/blobs/ca2a/10797232/2b3c0d0b96a7/CroatMedJ_64_0413-F1.jpg
https://cdn.ncbi.nlm.nih.gov/pmc/blobs/ca2a/10797232/d7d1227f32ce/CroatMedJ_64_0413-F2.jpg
https://cdn.ncbi.nlm.nih.gov/pmc/blobs/ca2a/10797232/4ba1a8da243e/CroatMedJ_64_0413-F3.jpg

相似文献

1
Benign and malignant prostate neoplasms show different spatial organization of collagen.良性和恶性前列腺肿瘤表现出不同的胶原空间组织。
Croat Med J. 2023 Dec 31;64(6):413-420. doi: 10.3325/cmj.2023.64.413.
2
Phenotypic characterization of human prostatic stromal cells in primary cultures derived from human tissue samples.原代培养人组织样本来源的人前列腺基质细胞的表型特征。
Int J Oncol. 2013 Jun;42(6):2116-22. doi: 10.3892/ijo.2013.1892. Epub 2013 Apr 10.
3
Differential expression of Low density lipoprotein Receptor-related Protein 1 (LRP-1) and matrix metalloproteinase-9 (MMP-9) in prostate gland: From normal to malignant lesions.低密度脂蛋白受体相关蛋白1(LRP-1)和基质金属蛋白酶-9(MMP-9)在前列腺中的差异表达:从正常病变到恶性病变
Pathol Res Pract. 2017 Jan;213(1):66-71. doi: 10.1016/j.prp.2016.11.008. Epub 2016 Nov 24.
4
Underexpression of MMP-2 and its regulators, TIMP2, MT1-MMP and IL-8, is associated with prostate cancer.MMP-2 及其调节因子 TIMP2、MT1-MMP 和 IL-8 的低表达与前列腺癌有关。
Int Braz J Urol. 2012 Mar-Apr;38(2):167-74. doi: 10.1590/s1677-55382012000200004.
5
Co-expression of TLR-9 and MMP-13 is associated with the degree of tumour differentiation in prostate cancer.TLR-9 和 MMP-13 的共表达与前列腺癌肿瘤分化程度相关。
Int J Exp Pathol. 2019 Apr;100(2):123-132. doi: 10.1111/iep.12314. Epub 2019 May 14.
6
Characterization of fibrillar collagens and extracellular matrix of glandular benign prostatic hyperplasia nodules.腺性良性前列腺增生结节的纤维状胶原蛋白和细胞外基质的特征分析
PLoS One. 2014 Oct 2;9(10):e109102. doi: 10.1371/journal.pone.0109102. eCollection 2014.
7
[Phenotyping of angiotensin-converting enzyme in the prostate in patients with prostate cancer and benign prostatic hyperplasia].[前列腺癌和良性前列腺增生患者前列腺中血管紧张素转换酶的表型分析]
Urologiia. 2020 Nov(5):20-27.
8
Phytoestrogen tissue levels in benign prostatic hyperplasia and prostate cancer and their association with prostatic diseases.良性前列腺增生和前列腺癌中植物雌激素的组织水平及其与前列腺疾病的关联。
Urology. 2004 Oct;64(4):707-11. doi: 10.1016/j.urology.2004.04.046.
9
[Differences in pathological features of histological inflammation between benign prostatic hyperplasia and prostate cancer].良性前列腺增生与前列腺癌组织学炎症的病理特征差异
Sichuan Da Xue Xue Bao Yi Xue Ban. 2013 Sep;44(5):760-3, 768.
10
Apoptosis and nuclear shapes in benign prostate hyperplasia and prostate adenocarcinoma: comparison with and relation to Gleason score.良性前列腺增生和前列腺腺癌中的细胞凋亡与细胞核形态:与 Gleason 评分的比较及关系
Int J Urol. 1999 Jan;6(1):13-8. doi: 10.1046/j.1442-2042.1999.06116.x.

引用本文的文献

1
Prenatal and pubertal exposure to ethinylestradiol induces Long-Term stromal and epithelial changes in the gerbil dorsal prostate.孕期和青春期接触乙炔雌二醇会导致沙鼠背侧前列腺出现长期的基质和上皮变化。
J Mol Histol. 2025 Aug 29;56(5):280. doi: 10.1007/s10735-025-10568-3.

本文引用的文献

1
EVALUATION OF DIAGNOSTIC ALGORITHM BASED ON COLLAGEN ORGANIZATION PARAMETERS FOR BREAST TUMORS.基于胶原蛋白组织参数的乳腺肿瘤诊断算法评估
Exp Oncol. 2022 Dec;44(4):281-286. doi: 10.32471/exp-oncology.2312-8852.vol-44-no-4.19137.
2
Tumor microenvironment heterogeneity an important mediator of prostate cancer progression and therapeutic resistance.肿瘤微环境异质性是前列腺癌进展和治疗抵抗的重要介导因素。
NPJ Precis Oncol. 2022 May 4;6(1):31. doi: 10.1038/s41698-022-00272-w.
3
Matrix Metalloproteinases Shape the Tumor Microenvironment in Cancer Progression.
基质金属蛋白酶在癌症进展中塑造肿瘤微环境。
Int J Mol Sci. 2021 Dec 23;23(1):146. doi: 10.3390/ijms23010146.
4
Immune Modulatory Properties of Collagen in Cancer.胶原蛋白在癌症中的免疫调节特性。
Front Immunol. 2021 Dec 8;12:791453. doi: 10.3389/fimmu.2021.791453. eCollection 2021.
5
Mammary collagen architecture and its association with mammographic density and lesion severity among women undergoing image-guided breast biopsy.女性行影像引导下乳腺活检中乳腺胶原结构及其与乳腺 X 线摄影密度和病变严重程度的关系。
Breast Cancer Res. 2021 Nov 9;23(1):105. doi: 10.1186/s13058-021-01482-z.
6
Engineering a 3D collective cancer invasion model with control over collagen fiber alignment.工程化具有胶原纤维定向控制的 3D 集体癌症浸润模型。
Biomaterials. 2021 Aug;275:120922. doi: 10.1016/j.biomaterials.2021.120922. Epub 2021 Jun 4.
7
Melatonin impedes prostate cancer metastasis by suppressing MMP-13 expression.褪黑素通过抑制 MMP-13 的表达来阻碍前列腺癌转移。
J Cell Physiol. 2021 May;236(5):3979-3990. doi: 10.1002/jcp.30150. Epub 2020 Nov 29.
8
Collagen-rich omentum is a premetastatic niche for integrin α2-mediated peritoneal metastasis.富含胶原蛋白的网膜是整合素 α2 介导的腹膜转移的前转移生态位。
Elife. 2020 Oct 7;9:e59442. doi: 10.7554/eLife.59442.
9
Mechanics of a multilayer epithelium instruct tumour architecture and function.多层上皮的力学特性可指导肿瘤的结构和功能。
Nature. 2020 Sep;585(7825):433-439. doi: 10.1038/s41586-020-2695-9. Epub 2020 Sep 2.
10
Altered organization of collagen fibers in the uninvolved human colon mucosa 10 cm and 20 cm away from the malignant tumor.癌旁正常黏膜中胶原纤维排列紊乱,距恶性肿瘤 10cm 和 20cm 处的人结肠黏膜均如此。
Sci Rep. 2020 Apr 14;10(1):6359. doi: 10.1038/s41598-020-63368-y.