Suppr超能文献

Pediatric Neck Swelling: A Case Report of Fourth Branchial Cleft Cyst.

作者信息

Al-Thawwab Noor I, Alhashim Maryam J, Alharbi Ghaida S, Alharbi Kawkab M, Abdultawab Ahmad A

机构信息

General Practice, Imam Abdulrahman Bin Faisal University, Dammam, SAU.

General Practice, Qassim University, Qassim, SAU.

出版信息

Cureus. 2023 Dec 7;15(12):e50149. doi: 10.7759/cureus.50149. eCollection 2023 Dec.

Abstract

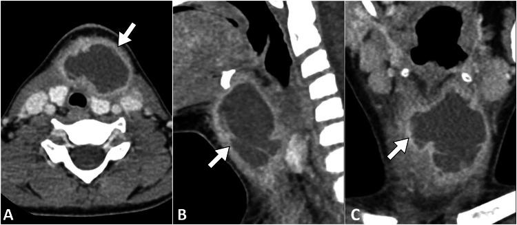
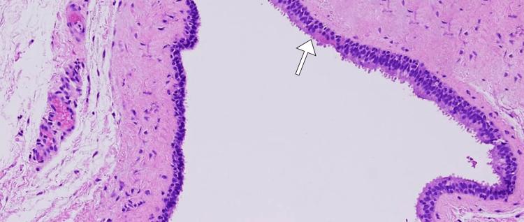
Pediatric neck masses present a diagnostic challenge, encompassing various etiologies, including rare entities like branchial cleft anomalies. Branchial cleft cysts, resulting from incomplete embryonic cleft obliteration, may become symptomatic. This case report describes a seven-year-old boy who presented with a week-long history of fever and progressively enlarging left anterior cervical swelling. Physical examination revealed a fluctuant, non-tender mass, prompting diagnostic investigations. Laboratory results indicated an elevated white blood cell count and inflammatory markers. Computed tomography identified a hypodense, rim-enhancing mass consistent with an abscess secondary to a fourth branchial cleft cyst. Ultrasound-guided aspiration yielded purulent material, confirming infection. This case highlights the clinical significance of fourth branchial cleft cysts as rare inflammatory neck masses in pediatric patients. The embryological context informs their diverse anatomical manifestations. Surgical excision remains the primary treatment, demanding consideration of anatomical complexities.

摘要
https://cdn.ncbi.nlm.nih.gov/pmc/blobs/8f05/10771579/3deaab0ab967/cureus-0015-00000050149-i01.jpg

文献AI研究员

20分钟写一篇综述,助力文献阅读效率提升50倍。

立即体验

用中文搜PubMed

大模型驱动的PubMed中文搜索引擎

马上搜索

文档翻译

学术文献翻译模型,支持多种主流文档格式。

立即体验