• 文献检索
  • 文档翻译
  • 深度研究
  • 学术资讯
  • Suppr Zotero 插件Zotero 插件
  • 邀请有礼
  • 套餐&价格
  • 历史记录
应用&插件
Suppr Zotero 插件Zotero 插件浏览器插件Mac 客户端Windows 客户端微信小程序
定价
高级版会员购买积分包购买API积分包
服务
文献检索文档翻译深度研究API 文档MCP 服务
关于我们
关于 Suppr公司介绍联系我们用户协议隐私条款
关注我们

Suppr 超能文献

核心技术专利:CN118964589B侵权必究
粤ICP备2023148730 号-1Suppr @ 2026

文献检索

告别复杂PubMed语法,用中文像聊天一样搜索,搜遍4000万医学文献。AI智能推荐,让科研检索更轻松。

立即免费搜索

文件翻译

保留排版,准确专业,支持PDF/Word/PPT等文件格式,支持 12+语言互译。

免费翻译文档

深度研究

AI帮你快速写综述,25分钟生成高质量综述,智能提取关键信息,辅助科研写作。

立即免费体验

钝性腹部创伤所致胃动脉损伤

Gastric Artery Injury Due to Blunt Abdominal Trauma.

作者信息

Ichiyama Saaya, Ishizawa Yoshiya, Washida Keisuke, Kakehata Shinya, Kakeda Shingo

机构信息

Emergency and Disaster Medicine, Hirosaki University, Hiorosaki, JPN.

Emergency and Critical Care Center, Aomori Prefectural Central Hospital, Aomori, JPN.

出版信息

Cureus. 2023 Dec 6;15(12):e50018. doi: 10.7759/cureus.50018. eCollection 2023 Dec.

DOI:10.7759/cureus.50018
PMID:38186483
原文链接:https://pmc.ncbi.nlm.nih.gov/articles/PMC10767424/
Abstract

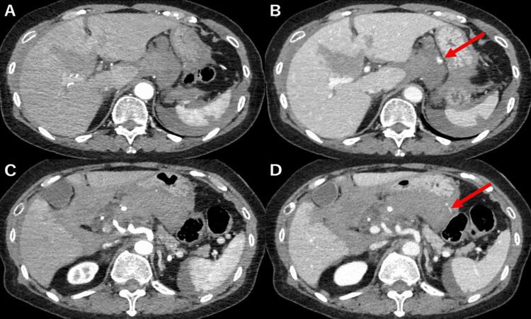
Gastric artery injury resulting from blunt abdominal trauma is rare, with only eight previous cases documented in the published literature. Our report describes a case involving an injury to the right gastric artery with concomitant injuries to the liver and spleen, for which arterial embolization targeting the right gastric artery was performed. The patient, a 66-year-old woman without any remarkable medical history, was involved in a motor vehicle accident. She was brought to the hospital in a state of shock and complaining of upper abdominal pain. Contrast-enhanced CT indicated hepatic and splenic injuries, intra-abdominal hemorrhaging, and effusion of contrast medium, suggesting involvement of the right gastric artery. Subsequent angiography confirmed irregularities in the diameter of the right gastric artery, prompting coil embolization. A conservative therapeutic approach was selected due to the absence of evidence regarding active hemorrhage or vascular injury within the hepatic or splenic regions. The patient remained clinically stable following the embolization, without any sequelae. Arterial embolization is warranted if preoperative contrast CT indicates signs of hemorrhage, even if hemostasis is ostensibly attained during angiography. Our findings allude to the feasibility of non-operative management (NOM) rather than laparotomy for cases of gastric artery injury.

摘要

钝性腹部创伤导致的胃动脉损伤较为罕见,既往发表的文献中仅记录了8例。我们的报告描述了1例涉及右胃动脉损伤并伴有肝脾损伤的病例,针对该病例对右胃动脉进行了动脉栓塞治疗。患者为一名66岁女性,无任何显著病史,遭遇了机动车事故。她被送至医院时处于休克状态,主诉上腹部疼痛。增强CT显示肝脾损伤、腹腔内出血以及造影剂渗出,提示右胃动脉受累。随后的血管造影证实右胃动脉直径不规则,遂进行弹簧圈栓塞。由于没有证据表明肝脾区域存在活动性出血或血管损伤,选择了保守治疗方法。栓塞术后患者临床情况稳定,无任何后遗症。如果术前增强CT显示出血迹象,即使在血管造影时表面上已实现止血,也有必要进行动脉栓塞。我们的研究结果表明,对于胃动脉损伤病例,非手术治疗(NOM)而非剖腹手术是可行的。

https://cdn.ncbi.nlm.nih.gov/pmc/blobs/d4f9/10767424/b08bf1b86555/cureus-0015-00000050018-i05.jpg
https://cdn.ncbi.nlm.nih.gov/pmc/blobs/d4f9/10767424/41504a97cee4/cureus-0015-00000050018-i01.jpg
https://cdn.ncbi.nlm.nih.gov/pmc/blobs/d4f9/10767424/9953ef57484d/cureus-0015-00000050018-i02.jpg
https://cdn.ncbi.nlm.nih.gov/pmc/blobs/d4f9/10767424/53d0a8dd6f55/cureus-0015-00000050018-i03.jpg
https://cdn.ncbi.nlm.nih.gov/pmc/blobs/d4f9/10767424/8fa3d9b30634/cureus-0015-00000050018-i04.jpg
https://cdn.ncbi.nlm.nih.gov/pmc/blobs/d4f9/10767424/b08bf1b86555/cureus-0015-00000050018-i05.jpg
https://cdn.ncbi.nlm.nih.gov/pmc/blobs/d4f9/10767424/41504a97cee4/cureus-0015-00000050018-i01.jpg
https://cdn.ncbi.nlm.nih.gov/pmc/blobs/d4f9/10767424/9953ef57484d/cureus-0015-00000050018-i02.jpg
https://cdn.ncbi.nlm.nih.gov/pmc/blobs/d4f9/10767424/53d0a8dd6f55/cureus-0015-00000050018-i03.jpg
https://cdn.ncbi.nlm.nih.gov/pmc/blobs/d4f9/10767424/8fa3d9b30634/cureus-0015-00000050018-i04.jpg
https://cdn.ncbi.nlm.nih.gov/pmc/blobs/d4f9/10767424/b08bf1b86555/cureus-0015-00000050018-i05.jpg

相似文献

1
Gastric Artery Injury Due to Blunt Abdominal Trauma.钝性腹部创伤所致胃动脉损伤
Cureus. 2023 Dec 6;15(12):e50018. doi: 10.7759/cureus.50018. eCollection 2023 Dec.
2
Splenic injury during colonoscopy: modern treatment approach and splenic salvage.结肠镜检查时的脾脏损伤:现代治疗方法和脾脏保留。
Acta Gastroenterol Belg. 2022 Oct-Dec;85(4):635-636. doi: 10.51821/85.3.11004.
3
Gastric necrosis after gastric artery embolization in a patient with blunt abdominal trauma: a case report.一名钝性腹部创伤患者胃动脉栓塞术后发生胃坏死:病例报告
J Trauma Inj. 2022 Dec;35(4):287-290. doi: 10.20408/jti.2022.0054. Epub 2022 Dec 20.
4
A Case of Traumatic Splenic Arteriovenous Fistula Treated by Transcatheter Arterial Embolization.经导管动脉栓塞术治疗创伤性脾动静脉瘘1例
Cureus. 2024 Jul 6;16(7):e63986. doi: 10.7759/cureus.63986. eCollection 2024 Jul.
5
Non operative management of blunt splenic trauma: a prospective evaluation of a standardized treatment protocol.钝性脾外伤的非手术治疗:一项标准化治疗方案的前瞻性评估
Eur J Trauma Emerg Surg. 2016 Oct;42(5):593-598. doi: 10.1007/s00068-015-0575-z. Epub 2015 Sep 28.
6
Management of splenic and pancreatic trauma.脾和胰腺创伤的管理。
J Visc Surg. 2016 Aug;153(4 Suppl):45-60. doi: 10.1016/j.jviscsurg.2016.04.005. Epub 2016 Jul 9.
7
Right Hepatic Artery Pseudoaneurysm Presenting As Upper Gastrointestinal Bleed: A Deadly Hit and Run Following Blunt Trauma.表现为上消化道出血的右肝动脉假性动脉瘤:钝性创伤后的致命肇事逃逸伤
Cureus. 2023 Dec 28;15(12):e51232. doi: 10.7759/cureus.51232. eCollection 2023 Dec.
8
Traumatic gastric laceration with injury of splenic and celiac vessel following intentional self-harm by crashing of motor vehicle: A case report.
Ann Med Surg (Lond). 2022 May 24;78:103827. doi: 10.1016/j.amsu.2022.103827. eCollection 2022 Jun.
9
Selective nonoperative management of blunt splenic injury: an Eastern Association for the Surgery of Trauma practice management guideline.选择性非手术治疗钝性脾损伤:东部创伤外科学会实践管理指南。
J Trauma Acute Care Surg. 2012 Nov;73(5 Suppl 4):S294-300. doi: 10.1097/TA.0b013e3182702afc.
10
Evaluation and Management of Blunt Solid Organ Trauma.钝性实性器官创伤的评估与处理
Tech Vasc Interv Radiol. 2017 Dec;20(4):230-236. doi: 10.1053/j.tvir.2017.10.001. Epub 2017 Nov 10.

本文引用的文献

1
Splenic trauma: endovascular treatment approach.脾外伤:血管内治疗方法
Ann Transl Med. 2021 Jul;9(14):1194. doi: 10.21037/atm-20-4381.
2
Traumatic Blunt Injuries to the Celiac Artery: A 5-Year Review From a Level I Trauma Center.创伤性钝性腹部动脉损伤:5 年来自一级创伤中心的回顾。
Am Surg. 2020 Dec;86(12):1651-1655. doi: 10.1177/0003134820933572. Epub 2020 Jul 8.
3
Liver trauma: WSES 2020 guidelines.肝脏创伤:WSES 2020 指南。
World J Emerg Surg. 2020 Mar 30;15(1):24. doi: 10.1186/s13017-020-00302-7.
4
Post-traumatic pseudoaneurysms of the left gastric artery: A case report.胃左动脉创伤后假性动脉瘤:一例报告。
Trauma Case Rep. 2018 Dec 5;19:1-6. doi: 10.1016/j.tcr.2018.11.005. eCollection 2019 Feb.
5
Splenic trauma: WSES classification and guidelines for adult and pediatric patients.脾脏创伤:WSES 分类和成人及儿童患者治疗指南。
World J Emerg Surg. 2017 Aug 18;12:40. doi: 10.1186/s13017-017-0151-4. eCollection 2017.
6
Traumatic false aneurysm of the left gastric artery.胃左动脉创伤性假性动脉瘤
Pediatr Surg Int. 2009 May;25(5):455-7. doi: 10.1007/s00383-009-2364-4. Epub 2009 Apr 19.
7
Abdominal injury with airbag deployment for belted drivers in frontal crashes - biomed 2009.正面碰撞中安全带佩戴者因安全气囊展开导致的腹部损伤——生物医学2009年
Biomed Sci Instrum. 2009;45:262-7.
8
Left gastric artery pseudoaneurysm following traumatic pancreatic transection.
Trop Gastroenterol. 2007 Jul-Sep;28(3):133-4.
9
Angiographic embolization of a left gastric artery pseudoaneurysm after blunt abdominal trauma.钝性腹部创伤后胃左动脉假性动脉瘤的血管造影栓塞术。
J Trauma. 2006 Jun;60(6):1350-2. doi: 10.1097/01.ta.0000220336.97076.39.
10
Disruption of the left gastric artery after apparently minor blunt abdominal trauma.
Eur J Surg. 2001 May;167(5):389-91. doi: 10.1080/110241501750215311.