• 文献检索
  • 文档翻译
  • 深度研究
  • 学术资讯
  • Suppr Zotero 插件Zotero 插件
  • 邀请有礼
  • 套餐&价格
  • 历史记录
应用&插件
Suppr Zotero 插件Zotero 插件浏览器插件Mac 客户端Windows 客户端微信小程序
定价
高级版会员购买积分包购买API积分包
服务
文献检索文档翻译深度研究API 文档MCP 服务
关于我们
关于 Suppr公司介绍联系我们用户协议隐私条款
关注我们

Suppr 超能文献

核心技术专利:CN118964589B侵权必究
粤ICP备2023148730 号-1Suppr @ 2026

文献检索

告别复杂PubMed语法,用中文像聊天一样搜索,搜遍4000万医学文献。AI智能推荐,让科研检索更轻松。

立即免费搜索

文件翻译

保留排版,准确专业,支持PDF/Word/PPT等文件格式,支持 12+语言互译。

免费翻译文档

深度研究

AI帮你快速写综述,25分钟生成高质量综述,智能提取关键信息,辅助科研写作。

立即免费体验

阿替利珠单抗联合贝伐单抗治疗肝细胞癌期间发生免疫相关性无菌性脑膜炎1例

A Case of Immune-Related Aseptic Meningitis during Atezolizumab plus Bevacizumab for Hepatocellular Carcinoma.

作者信息

Kawanaka Hiroki, Tajiri Kazuto, Muraishi Nozomu, Murayama Aiko, Nukui Takamasa, Yasuda Ichiro

机构信息

Third Department of Internal Medicine, University of Toyama, Toyama, Japan.

Department of Neurology, University of Toyama, Toyama, Japan.

出版信息

Case Rep Gastroenterol. 2024 Jan 4;18(1):8-13. doi: 10.1159/000535476. eCollection 2024 Jan-Dec.

DOI:10.1159/000535476
PMID:38188593
原文链接:https://pmc.ncbi.nlm.nih.gov/articles/PMC10766420/
Abstract

INTRODUCTION

Immune checkpoint inhibitors are sometimes associated with immune-related adverse events during or after treatment. Among these, aseptic meningitis is a rare and serious complication. We report the first case of atezolizumab-induced aseptic meningitis, which occurred during treatment for advanced hepatocellular carcinoma (HCC).

CASE PRESENTATION

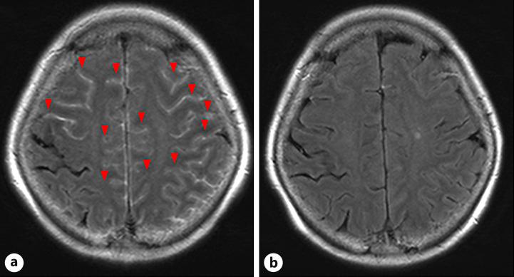
A 74-year-old woman diagnosed with advanced HCC and treated with first-line atezolizumab plus bevacizumab developed anorexia, fatigue, and fever, after three treatment cycles. Cerebrospinal fluid examination showed slightly increased cell count and protein level but no infection or malignancy. Contrast enhancement along the cerebral sulcus was evident in contrast-enhanced magnetic resonance imaging, and the patient was diagnosed with aseptic meningitis associated with atezolizumab. Steroid therapy soon improved her clinical symptoms, and the contrast enhancement along the cerebral sulcus disappeared.

CONCLUSION

Clinicians should monitor to avoid serious immune-related adverse events, such as aseptic meningitis, in patients during treatment of HCC with immune checkpoint inhibitors and make the diagnosis as soon as possible.

摘要

引言

免疫检查点抑制剂在治疗期间或治疗后有时会与免疫相关不良事件相关联。其中,无菌性脑膜炎是一种罕见且严重的并发症。我们报告了首例阿替利珠单抗诱导的无菌性脑膜炎病例,该病例发生在晚期肝细胞癌(HCC)治疗期间。

病例介绍

一名74岁女性被诊断为晚期HCC并接受一线阿替利珠单抗联合贝伐单抗治疗,在三个治疗周期后出现厌食、疲劳和发热。脑脊液检查显示细胞计数和蛋白水平略有升高,但未发现感染或恶性肿瘤。对比增强磁共振成像显示脑沟有明显的对比增强,患者被诊断为与阿替利珠单抗相关的无菌性脑膜炎。类固醇治疗很快改善了她的临床症状,脑沟的对比增强消失。

结论

临床医生在使用免疫检查点抑制剂治疗HCC患者时应进行监测,以避免发生严重的免疫相关不良事件,如无菌性脑膜炎,并应尽快做出诊断。

https://cdn.ncbi.nlm.nih.gov/pmc/blobs/ec52/10766420/e2e1e5ac7c50/crg-2024-0018-0001-535476_F03.jpg
https://cdn.ncbi.nlm.nih.gov/pmc/blobs/ec52/10766420/01eadb45aee7/crg-2024-0018-0001-535476_F01.jpg
https://cdn.ncbi.nlm.nih.gov/pmc/blobs/ec52/10766420/14c20918b749/crg-2024-0018-0001-535476_F02.jpg
https://cdn.ncbi.nlm.nih.gov/pmc/blobs/ec52/10766420/e2e1e5ac7c50/crg-2024-0018-0001-535476_F03.jpg
https://cdn.ncbi.nlm.nih.gov/pmc/blobs/ec52/10766420/01eadb45aee7/crg-2024-0018-0001-535476_F01.jpg
https://cdn.ncbi.nlm.nih.gov/pmc/blobs/ec52/10766420/14c20918b749/crg-2024-0018-0001-535476_F02.jpg
https://cdn.ncbi.nlm.nih.gov/pmc/blobs/ec52/10766420/e2e1e5ac7c50/crg-2024-0018-0001-535476_F03.jpg

相似文献

1
A Case of Immune-Related Aseptic Meningitis during Atezolizumab plus Bevacizumab for Hepatocellular Carcinoma.阿替利珠单抗联合贝伐单抗治疗肝细胞癌期间发生免疫相关性无菌性脑膜炎1例
Case Rep Gastroenterol. 2024 Jan 4;18(1):8-13. doi: 10.1159/000535476. eCollection 2024 Jan-Dec.
2
Atezolizumab-Induced Aseptic Meningitis in Patients with NSCLC.阿替利珠单抗诱导的非小细胞肺癌患者无菌性脑膜炎
JTO Clin Res Rep. 2020 Feb 13;1(1):100012. doi: 10.1016/j.jtocrr.2020.100012. eCollection 2020 Mar.
3
Immune-related aseptic meningitis diagnosed by Cube FLAIR on enhanced magnetic resonance imaging for a lung cancer patient administered atezolizumab: A case report.通过增强磁共振成像的Cube FLAIR序列诊断的免疫相关性无菌性脑膜炎,病例报告:一名接受阿替利珠单抗治疗的肺癌患者
Respirol Case Rep. 2023 Jan 2;11(2):e01076. doi: 10.1002/rcr2.1076. eCollection 2023 Feb.
4
Atezolizumab-induced Encephalitis in a Patient with Hepatocellular Carcinoma: A Case Report and Literature Review.阿替利珠单抗致肝癌患者脑炎:病例报告及文献复习。
Intern Med. 2022 Sep 1;61(17):2619-2623. doi: 10.2169/internalmedicine.8919-21. Epub 2022 Feb 19.
5
Three cases of immune-related hypopituitarism after atezolizumab-bevacizumab treatment for hepatocellular carcinoma.三例肝癌患者在接受阿替利珠单抗联合贝伐珠单抗治疗后出现免疫相关性垂体功能减退症。
Clin J Gastroenterol. 2023 Jun;16(3):422-431. doi: 10.1007/s12328-023-01775-0. Epub 2023 Feb 23.
6
Atezolizumab and bevacizumab-induced encephalitis in advanced hepatocellular carcinoma: Case report and literature review.阿替利珠单抗和贝伐珠单抗治疗晚期肝细胞癌致脑炎:病例报告及文献复习。
Medicine (Baltimore). 2021 Jun 18;100(24):e26377. doi: 10.1097/MD.0000000000026377.
7
A Successful Case of Hepatocellular Carcinoma Treated with Atezolizumab Plus Bevacizumab with Multisystem Immune-related Adverse Events.阿替利珠单抗联合贝伐珠单抗治疗伴多系统免疫相关不良事件的肝细胞癌 1 例成功治疗报告。
Intern Med. 2022 Dec 1;61(23):3497-3502. doi: 10.2169/internalmedicine.9393-22. Epub 2022 Apr 30.
8
Liver abscess in advanced hepatocellular carcinoma after atezolizumab plus bevacizumab treatment: A case report.贝伐珠单抗联合阿替利珠单抗治疗后晚期肝细胞癌并发肝脓肿:病例报告。
Medicine (Baltimore). 2022 Sep 2;101(35):e30486. doi: 10.1097/MD.0000000000030486.
9
Association Between Immune-Related Adverse Events and Survival in Patients with Hepatocellular Carcinoma Treated With Atezolizumab Plus Bevacizumab.阿特珠单抗联合贝伐珠单抗治疗肝细胞癌患者的免疫相关不良反应与生存的关系。
Oncologist. 2023 Jul 5;28(7):e526-e533. doi: 10.1093/oncolo/oyad090.
10
A case of immune checkpoint inhibitor-associated hemophagocytosis after initiation of atezolizumab plus bevacizumab therapy for advanced hepatocellular carcinoma.免疫检查点抑制剂相关噬血细胞综合征 1 例:阿替利珠单抗联合贝伐珠单抗治疗晚期肝细胞癌。
Clin J Gastroenterol. 2024 Dec;17(6):1075-1079. doi: 10.1007/s12328-024-02040-8. Epub 2024 Oct 3.

本文引用的文献

1
Atezolizumab-induced encephalitis with subdural hemorrhage and subarachnoid hemorrhage in a patient with hepatocellular carcinoma.阿替利珠单抗治疗肝细胞癌相关脑炎伴硬脑膜下血肿和蛛网膜下腔出血
J Formos Med Assoc. 2023 Nov;122(11):1208-1212. doi: 10.1016/j.jfma.2023.07.019. Epub 2023 Aug 9.
2
Pathogenesis and Current Treatment Strategies of Hepatocellular Carcinoma.肝细胞癌的发病机制与当前治疗策略
Biomedicines. 2022 Dec 9;10(12):3202. doi: 10.3390/biomedicines10123202.
3
Immune-related aseptic meningitis and strategies to manage immune checkpoint inhibitor therapy: a systematic review.
免疫相关性无菌性脑膜炎与免疫检查点抑制剂治疗管理策略:系统评价。
J Neurooncol. 2022 May;157(3):533-550. doi: 10.1007/s11060-022-03997-7. Epub 2022 Apr 13.
4
Atezolizumab-Induced Aseptic Meningitis in Patients with NSCLC.阿替利珠单抗诱导的非小细胞肺癌患者无菌性脑膜炎
JTO Clin Res Rep. 2020 Feb 13;1(1):100012. doi: 10.1016/j.jtocrr.2020.100012. eCollection 2020 Mar.
5
Management of Hepatocellular Carcinoma in Japan: JSH Consensus Statements and Recommendations 2021 Update.日本肝细胞癌的管理:2021年更新版日本肝脏学会共识声明与建议
Liver Cancer. 2021 Jun;10(3):181-223. doi: 10.1159/000514174. Epub 2021 May 19.
6
Drug-induced meningitis: A review of the literature and comparison with an historical cohort of viral meningitis cases.药物相关性脑膜炎:文献回顾与病毒性脑膜炎病例历史队列的比较。
Therapie. 2020 Nov-Dec;75(6):605-615. doi: 10.1016/j.therap.2020.03.001. Epub 2020 Apr 5.
7
Atezolizumab plus Bevacizumab in Unresectable Hepatocellular Carcinoma.阿替利珠单抗联合贝伐珠单抗治疗不可切除肝细胞癌。
N Engl J Med. 2020 May 14;382(20):1894-1905. doi: 10.1056/NEJMoa1915745.
8
Early-onset meningitis associated with atezolizumab treatment for non-small cell lung cancer: case report and literature review.早期发病的脑膜炎与非小细胞肺癌的阿替利珠单抗治疗相关:病例报告及文献复习。
Invest New Drugs. 2020 Dec;38(6):1901-1905. doi: 10.1007/s10637-020-00947-w. Epub 2020 May 12.
9
A case report of clonal EBV-like memory CD4 T cell activation in fatal checkpoint inhibitor-induced encephalitis.致命性免疫检查点抑制剂诱导性脑炎中克隆性 EBV 样记忆 CD4 T 细胞激活的病例报告。
Nat Med. 2019 Aug;25(8):1243-1250. doi: 10.1038/s41591-019-0523-2. Epub 2019 Jul 22.
10
Evaluation of Readministration of Immune Checkpoint Inhibitors After Immune-Related Adverse Events in Patients With Cancer.癌症患者发生免疫相关不良事件后免疫检查点抑制剂再给药的评估。
JAMA Oncol. 2019 Sep 1;5(9):1310-1317. doi: 10.1001/jamaoncol.2019.1022.