Suppr超能文献

血管炎-脂膜炎酷似未愈合的糖尿病足溃疡。

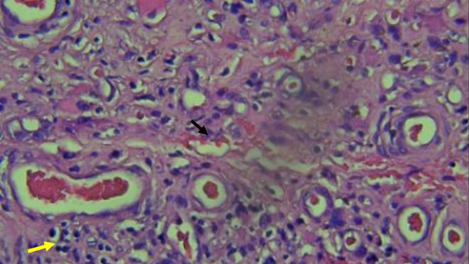
Vasculitis-panniculitis mimicking unresolved diabetic foot ulcer.

作者信息

Soemitha Debby Christiana, Mulya Deshinta Putri, Sinorita Hemi

机构信息

Department of Internal Medicine, Faculty of Medicine, Universitas Gadjah Mada, Yogyakarta, Indonesia.

Division of Allergy and Immunology, Department of Internal Medicine, Faculty of Medicine, Universitas Gadjah Mada, Yogyakarta, Indonesia.

出版信息

Endocrinol Diabetes Metab Case Rep. 2024 Jan 8;2024(1). doi: 10.1530/EDM-22-0397. Print 2024 Jan 1.

Abstract

SUMMARY

Diabetes foot ulcer (DFU) is a common long-term complication of diabetes. Intractable chronic wounds to standard care of diabetic foot raise the question of whether other factors intervene in disease development. We report a case of a 54-year-old male patient who came to Sardjito General Hospital with leg pain and previous history of multiple debridement and amputation for DFU referred from a remote hospital yet no improvement was evident in the surrounding lesion following treatment. Consequently, a histopathological examination was carried out proving the presence of other aetiologic factors, vasculitis and panniculitis existing in the lesion. In this case, we report a rare type of causative factor of foot ulcers among diabetic patients. Vasculitis suspected for polyarteritis nodosa accompanied by panniculitis is considered in this patient. The treatment of choice is corticosteroids or immunosuppressants based on the clinical condition, contrary to usual wound care in DFU. Based on the evidence, clinicians need to consider other causes than only macrovascular complications in a diabetic patient with DFU that is intractable to standard wound care. In this patient, vasculitis may be considered in forming diabetic foot ulcers alongside macrovascular complications.

LEARNING POINTS

A thorough examination is essential to rule out other processes in intractable DFU patients. Prompt management based on proper diagnosis is crucial to prevent peripheral arterial disease complications. Vasculitis and macrovascular complication are inseparable processes forming DFU in this patient.

摘要

摘要

糖尿病足溃疡(DFU)是糖尿病常见的长期并发症。糖尿病足对标准治疗产生的顽固性慢性伤口引发了是否有其他因素干预疾病发展的问题。我们报告一例54岁男性患者,他因腿痛来到萨迪托综合医院,有糖尿病足多次清创和截肢病史,由一家偏远医院转诊而来,但治疗后周围病变未见明显改善。因此,进行了组织病理学检查,证实病变中存在其他病因,即血管炎和脂膜炎。在本病例中,我们报告了糖尿病患者足部溃疡一种罕见的致病因素。该患者考虑为疑似结节性多动脉炎伴脂膜炎的血管炎。与糖尿病足溃疡的常规伤口护理相反,根据临床情况,治疗选择是使用皮质类固醇或免疫抑制剂。基于这些证据,对于标准伤口护理难以治疗的糖尿病足溃疡患者,临床医生需要考虑除大血管并发症之外的其他病因。在该患者中,血管炎可能与大血管并发症一起被认为是形成糖尿病足溃疡的原因。

学习要点

对于难治性糖尿病足溃疡患者,全面检查对于排除其他病症至关重要。基于正确诊断的及时处理对于预防外周动脉疾病并发症至关重要。血管炎和大血管并发症是该患者形成糖尿病足溃疡不可分割的过程。

https://cdn.ncbi.nlm.nih.gov/pmc/blobs/9391/10831527/c78c0d7f6fc6/EDM22-0397fig1.jpg

文献AI研究员

20分钟写一篇综述,助力文献阅读效率提升50倍。

立即体验

用中文搜PubMed

大模型驱动的PubMed中文搜索引擎

马上搜索

文档翻译

学术文献翻译模型,支持多种主流文档格式。

立即体验