Laboratory of Molecular Endocrinology, National Cancer Centre Singapore, Singapore 168583, Singapore.
Division of Surgery and Surgical Oncology, National Cancer Centre Singapore, Singapore 168583, Singapore.
Int J Mol Sci. 2023 Dec 19;25(1):17. doi: 10.3390/ijms25010017.
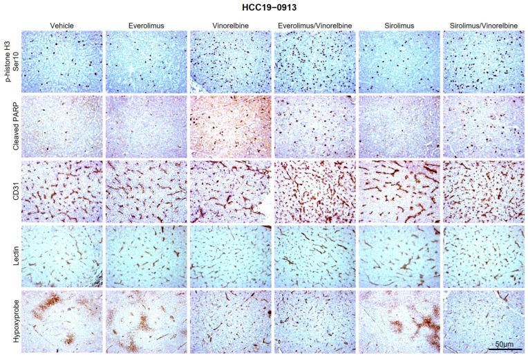
Hepatocellular carcinoma (HCC) is a challenging cancer to treat, as traditional chemotherapies have shown limited effectiveness. The mammalian target of rapamycin/sirolimus (mTOR) and microtubules are prominent druggable targets for HCC. In this study, we demonstrated that co-targeting mTOR using mTOR inhibitors (everolimus and sirolimus) along with the microtubule inhibitor vinorelbine yielded results superior to those of the monotherapies in HCC PDX models. Our research showed that the vinorelbine arrests cells at the mitotic phase, induces apoptosis, and normalizes tumor blood vessels but upregulates survivin and activates the mTOR/p70S6K/4EBP1 pathway. The addition of the everolimus significantly improved the tumor response to the vinorelbine, leading to improved overall survival (OS) in most tested orthotopic HCC PDX models. The mechanistic investigation revealed that this marked antitumor effect was accompanied by the downregulations of mTOR targets (p-p70S6K, p-4EBP1, and p-S6K); several key cell-cycle regulators; and the antiapoptotic protein survivin. These effects did not compromise the normalization of the blood vessels observed in response to the vinorelbine in the vinorelbine-sensitive PDX models or to the everolimus in the everolimus-sensitive PDX models. The combination of the everolimus and vinorelbine (everolimus/vinorelbine) also promoted apoptosis with minimal toxicity. Given the cost-effectiveness and established effectiveness of everolimus, and especially sirolimus, this strategy warrants further investigation in early-phase clinical trials.
肝细胞癌(HCC)是一种治疗极具挑战性的癌症,因为传统的化疗显示出有限的疗效。哺乳动物雷帕霉素靶蛋白(mTOR)和微管是 HCC 的突出的可靶向药物靶点。在这项研究中,我们证明了使用 mTOR 抑制剂(依维莫司和西罗莫司)与微管抑制剂长春瑞滨联合靶向 mTOR 可在 HCC PDX 模型中产生优于单药治疗的效果。我们的研究表明,长春瑞滨使细胞在有丝分裂期停滞,诱导细胞凋亡,并使肿瘤血管正常化,但上调 survivin 并激活 mTOR/p70S6K/4EBP1 通路。依维莫司的加入显著改善了肿瘤对长春瑞滨的反应,导致大多数测试的原位 HCC PDX 模型的总生存期(OS)得到改善。机制研究表明,这种显著的抗肿瘤作用伴随着 mTOR 靶标(p-p70S6K、p-4EBP1 和 p-S6K)、几个关键细胞周期调节剂和抗凋亡蛋白 survivin 的下调。这些作用不会影响长春瑞滨在长春瑞滨敏感 PDX 模型中或依维莫司在依维莫司敏感 PDX 模型中观察到的血管正常化。依维莫司和长春瑞滨(依维莫司/长春瑞滨)的联合也促进了凋亡,而毒性最小。鉴于依维莫司的成本效益和已确立的疗效,尤其是西罗莫司,这种策略值得在早期临床试验中进一步研究。