Suppr超能文献

肝细胞癌经动脉化疗栓塞作为肝移植桥接治疗的结果

Results of transarterial chemoembolization of hepatocellular carcinoma as a bridging therapy to liver transplantation.

作者信息

Jotz Raquel de Freitas, Horbe Alex Finger, Coral Gabriela Perdomo, Fontana Priscila Cavedon, de Morais Beatriz Garcia, de Mattos Angelo Alves

机构信息

Universidade Federal de Ciências da Saúde de Porto Alegre (UFCSPA), Porto Alegre, RS, Brazil.

Irmandade Santa Casa de Misericórdia de Porto Alegre (ISCMPA), Porto Alegre, RS, Brazil.

出版信息

Radiol Bras. 2023 Sep-Oct;56(5):235-241. doi: 10.1590/0100-3984.2023.0040.

Abstract

OBJECTIVE

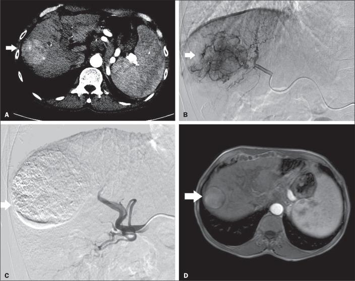
To evaluate the degree of tumor necrosis after transarterial chemoembolization (TACE), used as a bridging therapy in patients awaiting liver transplantation, and its effect on survival.

MATERIALS AND METHODS

This was a retrospective cohort study involving 118 patients submitted to TACE prior to liver transplantation, after which the degree of tumor necrosis in the explant and post-transplant survival were evaluated.

RESULTS

Total necrosis of the neoplastic nodule in the explant was observed in 76 patients (64.4%). Of the patients with total necrosis in the explanted liver, 77.8% had presented a complete response on imaging examinations. Drug-eluting bead TACE (DEB-TACE), despite showing a lower rate of complications than conventional TACE, provided a lower degree of total necrosis, although there was no statistical difference between the two. By the end of the study period, 26 of the patients had died. Survival was longer among the patients with total necrosis than among those with partial or no necrosis (HR = 2.24 [95% CI: 0.91-5.53]; = 0.078).

CONCLUSION

In patients undergoing TACE as a bridging therapy, total tumor necrosis appears to be associated with improved patient survival.

摘要

目的

评估经动脉化疗栓塞术(TACE)作为等待肝移植患者的桥接治疗后肿瘤坏死程度及其对生存的影响。

材料与方法

这是一项回顾性队列研究,纳入118例肝移植前接受TACE治疗的患者,评估移植肝肿瘤坏死程度及移植后生存率。

结果

76例(64.4%)患者移植肝肿瘤结节完全坏死。移植肝完全坏死的患者中,77.8%在影像学检查中显示完全缓解。载药微球TACE(DEB-TACE)尽管并发症发生率低于传统TACE,但完全坏死程度较低,尽管两者之间无统计学差异。研究结束时,26例患者死亡。完全坏死患者的生存期长于部分坏死或无坏死患者(HR = 2.24 [95% CI:0.91 - 5.53];P = 0.078)。

结论

在接受TACE作为桥接治疗的患者中,肿瘤完全坏死似乎与患者生存率提高相关。

https://cdn.ncbi.nlm.nih.gov/pmc/blobs/3996/10775808/7febb5022c9c/rb-56-05-0235-g01.jpg

文献AI研究员

20分钟写一篇综述,助力文献阅读效率提升50倍。

立即体验

用中文搜PubMed

大模型驱动的PubMed中文搜索引擎

马上搜索

文档翻译

学术文献翻译模型,支持多种主流文档格式。

立即体验