Suppr超能文献

1 例伴有明显核仁的脾 B 细胞淋巴瘤/白血病患者伊布替尼的有效治疗及可疑不良反应:首例报告。

An effective treatment and suspicious adverse reaction to Ibrutinib in a patient diagnosed with splenic B-cell lymphoma/leukaemia with prominent nucleoli: A first case report.

机构信息

Department of Hematology, Affiliated Haikou Hospital of Xiangya Medical College, Central South University, Haikou, China.

Department of Pharmacy, Affiliated Haikou Hospital of Xiangya Medical College, Central South University, Haikou, China.

出版信息

Medicine (Baltimore). 2023 Dec 29;102(52):e36022. doi: 10.1097/MD.0000000000036022.

Abstract

RATIONALE

Splenic B-cell lymphoma/leukemia with prominent nucleoli (SBLPN) is a new classification, which is so rare that it lacks clinical data.

PATIENT CONCERNS

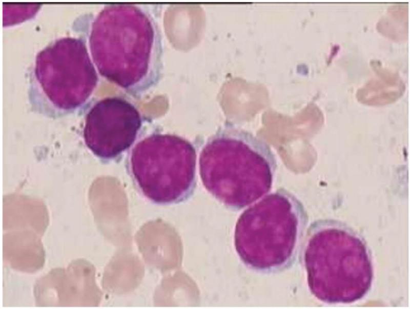
An increased proportion of prolymphocytes (84%) in the bone marrow smear. Whole exon sequence analysis revealed a TP53 mutation.

DIAGNOSES

Combining the clinical features with laboratory test results led to a diagnosis of SBLPN which was made according to the 5th edition of the WHO classification of hematolymphoid tumors, although the patient was diagnosed with B-PLL when guided by the 4th edition of the WHO classification.

INTERVENTIONS

The use of Ibrutinib as an effective treatment.

OUTCOMES

The patient was in complete remission after 5 months of Ibrutinib and then died of sudden aortic dissection.

LESSONS

Ibrutinib was an effective regimen for SBLPN. Aortic dissection might be considered as a suspicious adverse reaction to Ibrutinib.

摘要

背景

伴有明显核仁的脾 B 细胞淋巴瘤/白血病(SBLPN)是一种新的分类,非常罕见,缺乏临床数据。

患者关注

骨髓涂片中原淋细胞比例增高(84%)。全外显子序列分析显示 TP53 突变。

诊断

根据 5 版世界卫生组织(WHO)血液淋巴肿瘤分类标准,结合临床特征和实验室检查结果,诊断为 SBLPN,尽管根据 4 版 WHO 分类,该患者被诊断为 B-PLL。

干预措施

伊布替尼的应用是一种有效的治疗方法。

结果

患者在使用伊布替尼 5 个月后完全缓解,随后死于主动脉夹层。

经验教训

伊布替尼是治疗 SBLPN 的有效方案。主动脉夹层可能被认为是伊布替尼的可疑不良反应。

https://cdn.ncbi.nlm.nih.gov/pmc/blobs/ecad/10754594/ce9f38160b00/medi-102-e36022-g001.jpg

文献AI研究员

20分钟写一篇综述,助力文献阅读效率提升50倍。

立即体验

用中文搜PubMed

大模型驱动的PubMed中文搜索引擎

马上搜索

文档翻译

学术文献翻译模型,支持多种主流文档格式。

立即体验