Suppr超能文献

经皮直接穿刺用胶水栓塞假性动脉瘤:54例患者的多中心经验

Pseudoaneurysms embolization with glue via percutaneous direct puncture: a multicenter experience on 54 patients.

作者信息

Giurazza Francesco, Ierardi Annamaria, Marra Paolo, Lucatelli Pierleone, Corvino Fabio, Pane Francesco, Sironi Sandro, Carrafiello Gianpaolo, Loffroy Romaric, Niola Raffaella

机构信息

Vascular and Interventional Radiology Department, Cardarelli Hospital, Via A. Cardarelli 9, Naples, 80131, Italy.

Radiology Department, Fondazione IRCCS Cà Granda, Ospedale Maggiore Policlinico, Via F. Sforza 35, Milan, 20122, Italy.

出版信息

CVIR Endovasc. 2024 Jan 15;7(1):11. doi: 10.1186/s42155-024-00426-w.

Abstract

BACKGROUND

This retrospective multicentric study aims to report on technical safety and effectiveness of pseudoaneurysms embolization with glue (N-butyl cyanoacrylate) adopting a percutaneous direct puncture approach.

RESULTS

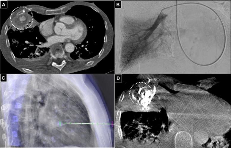
Fifty-four patients data were collected from five centers. All patients at the time of treatment presented with unruptured PAs and were hemodynamically stable. True aneurysms and lesions treated with embolics other than glue were excluded. Pseudoaneurysms diagnosis was based on CT and anamnestic data; initial investigation with digital-subtracted arteriography was acquired in all cases; then, percutaneous embolizations were performed in the angio-suite (ultrasound, fluoroscopy, ConeBeam CT guidance) or in CT. Technical success was considered as complete pseudoaneurysm embolization at final imaging with sole percutaneous strategy, without need for additional endovascular embolization. Clinical success was intended as pseudoaneurysm resolution within one week follow-up with stabilization or restored clinical conditions. Pseudoaneurysms origins were traumatic (57.4%), inflammatory (24.1%) or spontaneous (18.5%); 39 patients (72.2%) were symptomatic, presenting with pain and/or pulsatile mass. Mean lesions diameter was 19.3 mm (range: 7-30); pseudoaneurysms were located in abdomen (48.1%), limbs (42.6%) and thorax (9.3%). Coagulation function was impaired in 16.6% and 48.1% was under antiplatelets/anticoagulation therapy. In 16.6% the percutaneous approach followed previous treatments failure. The image-guidance modality for percutaneous puncture was most often ultrasound combined with fluoroscopy (38%). Clinical success was obtained in all patients while technical success occurred in 94.4% because 3 patients required an additional endovascular embolization. Complications were registered in 14.8%, all of low grade without clinical sequelae neither prolonged recovery (7 non target embolizations, 1 post-embolization syndrome).

CONCLUSIONS

In this study, pseudoaneurysms embolization with glue via percutaneous direct puncture was safe and effective with a low rate of minor complications.

摘要

背景

这项回顾性多中心研究旨在报告采用经皮直接穿刺方法用胶水(N-丁基氰基丙烯酸酯)栓塞假性动脉瘤的技术安全性和有效性。

结果

从五个中心收集了54例患者的数据。所有患者在治疗时均表现为未破裂的假性动脉瘤,血流动力学稳定。排除真性动脉瘤和用胶水以外的栓塞剂治疗的病变。假性动脉瘤的诊断基于CT和既往病史数据;所有病例均进行了数字减影血管造影的初步检查;然后,在血管造影套件(超声、荧光透视、锥形束CT引导)或CT中进行经皮栓塞。技术成功定义为在最终成像时仅通过经皮策略完全栓塞假性动脉瘤,无需额外的血管内栓塞。临床成功定义为在一周随访内假性动脉瘤消退,临床状况稳定或恢复。假性动脉瘤的起源为创伤性(57.4%)、炎症性(24.1%)或自发性(18.5%);39例患者(72.2%)有症状,表现为疼痛和/或搏动性肿块。病变平均直径为19.3毫米(范围:7-30);假性动脉瘤位于腹部(48.1%)、四肢(42.6%)和胸部(9.3%)。16.6%的患者凝血功能受损,48.1%的患者接受抗血小板/抗凝治疗。16.6%的患者经皮方法是在先前治疗失败后采用。经皮穿刺的图像引导方式最常为超声联合荧光透视(38%)。所有患者均获得临床成功,94.4%的患者获得技术成功,因为3例患者需要额外的血管内栓塞。并发症发生率为14.8%,均为低级别,无临床后遗症,恢复也未延长(7例非靶栓塞,1例栓塞后综合征)。

结论

在本研究中,经皮直接穿刺用胶水栓塞假性动脉瘤安全有效,轻微并发症发生率低。

https://cdn.ncbi.nlm.nih.gov/pmc/blobs/9c91/10788324/6bd415333cf7/42155_2024_426_Fig1_HTML.jpg

文献AI研究员

20分钟写一篇综述,助力文献阅读效率提升50倍。

立即体验

用中文搜PubMed

大模型驱动的PubMed中文搜索引擎

马上搜索

文档翻译

学术文献翻译模型,支持多种主流文档格式。

立即体验