Suppr超能文献

结核性脑膜炎后发生的小儿急性脑积水:一项病例报告研究

Pediatric acute hydrocephalus developing after tubercular meningitis: a case report study.

作者信息

Kachuei Maryam, Zare Ramin, Sadr Zahra, Eghdami Shayan

机构信息

Firoozabadi Clinical Research Development Unit (FACRDU).

Cellular and Molecular Research Center, Iran University of Medical Sciences (IUMS), Tehran, Iran.

出版信息

Ann Med Surg (Lond). 2023 Nov 27;86(1):594-597. doi: 10.1097/MS9.0000000000001551. eCollection 2024 Jan.

Abstract

BACKGROUND

Tuberculosis ranks second as the most common cause of death among infectious diseases, preceded only by COVID-19, which can involve multiple organs. Tuberculous meningitis (TBM) is known to have serious and atypical complications affecting the central nervous system, especially in more vulnerable populations such as children and adolescents.

CASE PRESENTATION

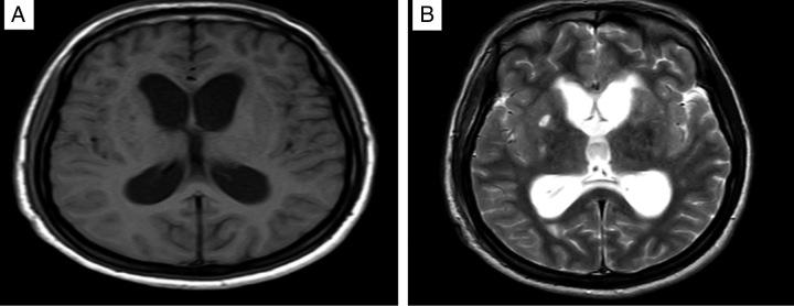
The 15-year-old female patient was admitted to the hospital with altered mental status after complaining of nausea, weakness, and cough for 3 weeks. A chest computed tomography (CT) scan showed cavitary lesions, a lumbar puncture sample had a glucose level of 15 mg/dl, and the brain CT scan revealed acute hydrocephalus. While the patient was treated with anti-tubercular medications, an external ventricular drain was placed and the patient was monitored.

CONCLUSION

This report presents acute hydrocephalus as a rare and atypical consequence of disseminated tubercular infection resulting in meningitis.

摘要

背景

结核病是仅次于新型冠状病毒肺炎(COVID-19)的第二大常见传染病死因,COVID-19可累及多个器官。已知结核性脑膜炎(TBM)会引发影响中枢神经系统的严重且非典型并发症,在儿童和青少年等更脆弱人群中尤为如此。

病例报告

一名15岁女性患者在诉说恶心、乏力和咳嗽3周后因精神状态改变入院。胸部计算机断层扫描(CT)显示有空洞性病变,腰椎穿刺样本葡萄糖水平为15毫克/分升,脑部CT扫描显示有急性脑积水。在患者接受抗结核药物治疗时,放置了外部脑室引流管并对患者进行监测。

结论

本报告提出急性脑积水是播散性结核感染导致脑膜炎的一种罕见且非典型后果。

https://cdn.ncbi.nlm.nih.gov/pmc/blobs/e378/10783362/c58c5c4bbd5b/ms9-86-594-g001.jpg

文献AI研究员

20分钟写一篇综述,助力文献阅读效率提升50倍。

立即体验

用中文搜PubMed

大模型驱动的PubMed中文搜索引擎

马上搜索

文档翻译

学术文献翻译模型,支持多种主流文档格式。

立即体验