• 文献检索
  • 文档翻译
  • 深度研究
  • 学术资讯
  • Suppr Zotero 插件Zotero 插件
  • 邀请有礼
  • 套餐&价格
  • 历史记录
应用&插件
Suppr Zotero 插件Zotero 插件浏览器插件Mac 客户端Windows 客户端微信小程序
定价
高级版会员购买积分包购买API积分包
服务
文献检索文档翻译深度研究API 文档MCP 服务
关于我们
关于 Suppr公司介绍联系我们用户协议隐私条款
关注我们

Suppr 超能文献

核心技术专利:CN118964589B侵权必究
粤ICP备2023148730 号-1Suppr @ 2026

文献检索

告别复杂PubMed语法,用中文像聊天一样搜索,搜遍4000万医学文献。AI智能推荐,让科研检索更轻松。

立即免费搜索

文件翻译

保留排版,准确专业,支持PDF/Word/PPT等文件格式,支持 12+语言互译。

免费翻译文档

深度研究

AI帮你快速写综述,25分钟生成高质量综述,智能提取关键信息,辅助科研写作。

立即免费体验

气管内滴注硫化钼纳米颗粒和微米颗粒后大鼠软组织和血液中钼的分布

Distribution of molybdenum in soft tissues and blood of rats after intratracheal instillation of molybdenum(IV) sulfide nano- and microparticles.

作者信息

Kuraś Renata, Stępnik Maciej, Grobelny Jarosław, Tomaszewska Emilia, Stanisławska Magdalena, Domeradzka-Gajda Katarzyna, Wąsowicz Wojciech, Janasik Beata

机构信息

Central Laboratory, Nofer Institute of Occupational Medicine, 8 Teresy St., 91-348 Łódź, Poland.

QSAR LAB Ltd, 3 Lipy St., 80-172 Gdańsk, Poland.

出版信息

Toxicol Res. 2023 Nov 14;40(1):163-177. doi: 10.1007/s43188-023-00213-0. eCollection 2024 Jan.

DOI:10.1007/s43188-023-00213-0
PMID:38223673
原文链接:https://pmc.ncbi.nlm.nih.gov/articles/PMC10786813/
Abstract

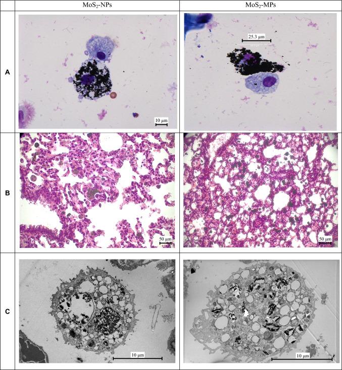
There is still little literature data on the toxicity and safety of the commonly used molybdenum (Mo) disulfide which is present in the working as well as living environments. Thus, an experiment was carried out involving rats, with single and repeated intratracheal exposure (in the latter case, 7 administrations at 2-week intervals with the analysis performed after 90 days) to lower (1.5 mg Mo kg b.w.) and higher (5 mg Mo kg b.w.) doses of molybdenum(IV) sulfide nanoparticles (MoS-NPs) and microparticles (MoS-MPs). The analysis of Mo concentrations in the tail and heart blood as well as in soft tissues (lung, liver, spleen, brain), after mineralization and bioimaging, was meant to facilitate an assessment of its accumulation and potential effects on the body following short- and long-term exposure. The multi-compartment model with an exponential curve of Mo concentration over time with different half-lives for the distribution and elimination phases of MoS-MPs and MoS-NPs was observed. After 24 h of exposure, a slight increase in Mo concentration in blood was observed. Next, Mo concentration indicated a decrease in blood concentration from 24 h to day 14 (the Mo concentration before the second administration), below the pre-exposure concentration. The next phase was linear, less abrupt and practically flat, but with an increasing trend towards the end of the experiment. Significantly higher Mo concentrations in MoS-NPs and MoS-MPs was found in the lungs of repeatedly exposed rats compared to those exposed to a single dose. The analysis of Mo content in the liver and the spleen tissue showed a slightly higher concentration for MoS-NPs compared to MoS-MPs. The results for the brain were below the calculated detection limit. Results were consistent with results obtained by bioimaging technique.

摘要

关于工作和生活环境中常见的二硫化钼(Mo)的毒性和安全性,目前的文献数据仍然很少。因此,进行了一项涉及大鼠的实验,对其进行单次和重复气管内暴露(在后一种情况下,每隔2周给药7次,90天后进行分析),分别给予较低剂量(1.5毫克钼/千克体重)和较高剂量(5毫克钼/千克体重)的硫化钼纳米颗粒(MoS-NPs)和微粒(MoS-MPs)。在矿化和生物成像后,对尾巴、心脏血液以及软组织(肺、肝、脾、脑)中的钼浓度进行分析,旨在评估短期和长期暴露后钼在体内的积累情况及其对身体的潜在影响。观察到了一个多室模型,其中钼浓度随时间呈指数曲线变化,MoS-MPs和MoS-NPs在分布和消除阶段具有不同的半衰期。暴露24小时后,血液中的钼浓度略有增加。接下来,钼浓度显示从24小时到第14天(第二次给药前的钼浓度)血液浓度下降,低于暴露前的浓度。下一阶段呈线性,变化较平缓且基本平稳,但在实验结束时呈上升趋势。与单次暴露的大鼠相比,重复暴露的大鼠肺部中MoS-NPs和MoS-MPs中的钼浓度显著更高。肝脏和脾脏组织中钼含量的分析表明,MoS-NPs中的钼浓度略高于MoS-MPs。大脑的结果低于计算出的检测限。结果与通过生物成像技术获得的结果一致。

https://cdn.ncbi.nlm.nih.gov/pmc/blobs/b38d/10786813/85423875dfbe/43188_2023_213_Fig9_HTML.jpg
https://cdn.ncbi.nlm.nih.gov/pmc/blobs/b38d/10786813/e688b547cf5a/43188_2023_213_Fig1_HTML.jpg
https://cdn.ncbi.nlm.nih.gov/pmc/blobs/b38d/10786813/dfadf32fcf05/43188_2023_213_Fig2_HTML.jpg
https://cdn.ncbi.nlm.nih.gov/pmc/blobs/b38d/10786813/46f1f708fb51/43188_2023_213_Fig3_HTML.jpg
https://cdn.ncbi.nlm.nih.gov/pmc/blobs/b38d/10786813/edb1cd3225f8/43188_2023_213_Fig4_HTML.jpg
https://cdn.ncbi.nlm.nih.gov/pmc/blobs/b38d/10786813/6a938a49b820/43188_2023_213_Fig5_HTML.jpg
https://cdn.ncbi.nlm.nih.gov/pmc/blobs/b38d/10786813/712faed585fa/43188_2023_213_Fig6_HTML.jpg
https://cdn.ncbi.nlm.nih.gov/pmc/blobs/b38d/10786813/46c271e7cffd/43188_2023_213_Fig7_HTML.jpg
https://cdn.ncbi.nlm.nih.gov/pmc/blobs/b38d/10786813/a4b505066607/43188_2023_213_Fig8_HTML.jpg
https://cdn.ncbi.nlm.nih.gov/pmc/blobs/b38d/10786813/85423875dfbe/43188_2023_213_Fig9_HTML.jpg
https://cdn.ncbi.nlm.nih.gov/pmc/blobs/b38d/10786813/e688b547cf5a/43188_2023_213_Fig1_HTML.jpg
https://cdn.ncbi.nlm.nih.gov/pmc/blobs/b38d/10786813/dfadf32fcf05/43188_2023_213_Fig2_HTML.jpg
https://cdn.ncbi.nlm.nih.gov/pmc/blobs/b38d/10786813/46f1f708fb51/43188_2023_213_Fig3_HTML.jpg
https://cdn.ncbi.nlm.nih.gov/pmc/blobs/b38d/10786813/edb1cd3225f8/43188_2023_213_Fig4_HTML.jpg
https://cdn.ncbi.nlm.nih.gov/pmc/blobs/b38d/10786813/6a938a49b820/43188_2023_213_Fig5_HTML.jpg
https://cdn.ncbi.nlm.nih.gov/pmc/blobs/b38d/10786813/712faed585fa/43188_2023_213_Fig6_HTML.jpg
https://cdn.ncbi.nlm.nih.gov/pmc/blobs/b38d/10786813/46c271e7cffd/43188_2023_213_Fig7_HTML.jpg
https://cdn.ncbi.nlm.nih.gov/pmc/blobs/b38d/10786813/a4b505066607/43188_2023_213_Fig8_HTML.jpg
https://cdn.ncbi.nlm.nih.gov/pmc/blobs/b38d/10786813/85423875dfbe/43188_2023_213_Fig9_HTML.jpg

相似文献

1
Distribution of molybdenum in soft tissues and blood of rats after intratracheal instillation of molybdenum(IV) sulfide nano- and microparticles.气管内滴注硫化钼纳米颗粒和微米颗粒后大鼠软组织和血液中钼的分布
Toxicol Res. 2023 Nov 14;40(1):163-177. doi: 10.1007/s43188-023-00213-0. eCollection 2024 Jan.
2
The use of LA-ICP-MS as an auxiliary tool to assess the pulmonary toxicity of molybdenum(IV) sulfide (MoS) nano- and microparticles.使用激光剥蚀电感耦合等离子体质谱(LA-ICP-MS)作为辅助工具来评估二硫化钼(MoS)纳米和微米颗粒的肺部毒性。
Int J Occup Med Environ Health. 2024 Mar 5;37(1):18-33. doi: 10.13075/ijomeh.1896.02305. Epub 2023 Dec 1.
3
Assessment of acute toxicological effects of molybdenum(IV) disulfide nano- and microparticles after single intratracheal administration in rats.经气管单次给药后大鼠体内二硫化钼纳米和微颗粒的急性毒理学效应评估。
Sci Total Environ. 2020 Nov 10;742:140545. doi: 10.1016/j.scitotenv.2020.140545. Epub 2020 Jun 27.
4
Biological effects of molybdenum(IV) sulfide nanoparticles and microparticles in the rat after repeated intratracheal administration.反复气管内给予钼(IV)硫化纳米粒子和微米粒子在大鼠中的生物学效应。
J Appl Toxicol. 2024 Apr;44(4):595-608. doi: 10.1002/jat.4563. Epub 2023 Nov 15.
5
Dietary toxicity of soluble and insoluble molybdenum to northern bobwhite quail (Colinus virginianus).可溶性和不溶性钼对北部 bobwhite 鹌鹑(Colinus virginianus)的膳食毒性。
Ecotoxicology. 2016 Mar;25(2):291-301. doi: 10.1007/s10646-015-1587-5. Epub 2015 Dec 12.
6
Examining the uptake and bioaccumulation of molybdenum nanoparticles and their effect on antioxidant activities in growing rice seedlings.研究钼纳米颗粒在水稻幼苗中的吸收和生物积累及其对抗氧化活性的影响。
Environ Sci Pollut Res Int. 2021 Mar;28(11):13439-13453. doi: 10.1007/s11356-020-11511-7. Epub 2020 Nov 12.
7
Dynamic Transformation of Nano-MoS in a Soil-Plant System Empowers Its Multifunctionality on Soybean Growth.纳米 MoS 在土壤-植物系统中的动态转化赋予其在大豆生长中的多功能性。
Environ Sci Technol. 2024 Jan 16;58(2):1211-1222. doi: 10.1021/acs.est.3c09004. Epub 2024 Jan 3.
8
Pulmonary toxicity of molybdenum disulphide after inhalation in mice.小鼠吸入二硫化钼后的肺毒性
Toxicology. 2023 Feb;485:153428. doi: 10.1016/j.tox.2023.153428. Epub 2023 Jan 11.
9
Toxicity assessment of manganese oxide micro and nanoparticles in Wistar rats after 28 days of repeated oral exposure.锰氧化物微纳米颗粒重复经口染毒 28 天后对 Wistar 大鼠的毒性评价。
J Appl Toxicol. 2013 Oct;33(10):1165-79. doi: 10.1002/jat.2887. Epub 2013 May 24.
10
Direct Assessment of the Toxicity of Molybdenum Disulfide Atomically Thin Film and Microparticles via Cytotoxicity and Patch Testing.通过细胞毒性和斑贴试验直接评估二硫化钼原子薄膜和微颗粒的毒性。
Small. 2018 Mar;14(12):e1702600. doi: 10.1002/smll.201702600. Epub 2018 Jan 22.

本文引用的文献

1
The use of LA-ICP-MS as an auxiliary tool to assess the pulmonary toxicity of molybdenum(IV) sulfide (MoS) nano- and microparticles.使用激光剥蚀电感耦合等离子体质谱(LA-ICP-MS)作为辅助工具来评估二硫化钼(MoS)纳米和微米颗粒的肺部毒性。
Int J Occup Med Environ Health. 2024 Mar 5;37(1):18-33. doi: 10.13075/ijomeh.1896.02305. Epub 2023 Dec 1.
2
Resolution of MoS Nanosheets-Induced Pulmonary Inflammation Driven by Nanoscale Intracellular Transformation and Extracellular-Vesicle Shuttles.由纳米级细胞内转化和细胞外囊泡穿梭驱动的二硫化钼纳米片诱导的肺部炎症的消退
Adv Mater. 2023 Mar;35(13):e2209615. doi: 10.1002/adma.202209615. Epub 2023 Feb 17.
3
Pulmonary toxicity of molybdenum disulphide after inhalation in mice.
小鼠吸入二硫化钼后的肺毒性
Toxicology. 2023 Feb;485:153428. doi: 10.1016/j.tox.2023.153428. Epub 2023 Jan 11.
4
Al-Mg-MoS Reinforced Metal Matrix Composites: Machinability Characteristics.铝镁-二硫化钼增强金属基复合材料:可加工性特性
Materials (Basel). 2022 Jun 28;15(13):4548. doi: 10.3390/ma15134548.
5
Mechanisms of cell injury induced by inhaled molybdenum trioxide nanoparticles in Golden Syrian Hamsters.吸入三氧化钼纳米颗粒引起金黄地鼠细胞损伤的机制。
Exp Biol Med (Maywood). 2022 Dec;247(23):2067-2080. doi: 10.1177/15353702221104033. Epub 2022 Jun 25.
6
Low Cytotoxicity and Genotoxicity of Two-Dimensional MoS and WS.二维MoS₂和WS₂的低细胞毒性和基因毒性
ACS Biomater Sci Eng. 2016 Mar 14;2(3):361-367. doi: 10.1021/acsbiomaterials.5b00467. Epub 2016 Mar 3.
7
Assessment of acute toxicological effects of molybdenum(IV) disulfide nano- and microparticles after single intratracheal administration in rats.经气管单次给药后大鼠体内二硫化钼纳米和微颗粒的急性毒理学效应评估。
Sci Total Environ. 2020 Nov 10;742:140545. doi: 10.1016/j.scitotenv.2020.140545. Epub 2020 Jun 27.
8
Comparative in vitro transportation of pentamidine across the blood-brain barrier using polycaprolactone nanoparticles and phosphatidylcholine liposomes.聚己内酯纳米粒和磷脂脂质体体外比较透过血脑屏障传递戊脒。
Artif Cells Nanomed Biotechnol. 2019 Dec;47(1):1428-1436. doi: 10.1080/21691401.2019.1596923.
9
Triple co-culture of human alveolar epithelium, endothelium and macrophages for studying the interaction of nanocarriers with the air-blood barrier.用于研究纳米载体与气-血屏障相互作用的人肺泡上皮细胞、内皮细胞和巨噬细胞三重共培养。
Acta Biomater. 2019 Jun;91:235-247. doi: 10.1016/j.actbio.2019.04.037. Epub 2019 Apr 18.
10
Nanoparticles and neurotoxicity: Dual response of glutamatergic receptors.纳米颗粒与神经毒性:谷氨酸能受体的双重反应
Prog Brain Res. 2019;245:281-303. doi: 10.1016/bs.pbr.2019.03.005. Epub 2019 Apr 2.