Suppr超能文献

采用改良单锥充填技术增强根管充填物的冠部适应性:两例病例报告

Enhancing Coronal Adaptation of Root Canal Fillings with a Modified Single-Cone Obturation Technique: Two Case Reports.

作者信息

Kalantar Motamedi Mahmood Reza, Gilbert Brett E, Ha William N

机构信息

Dental Research Center, Dental Research Institute, School of Dentistry, Isfahan University of Medical Sciences, Isfahan, Iran.

Department of Endodontics, College of Dentistry, University of Illinois at Chicago, Chicago, IL, USA.

出版信息

Iran Endod J. 2024;19(1):50-55. doi: 10.22037/iej.v19i1.43991.

Abstract

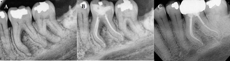
The single-cone technique, also known as the hydraulic condensation technique, is widely employed in endodontics. However, the aforementioned method is presented with certain limitations; specifically concerning the coronal seal and the adaptation of the coronal third of a master gutta-percha (GP) with a round cross-section to the coronal dentinal walls of root canals with semi-round or oval cross-sections. Through two case reports, the current article introduces the coronal vertical condensation (CVC) technique; aiming to enhance GP adaptation to canal walls in similar scenarios. In fact, the coronal vertical condensation technique amalgamates the different aspects of warm vertical condensation and single-cone techniques. In CVC, following the placement of the master GP cone, an electrical heat carrier is inserted immediately a few millimeters apical from the canal orifice to remove the coronal portion of the master GP cone. Subsequently, a hand plugger is used to condense GP in the vertical dimension, and the coronal space is backfilled using melted GP. The implementation of CVC technique has demonstrated an improved coronal adaptation of GP with canal walls. The stated technique seems beneficial; especially in the obturation of severely curved canals or root canals with a final preparation shape of variable taper.

摘要

单锥技术,也称为液压加压技术,在牙髓病学中被广泛应用。然而,上述方法存在一定局限性;具体而言,涉及冠部封闭以及圆形横截面的主牙胶尖(GP)冠部三分之一与半圆形或椭圆形横截面根管的冠部牙本质壁的贴合。通过两个病例报告,本文介绍了冠部垂直加压(CVC)技术;旨在在类似情况下增强牙胶尖与根管壁的贴合度。事实上,冠部垂直加压技术融合了热垂直加压和单锥技术的不同方面。在CVC技术中,放置主牙胶尖后,将电热载体立即插入距根管口几毫米的根尖处,以去除主牙胶尖的冠部部分。随后,使用手动充填器在垂直方向上加压牙胶尖,并用熔化的牙胶尖回填冠部空间。CVC技术的应用已证明牙胶尖与根管壁的冠部贴合度有所提高。所述技术似乎有益;特别是在充填严重弯曲的根管或最终预备形态为可变锥度的根管时。

https://cdn.ncbi.nlm.nih.gov/pmc/blobs/ea11/10787180/d387c2fbf96f/IEJ-19-50-g001.jpg

相似文献

2
An evaluation of .06 tapered gutta-percha cones for filling of .06 taper prepared curved root canals.
Int Endod J. 2005 Feb;38(2):87-96. doi: 10.1111/j.1365-2591.2004.00903.x.
3
Apical filling characteristics of carrier-based techniques vs. single cone technique in curved root canals.
Clin Oral Investig. 2016 Sep;20(7):1631-7. doi: 10.1007/s00784-015-1674-2. Epub 2015 Nov 27.
8
A comparison of techniques for obturating oval-shaped root canals.
Dent Mater J. 2009 May;28(3):290-4. doi: 10.4012/dmj.28.290.
9
Comparison of lateral condensation and thermomechanically compacted warm alpha-phase gutta-percha with a single cone for obturating curved root canals.
Oral Surg Oral Med Oral Pathol Oral Radiol Endod. 2001 Jan;91(1):89-94. doi: 10.1067/moe.2001.110416.
10
Comparison of laterally condensed and low-temperature thermoplasticized gutta-percha root fillings.
J Endod. 2000 Dec;26(12):733-8. doi: 10.1097/00004770-200012000-00018.

引用本文的文献

本文引用的文献

1
Different Application Methods for Endoseal MTA Sealer: A Comparative Study.
Iran Endod J. 2020 Winter;15(1):44-49. doi: 10.22037/iej.v15i1.27568.
2
Influence of the root canal filling technique on the success rate of primary endodontic treatments: a systematic review.
Restor Dent Endod. 2022 Oct 11;47(4):e40. doi: 10.5395/rde.2022.47.e40. eCollection 2022 Nov.
3
Micro-computed tomographic evaluation of single-cone obturation with three sealers.
Restor Dent Endod. 2021 Apr 16;46(2):e25. doi: 10.5395/rde.2021.46.e25. eCollection 2021 May.
5
Micro-CT Evaluation of Four Root Canal Obturation Techniques.
Scanning. 2021 Feb 25;2021:6632822. doi: 10.1155/2021/6632822. eCollection 2021.
6
An Arithmetic Crown-down Dynamic Tactile Instrumentation Technique: A Case Report of an S-shaped Root Canal.
J Endod. 2021 May;47(5):836-843. doi: 10.1016/j.joen.2020.12.013. Epub 2020 Dec 31.
8
Effectiveness of a reciprocating single file, single cone endodontic treatment approach: a randomized controlled pragmatic clinical trial.
Clin Oral Investig. 2020 Jul;24(7):2247-2257. doi: 10.1007/s00784-019-03077-7. Epub 2019 Oct 24.
9
An international survey on the use of calcium silicate-based sealers in non-surgical endodontic treatment.
Clin Oral Investig. 2020 Jan;24(1):417-424. doi: 10.1007/s00784-019-02920-1. Epub 2019 May 18.

文献AI研究员

20分钟写一篇综述,助力文献阅读效率提升50倍。

立即体验

用中文搜PubMed

大模型驱动的PubMed中文搜索引擎

马上搜索

文档翻译

学术文献翻译模型,支持多种主流文档格式。

立即体验