Suppr超能文献

全内脏转位患者腹腔镜胆囊切除术后发生完全性胆总管损伤:病例报告、文献综述及病例视频展示

Complete Common Bile Duct Injury after Laparoscopic Cholecystectomy in Situs Inversus Totalis: A Case Report, Review of the Literature and Illustrative Case Video.

作者信息

Aburayya Bahaa I, Obeidat Layan R, Kitana Farah I, Al Khatib Omar, Romman Saleh, Hamed Osama H

机构信息

Faculty of Medicine, Jordan University of Science and Technology, Irbid 22110, Jordan.

Specialty Hospital, Jaber Ibn Hayyan St, Amman, Jordan.

出版信息

Int J Surg Case Rep. 2024 Feb;115:109265. doi: 10.1016/j.ijscr.2024.109265. Epub 2024 Jan 17.

Abstract

INTRODUCTION AND IMPORTANCE

Situs Inversus Totalis (SIT) is a rare condition characterized by the transposition of internal organs. Given the anatomical variations in SIT, surgeons must exercise extreme caution when performing laparoscopic cholecystectomy to avoid iatrogenic bile duct injury. Despite the high difficulty index associated with laparoscopic cholecystectomy in SIT, there is only one case report of common bile duct (CBD) injury in the English-language literature.

CASE PRESENTATION

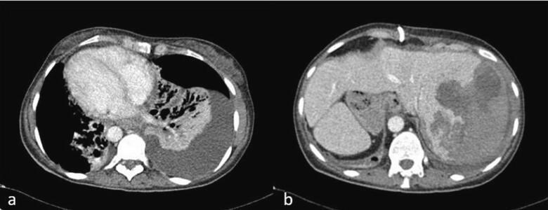
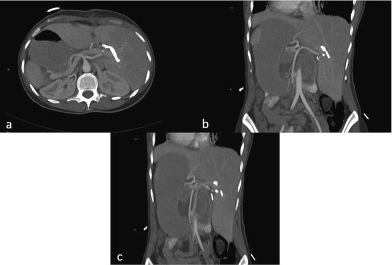
A 41-year-old female patient, known to have Kartagener syndrome, underwent laparoscopic cholecystectomy for acute cholecystitis and was discharged home on post-operative day one. However, on post-operative day five, the patient presented to the emergency room with abdominal pain, fever, and jaundice. Laboratory tests revealed leukocytosis and hyperbilirubinemia. Radiological images revealed complete occlusion of the CBD. A delayed approach was chosen, and six weeks after her initial operation, a hepaticojejunostomy was performed.

CLINICAL DISCUSSION

Laparoscopic cholecystectomy is the standard operative procedure for gallbladder disease. The unique anatomy of SIT increases the risk of CBD injury during laparoscopic cholecystectomy. Surgeons are required to perform a mirror-image procedure and adhere to the basic principles of safe laparoscopic cholecystectomy in SIT. This is only the second reported case of CBD injury in SIT patients.

CONCLUSION

Laparoscopic cholecystectomy in SIT presents a significant challenge. In patients with SIT, preventing CBD injury is the best approach, and referral to an experienced hepato-pancreato-biliary (HPB) surgeon is recommended. A delayed approach to CBD injuries in SIT allows thorough planning and understanding of the complex anatomical variations in these patients.

摘要

引言与重要性

全内脏转位(SIT)是一种以内脏转位为特征的罕见病症。鉴于SIT患者存在解剖结构变异,外科医生在进行腹腔镜胆囊切除术时必须格外谨慎,以避免医源性胆管损伤。尽管SIT患者进行腹腔镜胆囊切除术的难度指数很高,但英文文献中仅有一例胆总管(CBD)损伤的病例报告。

病例介绍

一名41岁的女性患者,已知患有卡塔格内综合征,因急性胆囊炎接受了腹腔镜胆囊切除术,并于术后第一天出院回家。然而,术后第五天,该患者因腹痛、发热和黄疸前往急诊室就诊。实验室检查显示白细胞增多和高胆红素血症。影像学检查显示CBD完全闭塞。选择了延迟治疗方法,在初次手术后六周进行了肝空肠吻合术。

临床讨论

腹腔镜胆囊切除术是胆囊疾病的标准手术方法。SIT独特的解剖结构增加了腹腔镜胆囊切除术期间CBD损伤的风险。外科医生需要进行镜像操作,并在SIT患者中遵循安全腹腔镜胆囊切除术的基本原则。这是SIT患者中第二例报告的CBD损伤病例。

结论

SIT患者的腹腔镜胆囊切除术面临重大挑战。对于SIT患者,预防CBD损伤是最佳方法,建议转诊至经验丰富的肝胰胆(HPB)外科医生处。对SIT患者的CBD损伤采用延迟治疗方法,可以对这些患者复杂的解剖变异进行全面规划和了解。

https://cdn.ncbi.nlm.nih.gov/pmc/blobs/6567/10831892/58ed37bd584f/gr1.jpg

文献AI研究员

20分钟写一篇综述,助力文献阅读效率提升50倍。

立即体验

用中文搜PubMed

大模型驱动的PubMed中文搜索引擎

马上搜索

文档翻译

学术文献翻译模型,支持多种主流文档格式。

立即体验