Suppr超能文献

短胖型老鼠的肋骨畸形是由异常的脊柱旁纵向软骨/骨堆积引起的。

Pudgy mouse rib deformities emanate from abnormal paravertebral longitudinal cartilage/bone accumulations.

机构信息

Department of Medicine/Endocrinology, Stanford University School of Medicine, Palo Alto CA 94305, USA.

Department of Bioengineering, Northeastern University, Boston MA 02115, USA.

出版信息

Biol Open. 2024 Jan 15;13(1). doi: 10.1242/bio.060139. Epub 2024 Jan 22.

Abstract

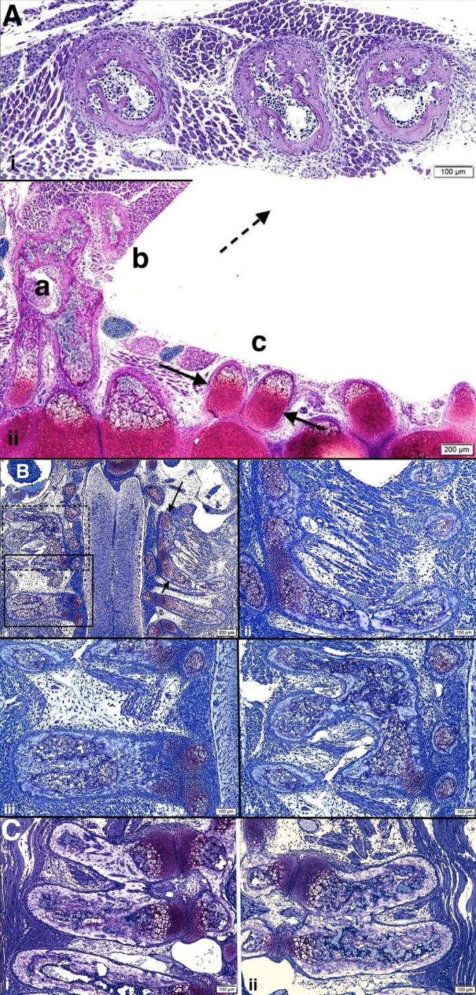
The pudgy (pu/pu) mouse, caused by a recessive mutation in the Notch family Delta like-3 gene (Dll3), has severe rib, vertebral body and intervertebral disc abnormalities. Using whole-mount preparations and serial histologic sections we demonstrate: 1) localized paravertebral longitudinal cartilage/bone accumulations (PVLC/BAs) invariably associated with branched, fused and asymmetrically spaced ribs that emanate from it laterally; 2) abnormal rib formation immediately adjacent to abnormal vertebral body and intervertebral disc formation in asymmetric right/left fashion; and 3) patterns of rib deformation that differ in each mouse. Normal BALB/c embryo and age-matched non-affected pu/+ mice assessments allow for pu/pu comparisons. The Dll3 Notch family gene is involved in normal somitogenesis via the segmentation clock mechanism. Although pathogenesis of rib deformation is initially triggered by the Dll3 gene mutation, these findings of abnormal asymmetric costo-vertebral region structure imply that differing patterns cannot be attributed to this single gene mutation alone. All findings implicate a dual mechanism of malformation: the Dll3 gene mutation leading to subtle timing differences in traveling oscillation waves of the segmentation clock and further subsequent misdirection of tissue formation by altered chemical reaction-diffusion and epigenetic landscape responses. PVLC/BAs appear as primary supramolecular structures underlying severe rib malformation associated both with time-sensitive segmentation clock mutations and subsequent reactions.

摘要

由于 Notch 家族 Delta 样 3 基因 (Dll3) 隐性突变导致的肥胖 (pu/pu) 小鼠,具有严重的肋骨、椎体和椎间盘异常。通过全胚胎制备和连续组织学切片,我们证明了:1)与从其侧向发出的分支、融合和不对称间隔肋骨相关的局部椎旁纵向软骨/骨堆积 (PVLC/BAs);2)异常肋骨形成与异常椎体和椎间盘形成紧邻,呈不对称的左右方式;3)每只小鼠的肋骨变形模式不同。正常 BALB/c 胚胎和同龄未受影响的 pu/+ 小鼠评估允许与 pu/pu 进行比较。Dll3 Notch 家族基因通过分段时钟机制参与正常体节发生。虽然肋骨变形的发病机制最初是由 Dll3 基因突变引发的,但这些异常不对称肋椎区域结构的发现表明,不同的模式不能仅归因于这一单一基因突变。所有发现都暗示了一种畸形的双重机制:Dll3 基因突变导致分段时钟行进振荡波的微妙时间差异,进一步通过改变化学反应扩散和表观遗传景观反应导致组织形成的错误导向。PVLC/BAs 似乎是严重肋骨畸形的主要超分子结构,与时间敏感的分段时钟突变和随后的反应有关。

https://cdn.ncbi.nlm.nih.gov/pmc/blobs/7957/10840853/0b59b97b0817/biolopen-13-060139-g1.jpg

文献AI研究员

20分钟写一篇综述,助力文献阅读效率提升50倍。

立即体验

用中文搜PubMed

大模型驱动的PubMed中文搜索引擎

马上搜索

文档翻译

学术文献翻译模型,支持多种主流文档格式。

立即体验