Department of Maxillofacial Radiology, Faculty of Dentistry, University of Oslo, 0455 Oslo, Norway.
Br J Radiol. 2024 Jan 23;97(1153):53-67. doi: 10.1093/bjr/tqad021.
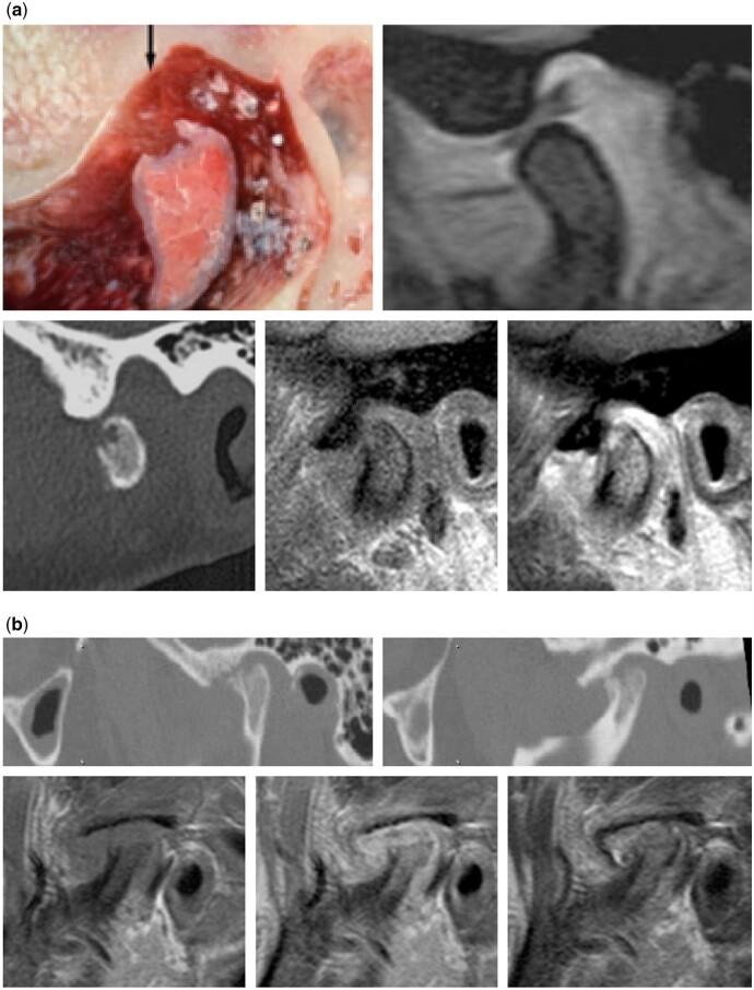
In this pictorial review, an introductory paragraph emphasizes the significance of some anatomical aspects for optimal imaging of the temporomandibular joint (TMJ). The most frequent pathologies: internal derangement (ID) and osteoarthritis (OA) are comprehensively discussed and illustrated. Less common conditions: ID and OA-like changes in children and adolescents, idiopathic condylar resorption, inflammatory arthritis, and juvenile idiopathic arthritis are briefly discussed. A short paragraph on differential diagnostics in young patients is included followed by a brief comment on expansile lesions that occasionally may occur in the TMJ.
在本图文综述中,引言段强调了一些解剖学方面对于颞下颌关节(TMJ)最佳成像的重要性。最常见的病变:关节盘紊乱(ID)和骨关节炎(OA)进行了全面讨论和说明。较少见的情况:儿童和青少年的 ID 和 OA 样改变、特发性髁突吸收、炎性关节炎和青少年特发性关节炎简要讨论。包括年轻患者的鉴别诊断的短段后,简要评论偶尔可能发生在 TMJ 的膨胀性病变。