Ishikawa Akira, Tanaka Hidenori, Yamashita Ken, Arihiro Koji, Oka Shiro, Shimomura Manabu, Ohdan Hideki
Department of Molecular Pathology Graduate School of Biomedical and Health Sciences Hiroshima University Hiroshima Japan.
Department of Gastroenterology Graduate School of Biomedical and Health Sciences Hiroshima University Hiroshima Japan.
DEN Open. 2024 Jan 23;4(1):e330. doi: 10.1002/deo2.330. eCollection 2024 Apr.
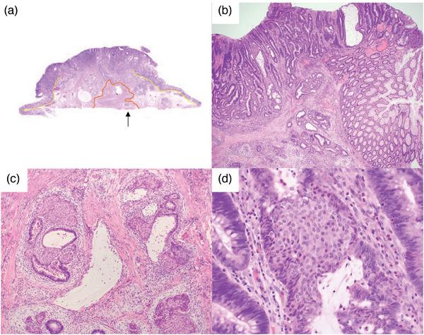
Colorectal adenomas with squamoid morules are rare; however, colorectal adenocarcinomas are even rarer. Herein, we present a case of colorectal adenocarcinoma with squamoid morules arising from the transverse colon. A 60-year-old Japanese man underwent a colonoscopy, and a Type 0-Is polyp was detected in the transverse colon. The endoscopic findings suggested a high possibility of carcinoma invasion into the deep submucosa. However, endoscopic mucosal resection was performed due to the patient's preference. Histopathologically, the tumor cells mostly formed atypical glandular structures corresponding to adenocarcinomas. Solid nests were observed in parts of the tumor, composed of round, small to short spindles. Immunohistochemically, p63 was positive in some areas, CK20 was negative, and the Ki-67 positive cell rate was almost zero, suggesting a squamoid morule. Based on the above findings, colorectal adenocarcinoma with a squamoid morule was diagnosed; only the fifth case was reported worldwide. Squamoid morules should be carefully differentiated from squamous components of adenosquamous carcinomas.
伴有鳞状小体的大肠腺瘤较为罕见;然而,伴有鳞状小体的大肠腺癌则更为罕见。在此,我们报告一例起源于横结肠的伴有鳞状小体的大肠腺癌病例。一名60岁的日本男性接受了结肠镜检查,在横结肠发现了0-Is型息肉。内镜检查结果提示癌浸润至黏膜下层深层的可能性很大。然而,由于患者的意愿,还是进行了内镜黏膜切除术。组织病理学检查显示,肿瘤细胞大多形成了与腺癌相对应的非典型腺管结构。在肿瘤的部分区域观察到实性巢,由圆形、小至短梭形细胞组成。免疫组织化学检查显示,部分区域p63呈阳性,CK20呈阴性,Ki-67阳性细胞率几乎为零,提示存在鳞状小体。基于上述发现,诊断为伴有鳞状小体的大肠腺癌;这是全球报道的第五例。鳞状小体应与腺鳞癌的鳞状成分仔细鉴别。