Scappa João Pedro Cassin, Peixoto Alberto Borges, Bravo-Valenzuela Nathalie Jeanne, Tonni Gabriele, Mattar Rosiane, Araujo Júnior Edward
Department of Obstetrics, Paulista School of Medicine, Federal University of São Paulo (EPM-UNIFESP), São Paulo, Brazil.
Gynecology and Obstetrics Service, Mario Palmério University Hospital - University of Uberaba (UNIUBE), Uberaba, Minas Gerais, Brazil.
J Med Ultrasound. 2023 Dec 7;31(4):298-304. doi: 10.4103/jmu.jmu_102_22. eCollection 2023 Oct-Dec.
The objective of this study was to assess the ascending and descending aorta area measurements by three-dimensional (3D) ultrasound using spatiotemporal image correlation (STIC) in the rendering mode comparing these measurements with pregestational diabetic mothers and assessing the reproducibility of the method.
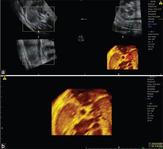
We carried out a retrospective cross-sectional study with 58 normal and nine fetuses from pregestational diabetic mothers between 20 and 33 + 6 weeks of gestation. Fetal heart volumes were acquired at the level of four-chamber view to obtain the reconstructed planes for the ascending and descending aorta areas in the rendering mode. Linear regression was performed to assess the correlation between the fetal aorta areas and gestational age (GA). To assess the intra- and interobserver reproducibility, we used the concordance correlation coefficient (CCC).
The mean ascending and descending aorta areas were 0.12 (0.02-0.48) and 0.11 (0.04-0.39) cm in normal fetuses, respectively. There was a moderate positive correlation between GA and ascending aorta area measurements (0.005676GA - 0.01283; = 0.53, < 0.0001) and strong positive correlation between GA and descending aorta area (0.01095GA - 0.1581; = 0.68, < 0.0001). We observed a weak intra- and interobserver reproducibility with CCC ranging from 0.05 to 0.91. The mean difference in the ascending and descending aorta area measurements of normal and fetuses of pregestational diabetic mothers was -0.03 cm ( = 0.276) and -0.03 cm ( = 0.231), respectively.
The fetal ascending and descending aorta area measurements obtained by 3D ultrasound using STIC in the rendering mode increased with GA in normal fetuses. The method showed weak intra- and interobserver reproducibility.
本研究的目的是使用时空图像相关(STIC)技术在三维(3D)超声的渲染模式下评估升主动脉和降主动脉的面积测量值,将这些测量值与孕前糖尿病母亲进行比较,并评估该方法的可重复性。
我们进行了一项回顾性横断面研究,纳入了58例正常胎儿和9例孕周在20至33 + 6周之间的孕前糖尿病母亲的胎儿。在四腔心切面水平获取胎儿心脏容积,以在渲染模式下获得升主动脉和降主动脉面积的重建平面。进行线性回归以评估胎儿主动脉面积与孕周(GA)之间的相关性。为了评估观察者内和观察者间的可重复性,我们使用了一致性相关系数(CCC)。
正常胎儿升主动脉和降主动脉的平均面积分别为0.12(0.02 - 0.48)平方厘米和0.11(0.04 - 0.39)平方厘米。GA与升主动脉面积测量值之间存在中度正相关(0.005676×GA - 0.01283;r = 0.53,P < 0.0001),GA与降主动脉面积之间存在强正相关(0.01095×GA - 0.1581;r = 0.68,P < 0.0001)。我们观察到观察者内和观察者间的可重复性较弱,CCC范围为0.05至0.91。正常胎儿与孕前糖尿病母亲的胎儿升主动脉和降主动脉面积测量值的平均差异分别为 -0.03平方厘米(P = 0.276)和 -0.03平方厘米(P = 0.231)。
在正常胎儿中,使用STIC技术在3D超声渲染模式下获得的胎儿升主动脉和降主动脉面积测量值随GA增加。该方法显示出较弱的观察者内和观察者间可重复性。