Suppr超能文献

睾丸中线癌的原发性肺核蛋白:病例报告及汇总分析的系统评价

Primary pulmonary nuclear protein of the testis midline carcinoma: case report and systematic review with pooled analysis.

作者信息

Zhao Dong, Cao Wei, Zha Shiqian, Wang Yixuan, Pan Zhou, Zhang Jingyi, Hu Ke

机构信息

Department of Respiratory and Critical Care Medicine, Renmin Hospital of Wuhan University, Wuhan, China.

Office of Cancer Screening, National Cancer Center/National Clinical Research Center for Cancer/Cancer Hospital, Chinese Academy of Medical Sciences and Peking Union Medical College, Beijing, China.

出版信息

Front Oncol. 2024 Jan 9;13:1308432. doi: 10.3389/fonc.2023.1308432. eCollection 2023.

Abstract

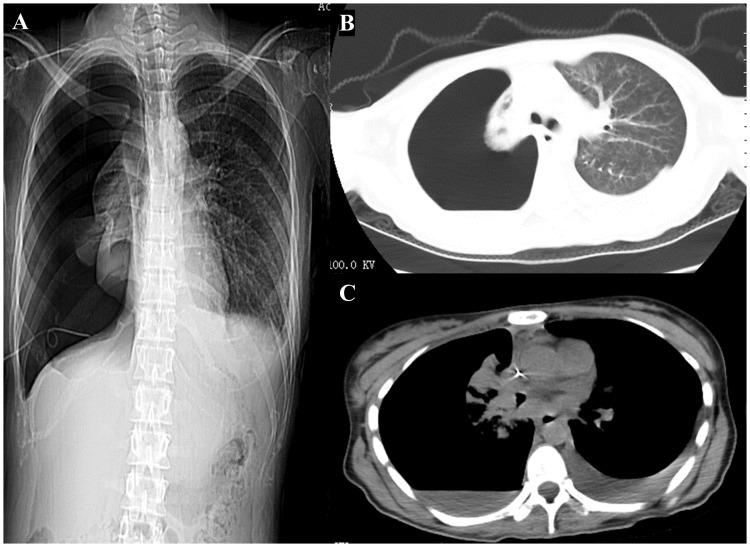
Nuclear protein of the testis (NUT) midline carcinoma (NMC) is a rare tumor, with particularly low incidence in the lungs, and a correspondingly poor prognosis. To determine the clinicopathological characteristics, outcomes, and prognostic factors of primary pulmonary NMC, a case was reported and a systematic review was performed. Twenty-nine records, including ours, involving 62 cases, were finally included. The median age at diagnosis was 29.5 years. At presentation, the most common symptoms at presentation were cough (47.50%) and chest/back pain (37.50%). In terms of diagnosis, 32.14% of NMC cases were identified through immunohistochemistry (IHC); However, a greater number of cases may be misdiagnosed initially, and ultimately, the diagnosis of NMC was confirmed through a combination of IHC and fluorescence hybridization (FISH). Despite the clinical application of various chemotherapy-based treatments, the actual effectiveness remains unsatisfactory. Furthermore, Cox regression analysis of multiple factors identified male gender and concurrent presence of pleural effusion as indicators of shorter survival time in patients. These results emphasize the importance of increased diagnostic awareness among clinical and pathology practitioners concerning NMC. While there is currently no established standard for treating NMC, a treatment approach combining multiple methods shows promise for future research. Concurrently, clinical and foundational investigations addressing variables such as gender and the presence of pleural effusion may yield valuable insights into the diagnosis and treatment of NMC.

摘要

睾丸核蛋白(NUT)中线癌(NMC)是一种罕见肿瘤,在肺部发病率极低,预后相应较差。为了确定原发性肺NMC的临床病理特征、转归及预后因素,报告了1例病例并进行了系统综述。最终纳入包括我们的病例在内的29篇记录,涉及62例患者。诊断时的中位年龄为29.5岁。就诊时,最常见的症状是咳嗽(47.50%)和胸/背痛(37.50%)。在诊断方面,32.14%的NMC病例通过免疫组织化学(IHC)确诊;然而,更多病例最初可能被误诊,最终通过IHC和荧光原位杂交(FISH)相结合确诊NMC。尽管各种基于化疗的治疗方法已应用于临床,但实际疗效仍不尽人意。此外,多因素Cox回归分析确定男性性别和并发胸腔积液是患者生存时间较短的指标。这些结果强调了临床和病理从业者提高对NMC诊断认识的重要性。虽然目前尚无既定的NMC治疗标准,但多种方法联合的治疗方法对未来研究显示出前景。同时,针对性别和胸腔积液等变量的临床和基础研究可能会为NMC的诊断和治疗提供有价值的见解。

https://cdn.ncbi.nlm.nih.gov/pmc/blobs/a442/10803636/167faa0771a5/fonc-13-1308432-g001.jpg

文献AI研究员

20分钟写一篇综述,助力文献阅读效率提升50倍。

立即体验

用中文搜PubMed

大模型驱动的PubMed中文搜索引擎

马上搜索

文档翻译

学术文献翻译模型,支持多种主流文档格式。

立即体验