Yang Rui, Yang Cheng, Su Danjie, Song Yang, Min Jie, Qian Zhixin, Shen Xiangjing, Li Junqiang, Su Haichuan
Department of Oncology, Tangdu Hospital, Air Force Medical University, Xi'an, 710038, Shaanxi, China.
Department of Obstetrics and Gynecology, Tangdu Hospital, Air Force Medical University, Xi'an, 710038, Shaanxi, China.
Cancer Gene Ther. 2024 Apr;31(4):562-573. doi: 10.1038/s41417-024-00731-5. Epub 2024 Jan 24.
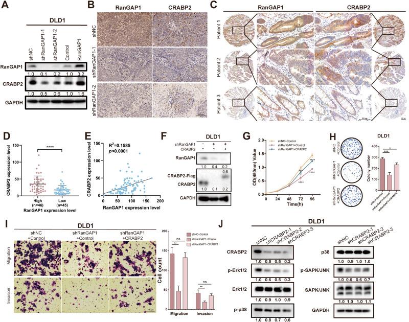
Ran GTPase activating protein 1 (RanGAP1) has been implicated in various diseases, but its role in colorectal cancer (CRC) progression remains unclear. Using tumor tissues and public databases, we found that RanGAP1 was significantly upregulated in CRC tissues and was associated with poor prognosis of patients. N6-methyladenosine (m6A) was found to play an important role in higher expression of RanGAP1. MeRIP-seq, RIP-qPCR, Luciferase reporter assays and other related experiment elucidated the molecular mechanism underlying m6A modification of RanGAP1. Besides, cell function experiments and xenograft tumor models corroborated the function of RanGAP1 in CRC progression. By RNA-seq and related analysis, RanGAP1 was verified to influent CRC progression via the Mitogen-Activated Protein Kinase (MAPK) signaling pathway. Therefore, N6-methyladenosine modification of RanGAP1 by METTL3/YTHDF1 plays a role in CRC progression through the MAPK pathway and could be a potential biomarker and therapeutic target for CRC. Schematic diagram showed that N6-methyladenosine modification of RanGAP1 promotes CRC progression via the MAPK signaling pathway.
Ran鸟苷三磷酸酶激活蛋白1(RanGAP1)与多种疾病有关,但其在结直肠癌(CRC)进展中的作用仍不清楚。通过使用肿瘤组织和公共数据库,我们发现RanGAP1在CRC组织中显著上调,并且与患者的不良预后相关。发现N6-甲基腺苷(m6A)在RanGAP1的高表达中起重要作用。甲基化RNA免疫沉淀测序(MeRIP-seq)、RNA免疫沉淀定量聚合酶链反应(RIP-qPCR)、荧光素酶报告基因检测及其他相关实验阐明了RanGAP1的m6A修饰的分子机制。此外,细胞功能实验和异种移植肿瘤模型证实了RanGAP1在CRC进展中的作用。通过RNA测序及相关分析,证实RanGAP1通过丝裂原活化蛋白激酶(MAPK)信号通路影响CRC进展。因此,METTL3/YTHDF1对RanGAP1的N6-甲基腺苷修饰通过MAPK途径在CRC进展中起作用,并且可能是CRC的潜在生物标志物和治疗靶点。示意图显示RanGAP1的N6-甲基腺苷修饰通过MAPK信号通路促进CRC进展。