Suppr超能文献

胆囊缺如:普通外科医生的诊断流程中必须包含它吗?

Gallbladder Agenesis: Must General Surgeons Have It on Their Diagnostic Algorithm?

作者信息

Arias Rivera Atl Simon, Jasqui Bucay Alan, Mandujano Ivan, Perez Cantu Alberto, De Leon David

机构信息

General Surgery, Hospital Angeles Lomas, Huixquilucan, MEX.

出版信息

Cureus. 2023 Dec 25;15(12):e51078. doi: 10.7759/cureus.51078. eCollection 2023 Dec.

Abstract

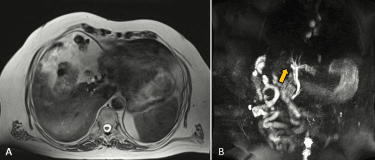
Gallbladder agenesis is a rare congenital malformation that can present itself with comparable symptoms as any case of cholelithiasis. We present a case of a 76-year-old male patient without any medical background of significance who presented at the ER complaining of sudden abdominal pain that started two hours prior to his arrival. Laboratory tests were ordered and an increase in total bilirubin was noted, showing a cholestatic pattern. An abdominal ultrasound was performed where the gallbladder could not be found; therefore, an abdominal CT and an MRI were ordered, which later confirmed gallbladder agenesis. Endoscopic retrograde cholangiopancreatography (ERCP) was then performed with sphincterotomy and the patient was discharged 24 hours later without any complications noted. Gallbladder agenesis is a rare but important diagnosis that general surgeons must have in their diagnostic repertoire because of its ability to mimic acute cholecystitis or cholelithiasis. The objective of this report is to summarize the principal details of this entity.

摘要

胆囊缺如是一种罕见的先天性畸形,其表现出的症状可能与任何胆结石病例相似。我们报告一例76岁男性患者,他没有任何重大病史,因突发腹痛前来急诊室就诊,腹痛在他到达前两小时开始。进行了实验室检查,发现总胆红素升高,呈胆汁淤积模式。进行了腹部超声检查,未发现胆囊;因此,又进行了腹部CT和MRI检查,后来证实为胆囊缺如。随后进行了内镜逆行胰胆管造影(ERCP)并实施了括约肌切开术,患者24小时后出院,未发现任何并发症。胆囊缺如是一种罕见但重要的诊断,普通外科医生必须将其纳入诊断范围,因为它能够模拟急性胆囊炎或胆结石。本报告的目的是总结该病症的主要细节。

https://cdn.ncbi.nlm.nih.gov/pmc/blobs/7b8b/10807820/d5d8150a884a/cureus-0015-00000051078-i01.jpg

文献AI研究员

20分钟写一篇综述,助力文献阅读效率提升50倍。

立即体验

用中文搜PubMed

大模型驱动的PubMed中文搜索引擎

马上搜索

文档翻译

学术文献翻译模型,支持多种主流文档格式。

立即体验