• 文献检索
  • 文档翻译
  • 深度研究
  • 学术资讯
  • Suppr Zotero 插件Zotero 插件
  • 邀请有礼
  • 套餐&价格
  • 历史记录
应用&插件
Suppr Zotero 插件Zotero 插件浏览器插件Mac 客户端Windows 客户端微信小程序
定价
高级版会员购买积分包购买API积分包
服务
文献检索文档翻译深度研究API 文档MCP 服务
关于我们
关于 Suppr公司介绍联系我们用户协议隐私条款
关注我们

Suppr 超能文献

核心技术专利:CN118964589B侵权必究
粤ICP备2023148730 号-1Suppr @ 2026

文献检索

告别复杂PubMed语法,用中文像聊天一样搜索,搜遍4000万医学文献。AI智能推荐,让科研检索更轻松。

立即免费搜索

文件翻译

保留排版,准确专业,支持PDF/Word/PPT等文件格式,支持 12+语言互译。

免费翻译文档

深度研究

AI帮你快速写综述,25分钟生成高质量综述,智能提取关键信息,辅助科研写作。

立即免费体验

胆囊缺如的术前诊断:一例报告

Preoperative Diagnosis of Gallbladder Agenesis: A Case Report.

作者信息

Rivera Alec, Williamson Dustin, Almonte German

机构信息

General Surgery, William Carey University College of Osteopathic Medicine, Hattiesburg, USA.

General/Trauma Surgery, Highland Community Hospital, Picayune, USA.

出版信息

Cureus. 2022 Oct 27;14(10):e30753. doi: 10.7759/cureus.30753. eCollection 2022 Oct.

DOI:10.7759/cureus.30753
PMID:36320796
原文链接:https://pmc.ncbi.nlm.nih.gov/articles/PMC9616560/
Abstract

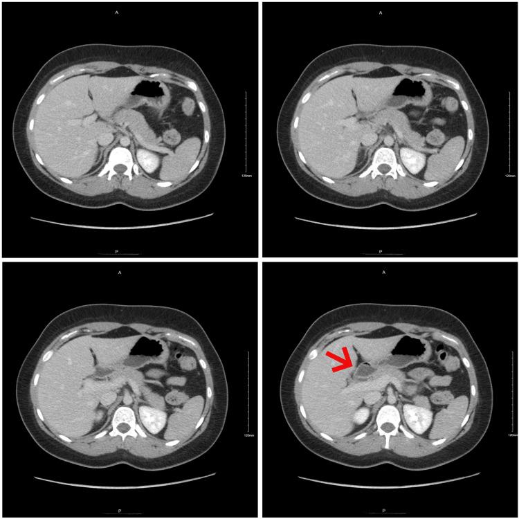
Gallbladder agenesis (GA) is a rare congenital malformation with less than 500 reported cases. Often an incidental finding intraoperatively or in postmortem autopsies, the first reported case dates back to 1701. We discuss the case of a 21-year-old female presenting with classic biliary symptoms who, on imaging, failed to have a visualizable gallbladder. Initial ultrasound (US) reported a non-visualized gallbladder with gallbladder contraction as a possible explanation. More advanced imaging allowed for the preoperative diagnosis, thus preventing an unpleasant intraoperative surprise. As imaging techniques continue to advance, unnecessary operations can hopefully be avoided, albeit a difficult diagnosis to make.

摘要

胆囊缺如(GA)是一种罕见的先天性畸形,报告病例不足500例。通常是在术中或尸检时偶然发现,首例报告病例可追溯到1701年。我们讨论了一名21岁女性的病例,该患者表现出典型的胆道症状,影像学检查未发现可视化胆囊。最初的超声(US)报告胆囊未显示,胆囊收缩可能是一种解释。更先进的影像学检查实现了术前诊断,从而避免了术中令人不快的意外情况。随着成像技术的不断进步,有望避免不必要的手术,尽管这是一个难以做出的诊断。

https://cdn.ncbi.nlm.nih.gov/pmc/blobs/677e/9616560/a2cab2759955/cureus-0014-00000030753-i06.jpg
https://cdn.ncbi.nlm.nih.gov/pmc/blobs/677e/9616560/23a6baf1d6dc/cureus-0014-00000030753-i01.jpg
https://cdn.ncbi.nlm.nih.gov/pmc/blobs/677e/9616560/3a02bd660ac5/cureus-0014-00000030753-i02.jpg
https://cdn.ncbi.nlm.nih.gov/pmc/blobs/677e/9616560/748189c0d42e/cureus-0014-00000030753-i03.jpg
https://cdn.ncbi.nlm.nih.gov/pmc/blobs/677e/9616560/c30f884000fc/cureus-0014-00000030753-i04.jpg
https://cdn.ncbi.nlm.nih.gov/pmc/blobs/677e/9616560/7256438eb5bf/cureus-0014-00000030753-i05.jpg
https://cdn.ncbi.nlm.nih.gov/pmc/blobs/677e/9616560/a2cab2759955/cureus-0014-00000030753-i06.jpg
https://cdn.ncbi.nlm.nih.gov/pmc/blobs/677e/9616560/23a6baf1d6dc/cureus-0014-00000030753-i01.jpg
https://cdn.ncbi.nlm.nih.gov/pmc/blobs/677e/9616560/3a02bd660ac5/cureus-0014-00000030753-i02.jpg
https://cdn.ncbi.nlm.nih.gov/pmc/blobs/677e/9616560/748189c0d42e/cureus-0014-00000030753-i03.jpg
https://cdn.ncbi.nlm.nih.gov/pmc/blobs/677e/9616560/c30f884000fc/cureus-0014-00000030753-i04.jpg
https://cdn.ncbi.nlm.nih.gov/pmc/blobs/677e/9616560/7256438eb5bf/cureus-0014-00000030753-i05.jpg
https://cdn.ncbi.nlm.nih.gov/pmc/blobs/677e/9616560/a2cab2759955/cureus-0014-00000030753-i06.jpg

相似文献

1
Preoperative Diagnosis of Gallbladder Agenesis: A Case Report.胆囊缺如的术前诊断:一例报告
Cureus. 2022 Oct 27;14(10):e30753. doi: 10.7759/cureus.30753. eCollection 2022 Oct.
2
Gallbladder Agenesis: A Case Report.胆囊缺如:一例报告
Yale J Biol Med. 2018 Sep 21;91(3):237-241. eCollection 2018 Sep.
3
Gall Bladder Agenesis: A Rare Embryonic Cause of Recurrent Biliary Colic.胆囊缺如:复发性胆绞痛的一种罕见胚胎学病因。
Am J Case Rep. 2017 Apr 2;18:334-338. doi: 10.12659/ajcr.903176.
4
[Isolated gallbladder agenesis mimicking biliary colic: A difficult preoperative diagnosis].[酷似胆绞痛的孤立性胆囊缺如:术前难以诊断]
Arch Pediatr. 2017 Jul;24(7):634-636. doi: 10.1016/j.arcped.2017.04.011. Epub 2017 Jun 2.
5
A case report of a patient with gallbladder agenesis resulting in a common bile duct injury.一例胆囊发育不全导致胆总管损伤患者的病例报告。
Int J Surg Case Rep. 2018;51:99-101. doi: 10.1016/j.ijscr.2018.07.024. Epub 2018 Jul 26.
6
Beware of the shrunken gallbladder - Case report of intraoperatively diagnosed gallbladder agenesis.警惕萎缩性胆囊——术中诊断胆囊缺如的病例报告
Int J Surg Case Rep. 2022 Sep;98:107588. doi: 10.1016/j.ijscr.2022.107588. Epub 2022 Aug 31.
7
Gallbladder agenesis diagnosed during pregnancy- Case report and a literature review.孕期诊断出胆囊缺如——病例报告及文献综述
Int J Surg Case Rep. 2023 Apr;105:108019. doi: 10.1016/j.ijscr.2023.108019. Epub 2023 Mar 22.
8
Gallbladder Agenesis: Must General Surgeons Have It on Their Diagnostic Algorithm?胆囊缺如:普通外科医生的诊断流程中必须包含它吗?
Cureus. 2023 Dec 25;15(12):e51078. doi: 10.7759/cureus.51078. eCollection 2023 Dec.
9
Agenesis of gall bladder: Diagnosed before it is an unpleasant laparoscopic surprise-clinical case report and review.胆囊缺如:在成为令人不快的腹腔镜意外发现之前做出诊断——临床病例报告及文献综述
Int J Surg Case Rep. 2020;76:144-147. doi: 10.1016/j.ijscr.2020.09.140. Epub 2020 Sep 23.
10
Gallbladder Agenesis without Additional Biliary Tracts Abnormality.胆囊缺如且无其他胆道异常
Case Rep Gastrointest Med. 2022 Jun 23;2022:3209658. doi: 10.1155/2022/3209658. eCollection 2022.

引用本文的文献

1
Gallbladder Agenesis and a Large Common Bile Duct Stone: A Case Report and Literature Review.胆囊缺如与胆总管巨大结石:一例报告及文献综述
Cureus. 2025 Aug 11;17(8):e89777. doi: 10.7759/cureus.89777. eCollection 2025 Aug.
2
Gallbladder Agenesis: Must General Surgeons Have It on Their Diagnostic Algorithm?胆囊缺如:普通外科医生的诊断流程中必须包含它吗?
Cureus. 2023 Dec 25;15(12):e51078. doi: 10.7759/cureus.51078. eCollection 2023 Dec.
3
Importance of accurate diagnosis of congenital agenesis of the gallbladder from atypical gallbladder stone presentations: A case report.

本文引用的文献

1
Gallbladder Agenesis Mimicking Chronic Cholecystitis in a Young Woman.一名年轻女性中酷似慢性胆囊炎的胆囊缺如
Cureus. 2021 Sep 23;13(9):e18222. doi: 10.7759/cureus.18222. eCollection 2021 Sep.
2
Agenesis of gall bladder: Diagnosed before it is an unpleasant laparoscopic surprise-clinical case report and review.胆囊缺如:在成为令人不快的腹腔镜意外发现之前做出诊断——临床病例报告及文献综述
Int J Surg Case Rep. 2020;76:144-147. doi: 10.1016/j.ijscr.2020.09.140. Epub 2020 Sep 23.
3
Agenesis of the Gallbladder: Role of Clinical Suspicion and Magnetic Resonance to Avoid Unnecessary Surgery.
从不典型胆囊结石表现准确诊断先天性胆囊缺如的重要性:一例报告
World J Clin Cases. 2023 Oct 6;11(28):6864-6870. doi: 10.12998/wjcc.v11.i28.6864.
胆囊缺如:临床怀疑及磁共振成像在避免不必要手术中的作用
Case Rep Gastroenterol. 2017 Jan 6;10(3):819-825. doi: 10.1159/000453656. eCollection 2016 Sep-Dec.
4
Agenesis of the Gallbladder in Monozygotic Twin Sisters.单卵双胞胎姐妹胆囊缺如
Case Rep Gastrointest Med. 2016;2016:1053138. doi: 10.1155/2016/1053138. Epub 2016 Jan 26.
5
The diagnosis of gallbladder agenesis: two cases report.胆囊缺如的诊断:两例报告
Int J Clin Exp Med. 2015 Feb 15;8(2):3010-6. eCollection 2015.
6
Congenital Absence of Gallbladder: Report of Three Cases.先天性胆囊缺如:三例报告
Ann Surg. 1947 Aug;126(2):229-42. doi: 10.1097/00000658-194708000-00009.
7
Agenesis of the gallbladder: lessons to learn.胆囊缺如:可吸取的经验教训。
JSLS. 2006 Oct-Dec;10(4):517-9.
8
Agenesis of the gallbladder: a dangerously misdiagnosed malformation.胆囊缺如:一种极易误诊的危险畸形。
World J Gastroenterol. 2005 Oct 21;11(39):6228-31. doi: 10.3748/wjg.v11.i39.6228.
9
Agenesis of the gallbladder: difficulties in management.胆囊缺如:管理上的困难。
J Gastroenterol Hepatol. 2005 May;20(5):671-5. doi: 10.1111/j.1440-1746.2005.03740.x.
10
Agenesis of the gallbladder and cystic duct.胆囊和胆囊管缺如。
Sao Paulo Med J. 2002 Nov 1;120(6):192-4. doi: 10.1590/s1516-31802002000600008. Epub 2003 Jan 22.