Suppr超能文献

内踝骨折会合并三角韧带损伤吗?:一例罕见病例报告。

Could medial malleolus fracture be combined with deltoid ligament injury?: A rare case report.

作者信息

Li Mingyan, Liu Zihao, Dong Guixian

机构信息

Department of Orthopaedic Trauma, Harrison International Peace Hospital, Hengshui, Hebei, China.

出版信息

Medicine (Baltimore). 2024 Jan 26;103(4):e37011. doi: 10.1097/MD.0000000000037011.

Abstract

RATIONALE

Medial malleolus injuries mainly comprise of fractures and deltoid ligament ruptures. Medial malleolus fractures, as a kind of common ankle fractures, could occur separately or be accompanied by lateral and posterior malleolus fractures. It is generally agreed that medial malleolus fracture and deltoid ligament rupture could not occur simultaneously.

PATIENT CONCERNS

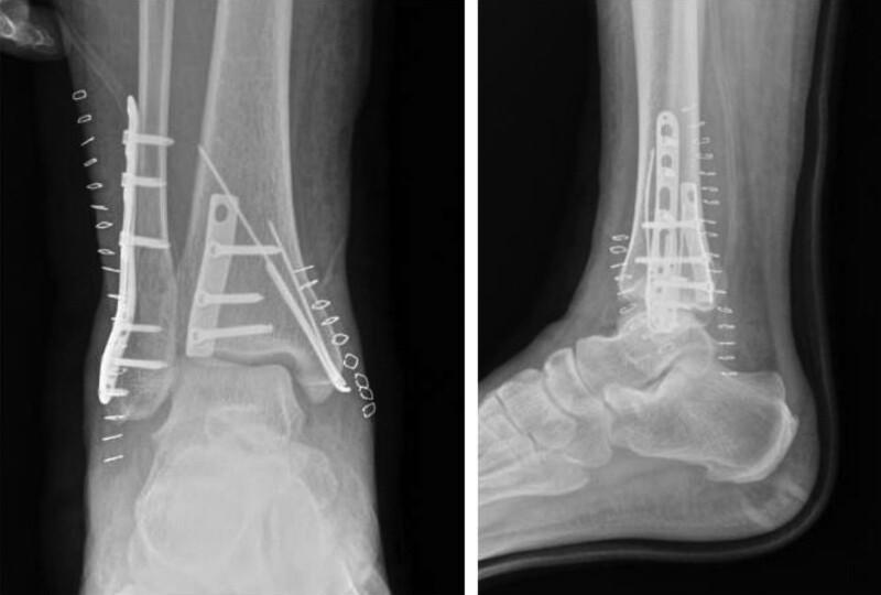
In our study, we report a case of 36 year-old man diagnosed with trimalleolar fracture accompanying ankle dislocation initially. The patient was admitted to our hospital due to traffic accident.

DIAGNOSIS

The patient was diagnosed with trimalleolar fracture accompanying ankle dislocation initially. We missed the diagnosis of accompanied deltoid ligament due to the arthralgia of medial ankle and the widened medial articular space in X-ray after operation.

INTERVENTION

As we missed the diagnosis of accompanied deltoid ligament, we only selected open reduction and internal fixation for trimalleolar fracture at first. After we realized the existence of deltoid ligament rupture, the patient refuse further diagnosis and treatment in our hospital.

OUTCOMES

During the rehabilitation exercise, the patient had medial arthralgia in his right ankle. He complained it and refuse further diagnosis and treatment in our hospital.

LESSONS

The newfound injury pattern, medial malleolus fracture accompanying deltoid ligament rupture, has not been reported in previous studies. The injury pattern needs further researches to explore the mechanism and it should be taken seriously in clinical practice.

摘要

理论依据

内踝损伤主要包括骨折和三角韧带断裂。内踝骨折作为一种常见的踝关节骨折,可单独发生,也可伴有外踝和后踝骨折。一般认为,内踝骨折和三角韧带断裂不会同时发生。

患者情况

在我们的研究中,我们报告了一例36岁男性患者,最初被诊断为三踝骨折伴踝关节脱位。该患者因交通事故入院。

诊断

患者最初被诊断为三踝骨折伴踝关节脱位。由于术后踝关节内侧疼痛以及X线片显示内侧关节间隙增宽,我们漏诊了合并的三角韧带损伤。

干预措施

由于我们漏诊了合并的三角韧带损伤,起初仅对三踝骨折进行了切开复位内固定。在意识到三角韧带断裂的存在后,患者拒绝在我院进一步诊治。

结果

在康复锻炼过程中,患者右踝关节内侧疼痛。他提出了抱怨并拒绝在我院进一步诊治。

经验教训

新发现的损伤模式,即内踝骨折伴三角韧带断裂,此前的研究中尚未有报道。这种损伤模式需要进一步研究以探索其机制,在临床实践中应予以重视。

https://cdn.ncbi.nlm.nih.gov/pmc/blobs/5475/10817007/00b05ebbc84e/medi-103-e37011-g001.jpg

文献AI研究员

20分钟写一篇综述,助力文献阅读效率提升50倍。

立即体验

用中文搜PubMed

大模型驱动的PubMed中文搜索引擎

马上搜索

文档翻译

学术文献翻译模型,支持多种主流文档格式。

立即体验