Suppr超能文献

新型冠状病毒肺炎并发气胸继发持续性漏气:1例病例报告及文献复习

Persistent air leak secondary to pneumothorax in COVID-19: A case report and review of literature.

作者信息

Atwi Hanine, von Gizycki Christian, Ahmad Syed, DeCotiis Christopher

机构信息

Department of Internal Medicine, Morristown Medical Center, USA.

Department of Pulmonary and Critical Care Medicine, Morristown Medical Center, USA.

出版信息

Respir Med Case Rep. 2024 Jan 19;47:101987. doi: 10.1016/j.rmcr.2024.101987. eCollection 2024.

Abstract

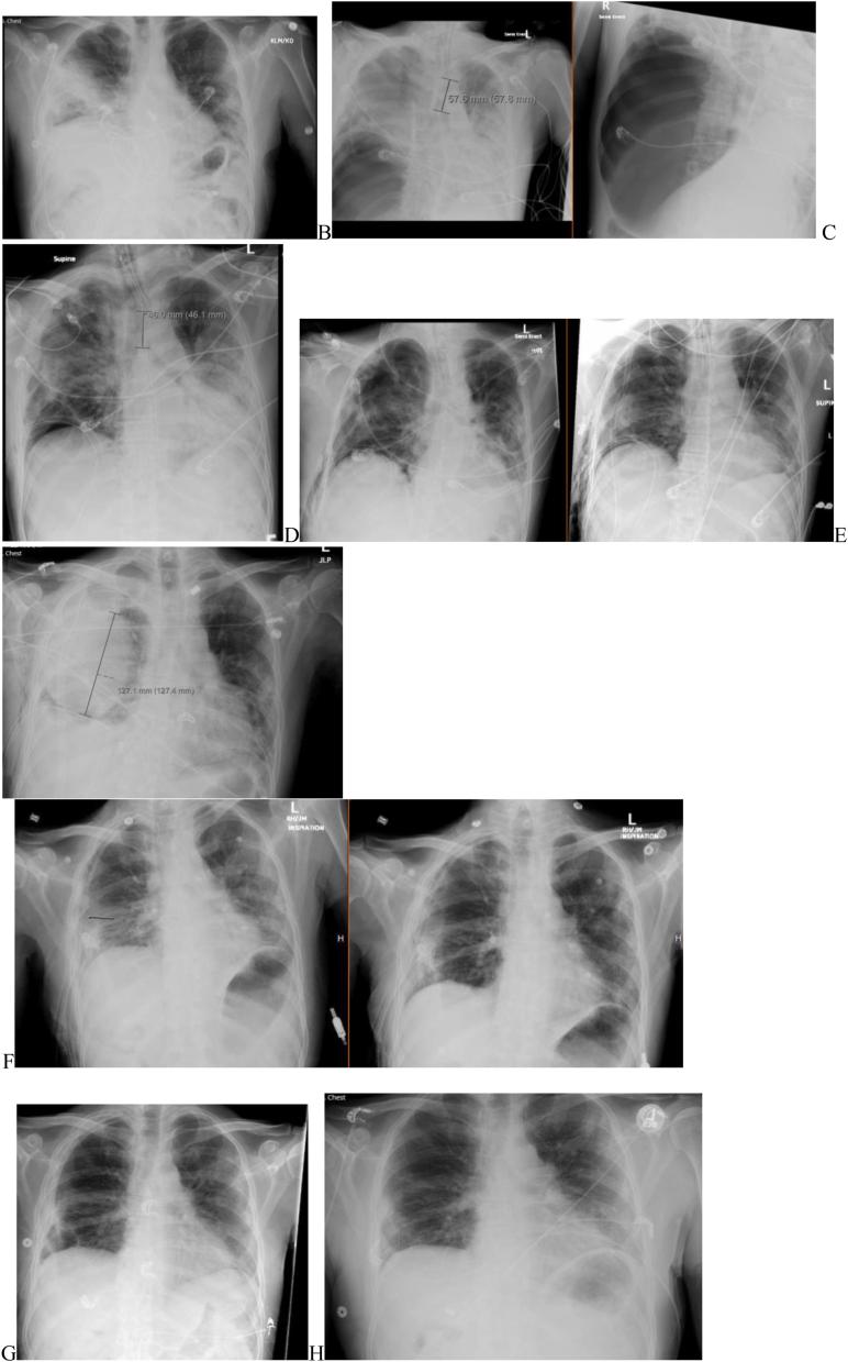
An air leak is a pathologic communication between an area of the endobronchial tree and the pleural space, causing continued air flow. The communication can originate from a distal portion of the airway, causing an alveolar-pleural fistula, or from a more proximal airway, causing a bronchopleural fistula. When the air leak persists beyond 5-7 days, it is classified as persistent air leak (PAL). PAL has serious implications on patient management and outcomes, such as prolonged chest tube maintenance, high rate of infections, ventilation-perfusion mismatch, and prolonged hospital stay with higher morbidity and mortality. There are currently no guidelines for the management of PAL in COVID-19 patients. We presented a case of PAL in a patient with COVID-19-associated pneumothorax successfully treated with a one-way endobronchial valve. We also reviewed current published cases of PAL secondary to COVID-19-associated pneumothorax and the various methods they were treated. The first line treatment was insertion of one or more chest tubes, but the persistence of an air leak then led to other treatment modalities. Initial early surgical evaluation followed by pleurodesis is recommended for the management of PAL. The most common surgical approaches include VATS or open thoracotomy with mechanical or chemical pleurodesis or pleurectomy. However, surgery is not always a feasible option for critically ill patients. In such cases, there are multiple less invasive options for the management of PAL, including implantable devices, such as Watanabe spigots and stents, and chemical agents, such as thermal treatments, hemostatic substances, and tissue adhesives.

摘要

空气泄漏是支气管树区域与胸膜腔之间的病理性交通,导致持续的气流。这种交通可起源于气道的远端部分,导致肺泡-胸膜瘘,或起源于更近端的气道,导致支气管胸膜瘘。当空气泄漏持续超过5至7天时,被归类为持续性空气泄漏(PAL)。PAL对患者的管理和预后有严重影响,如胸腔闭式引流管留置时间延长、感染率高、通气-灌注不匹配以及住院时间延长,发病率和死亡率更高。目前尚无针对COVID-19患者PAL管理的指南。我们报告了一例COVID-19相关性气胸患者发生PAL并成功接受单向支气管内瓣膜治疗的病例。我们还回顾了目前已发表的继发于COVID-19相关性气胸的PAL病例及其接受的各种治疗方法。一线治疗是插入一根或多根胸腔闭式引流管,但空气泄漏持续存在会导致采用其他治疗方式。对于PAL的管理,建议早期进行手术评估,随后进行胸膜固定术。最常见的手术方法包括电视辅助胸腔镜手术(VATS)或开胸手术,并进行机械或化学胸膜固定术或胸膜切除术。然而,对于重症患者,手术并不总是可行的选择。在这种情况下,有多种侵入性较小的PAL管理选择,包括可植入装置,如渡边套管和支架,以及化学制剂,如热治疗、止血物质和组织粘合剂。

https://cdn.ncbi.nlm.nih.gov/pmc/blobs/4467/10811455/b73204f5ddfd/gr1.jpg

文献AI研究员

20分钟写一篇综述,助力文献阅读效率提升50倍。

立即体验

用中文搜PubMed

大模型驱动的PubMed中文搜索引擎

马上搜索

文档翻译

学术文献翻译模型,支持多种主流文档格式。

立即体验