Yada Masahiro, Matsuda Ko, Kitano Masahiko, Iwai Yoshiyasu, Tominaga Shinsuke
Neurosurgery, Tominaga Hospital, Osaka, JPN.
Cureus. 2023 Dec 27;15(12):e51193. doi: 10.7759/cureus.51193. eCollection 2023 Dec.
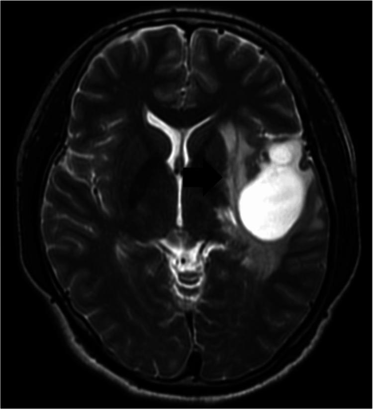
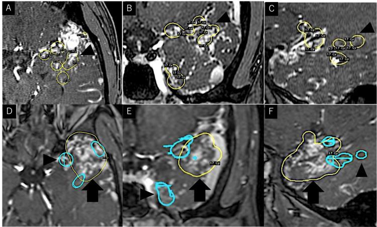
We report the case of a 29-year-old man who presented with a sudden headache. Computed tomography showed a small intraventricular hemorrhage in the left lateral ventricle. Cerebral angiograms suggested rupture of a coexisting feeder aneurysm in the left temporal cerebral arteriovenous malformation (AVM). The left proximal middle cerebral artery, a major feeding artery, was occluded near the AVM, with development of abnormal blood supply, such as in moyamoya-like vessels to the nidus. After endovascular embolization of the coexisting feeder aneurysm and feeding arteries, the patient underwent volume-staged Gamma Knife radiosurgery (GKS). Follow-up angiograms performed 4.5 years after the last GKS confirmed complete disappearance of the AVM. Around 4.8 years after GKS, the patient required surgical intervention to develop delayed cyst formation; however, the postoperative course was uneventful.
我们报告了一例29岁男性患者,该患者突发头痛。计算机断层扫描显示左侧侧脑室内有少量出血。脑血管造影显示左侧颞叶脑动静脉畸形(AVM)中并存的供血动脉瘤破裂。主要供血动脉左大脑中动脉近端在AVM附近闭塞,出现了异常供血,如向畸形瘤巢的烟雾病样血管。在对并存的供血动脉瘤和供血动脉进行血管内栓塞后,患者接受了分次立体定向伽玛刀放射外科治疗(GKS)。最后一次GKS治疗4.5年后进行的随访血管造影证实AVM完全消失。GKS治疗约4.8年后,患者因出现延迟性囊肿形成而需要手术干预;然而,术后过程顺利。