Suppr超能文献

胃和心脏炎性肌纤维母细胞瘤:极其罕见的病例。

Gastric and cardiac inflammatory myofibroblastic tumor: an extremely rare case.

机构信息

Department of Ultrasound Medicine, The First Affiliated Hospital, Hengyang Medical School, University of South China, Hengyang, 421001, Hunan, People's Republic of China.

Department of General Surgery, The First Affiliated Hospital, Hengyang Medical School, University of South China, Hengyang, 421001, Hunan, People's Republic of China.

出版信息

J Cardiothorac Surg. 2024 Jan 29;19(1):31. doi: 10.1186/s13019-024-02481-9.

Abstract

BACKGROUND

Inflammatory myofibroblastic tumor (IMT) is a unique, rarely metastatic tumor composed of myofibroblasts and fibrous spindle cells with inflammatory cell infiltration that can affect any organ in the human body. By reviewing the relevant literature on PubMed, we found that this is the first case report of IMT with both gastric and cardiac involvement.

CASE PRESENTATION

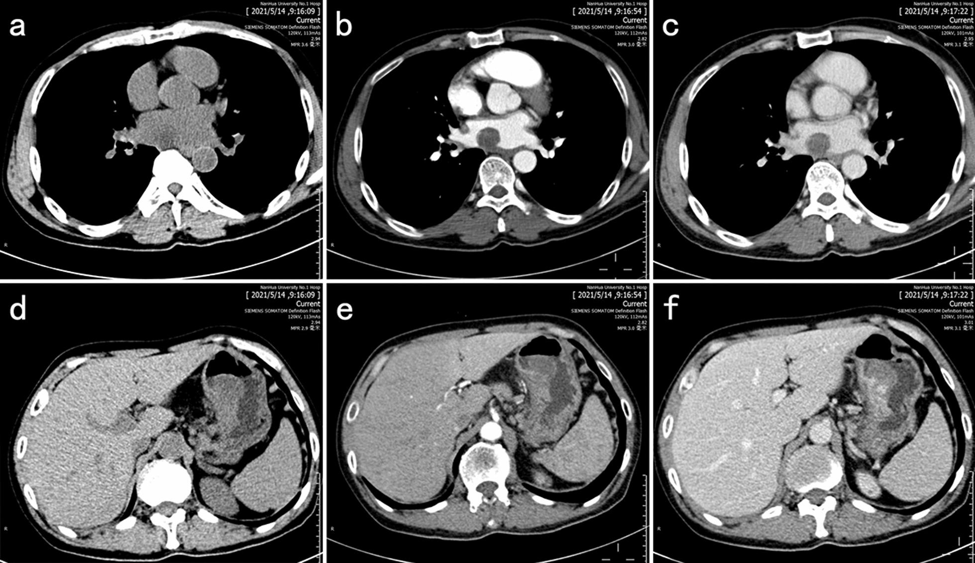
A 57-year-old male patient was admitted to the hospital with complaints of malaise, poor appetite, and epigastric pain with black stools. We found a mass in the patient's stomach and left atrium by contrast-enhanced computed tomography, 18 F-fluorodeoxyglucose positron emission tomography/computed tomography, and other tests. The patient underwent laparoscopic Billroth II subtotal gastrectomy and Braun's gastrointestinal reconstruction under general anesthesia. On the 46th day following stomach surgery, the cardiac tumor was removed under general anesthesia. The patient has treated with doxorubicin 70 mg of D1 chemotherapy two months after cardiac surgery. Postoperative pathological immunohistochemistry of the mass confirmed the diagnosis of an IMT. His review three months after the cardiac surgery suggested the progression of the left atrial mass, but he declined further treatment and finally died one month after the review.

CONCLUSIONS

As a unique class of tumors that rarely metastasize, IMTs have an unknown etiology and pathogenesis, and distant metastasis is primarily observed in patients with negative activin receptor-like kinase (ALK) expression. The preferred treatment for IMT is complete surgical resection, and the effectiveness of adjuvant therapy for patients with distant metastases is still being determined. The clinical presentation of IMT lacks specificity and is often related to the location of tumor growth, which poses a diagnostic challenge. Pathological immunohistochemistry is the only way to confirm the diagnosis at present. Our case report reminds clinicians that a category of ALK-negative IMT with a tendency toward distant metastasis should not be ignored.

摘要

背景

炎性肌纤维母细胞瘤(IMT)是一种独特的、很少发生转移的肿瘤,由肌纤维母细胞和纤维性梭形细胞组成,伴有炎症细胞浸润,可影响人体任何器官。通过在 PubMed 上查阅相关文献,我们发现这是首例胃和心脏同时受累的 IMT 病例报告。

病例介绍

一名 57 岁男性患者因乏力、食欲不振和上腹痛伴黑便入院。我们通过增强 CT、18F-氟脱氧葡萄糖正电子发射断层扫描/CT 等检查发现患者胃和左心房有肿块。患者在全身麻醉下行腹腔镜 Billroth II 式胃大部切除术和 Braun 胃肠重建术。在胃手术后第 46 天,患者在全身麻醉下行心脏肿瘤切除术。心脏手术后两个月,患者接受多柔比星 70mg D1 化疗。肿块的术后病理免疫组化结果确诊为 IMT。心脏手术后 3 个月复查提示左心房肿块进展,但患者拒绝进一步治疗,最终在复查后 1 个月死亡。

结论

作为一类罕见转移的独特肿瘤,IMT 的病因和发病机制尚不清楚,且远处转移主要见于 ALK 表达阴性的患者。IMT 的首选治疗方法是完全手术切除,对于远处转移患者的辅助治疗效果仍在确定中。IMT 的临床表现缺乏特异性,常与肿瘤生长部位有关,这给诊断带来了挑战。病理免疫组化是目前确诊的唯一方法。我们的病例报告提醒临床医生注意一种具有远处转移倾向的 ALK 阴性 IMT。

https://cdn.ncbi.nlm.nih.gov/pmc/blobs/e6e5/10823716/e44270578140/13019_2024_2481_Fig1_HTML.jpg

文献检索

告别复杂PubMed语法,用中文像聊天一样搜索,搜遍4000万医学文献。AI智能推荐,让科研检索更轻松。

立即免费搜索

文件翻译

保留排版,准确专业,支持PDF/Word/PPT等文件格式,支持 12+语言互译。

免费翻译文档

深度研究

AI帮你快速写综述,25分钟生成高质量综述,智能提取关键信息,辅助科研写作。

立即免费体验