Suppr超能文献

胃炎性肌纤维母细胞瘤的临床病理特征:5例报告

Clinicopathological features of gastric inflammatory myofibroblastic tumor: Report of five cases.

作者信息

Wang Yangkun, Shen Lan, Yun Tian, Zhu Chaoya, Wang Ping, Wang Sunan

机构信息

Department of Pathology, Shenzhen Hospital of Southern Medical University, Shenzhen, Guangdong 518110, P.R. China.

Department of Pathology, The 989 Hospital of The Joint Logistic Support Force of The Chinese People's Liberation Army, Luoyang, Henan 471031, P.R. China.

出版信息

Exp Ther Med. 2021 Sep;22(3):948. doi: 10.3892/etm.2021.10380. Epub 2021 Jul 1.

Abstract

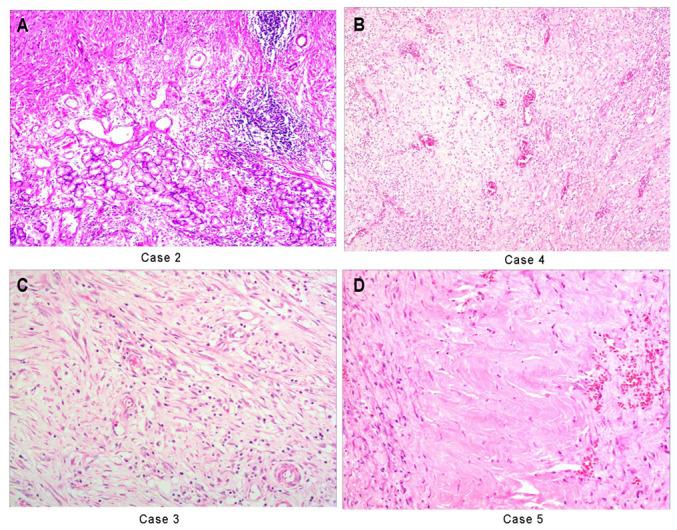
The present study reported on the histomorphological observations and immunohistochemical features of five cases of gastric inflammatory myofibroblastic tumor (IMT). Loosely arranged fat fusiform myofibroblast-fibroblasts and diffusely or patchily distributed inflammatory cells, which formed a diverse morphological structure, were observed. In the mucous vascular structure, mucoid or collagenous areas, fibromatosis- or scar-like lesions were generally <10 mm in size and both had diffuse or patchy plasma cells, lymphocytes and other inflammatory-cell infiltration backgrounds. The immunophenotype was vimentin- and smooth muscle actin-positive with pan-cytokeratin, desmin and calponin expression and CD34-positive foci; furthermore, three cases were positive for anaplastic lymphoma kinase expression. Gastric IMT is rare, with unique histopathological changes and corrosion-like invasion of the smooth muscle of the stomach wall, blood vessels, nerves and adipose tissue. It should be differentiated from a variety of spindle cell tumor types and tumor-like lesions.

摘要

本研究报告了5例胃炎性肌纤维母细胞瘤(IMT)的组织形态学观察结果及免疫组化特征。观察到松散排列的脂肪梭形肌成纤维细胞-纤维母细胞以及弥漫性或斑片状分布的炎性细胞,它们形成了多样的形态结构。在黏液血管结构、黏液样或胶原性区域,纤维瘤病样或瘢痕样病变通常大小<10 mm,两者均有弥漫性或斑片状浆细胞、淋巴细胞及其他炎性细胞浸润背景。免疫表型为波形蛋白和平滑肌肌动蛋白阳性,伴有泛细胞角蛋白、结蛋白和钙调蛋白表达以及CD34阳性灶;此外,3例间变性淋巴瘤激酶表达呈阳性。胃IMT罕见,具有独特的组织病理学改变以及对胃壁平滑肌、血管、神经和脂肪组织的侵蚀样侵犯。它应与多种梭形细胞肿瘤类型及肿瘤样病变相鉴别。

https://cdn.ncbi.nlm.nih.gov/pmc/blobs/f822/8290396/f041a0dd62e4/etm-22-03-10380-g00.jpg

文献AI研究员

20分钟写一篇综述,助力文献阅读效率提升50倍。

立即体验

用中文搜PubMed

大模型驱动的PubMed中文搜索引擎

马上搜索

文档翻译

学术文献翻译模型,支持多种主流文档格式。

立即体验