Suppr超能文献

一名性活动不活跃的青春期女性术中诊断为慢性孤立性输卵管扭转

Chronic Isolated Fallopian Tube Torsion in a Sexually Inactive Adolescent Female Diagnosed Peroperatively.

作者信息

Hirahara Yuhya, Nagai Koichi, Mukaida Kazunori

机构信息

Department of Obstetrics and Gynecology, Yokohama City University Graduate School of Medicine, Yokohama, Japan.

Department of Obstetrics and Gynecology, National Hospital Organization Yokohama Medical Center, Yokohama, Japan.

出版信息

Case Rep Surg. 2024 Jan 22;2024:2581337. doi: 10.1155/2024/2581337. eCollection 2024.

Abstract

INTRODUCTION

Isolated fallopian tube torsion (IFTT) has rarely been confirmed in sexually inactive adolescents, and preoperative diagnosis of IFTT is difficult because of the absence of specific symptoms. Therefore, pediatric patients with IFTT tend to be misdiagnosed before the surgery.

CASE

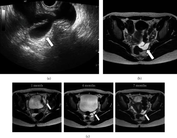
A 15-year-old female patient with no history of abdominal surgery or sexual intercourse presented with acute left lower abdominal pain and purpura. MRI revealed hydrosalpinx in the left adnexal region. Her abdominal pain had completely resolved at our examination; she was followed up as an outpatient. One month after the initial presentation, she experienced a large volume of watery discharge. Magnetic resonance imaging, which was performed every three months, showed a gradual decrease in the size of the hydrosalpinx; however, it persisted in the left adnexal region. She was counseled to receive laparoscopy to treat the hydrosalpinx, which was the most likely cause of the watery discharge. IFTT was detected during the laparoscopy, and left salpingectomy was performed for pathological evaluation of the persistent hydrosalpinx. Following laparoscopy, the patient's watery discharge was resolved. Pathological findings confirmed no signs of malignancy.

CONCLUSION

Our current report highlighted watery discharge as an indicative symptom of IFTT. It is unclear whether IFTT induced the hydrosalpinx or vice versa. We presumed that the patient's hydrosalpinx occurred due to IFTT, because the patient complained watery discharge one month after the initial appearance, and noncongenital hydrosalpinx in adolescents, especially without a history of sexual intercourse, is a rare event. Clinicians should consider IFTT in patients presenting with unremitting watery discharge and hydrosalpinx, because IFTT may persist even after the pain disappears.

摘要

引言

孤立性输卵管扭转(IFTT)在性未活跃的青少年中很少得到确诊,且由于缺乏特异性症状,IFTT的术前诊断较为困难。因此,IFTT的儿科患者在手术前往往会被误诊。

病例

一名15岁女性患者,无腹部手术史及性交史,出现急性左下腹疼痛和紫癜。磁共振成像(MRI)显示左侧附件区输卵管积水。在我们检查时,她的腹痛已完全缓解;遂作为门诊患者进行随访。初次就诊后一个月,她出现大量水样分泌物。每三个月进行一次的磁共振成像显示输卵管积水的大小逐渐减小;然而,其仍存在于左侧附件区。建议她接受腹腔镜检查以治疗输卵管积水,这很可能是水样分泌物的病因。在腹腔镜检查期间发现了IFTT,并进行了左侧输卵管切除术以对持续存在的输卵管积水进行病理评估。腹腔镜检查后,患者的水样分泌物消失。病理结果证实无恶性迹象。

结论

我们目前的报告强调水样分泌物是IFTT的一个指示性症状。尚不清楚是IFTT导致了输卵管积水,还是反之。我们推测该患者的输卵管积水是由IFTT引起的,因为患者在初次出现症状一个月后出现水样分泌物,且青少年非先天性输卵管积水,尤其是无性交史者,是一种罕见情况。临床医生在遇到持续水样分泌物和输卵管积水的患者时应考虑IFTT,因为即使疼痛消失,IFTT仍可能持续存在。

https://cdn.ncbi.nlm.nih.gov/pmc/blobs/e944/10824574/d9966c9e28ce/CRIS2024-2581337.001.jpg

文献检索

告别复杂PubMed语法,用中文像聊天一样搜索,搜遍4000万医学文献。AI智能推荐,让科研检索更轻松。

立即免费搜索

文件翻译

保留排版,准确专业,支持PDF/Word/PPT等文件格式,支持 12+语言互译。

免费翻译文档

深度研究

AI帮你快速写综述,25分钟生成高质量综述,智能提取关键信息,辅助科研写作。

立即免费体验