Suppr超能文献

经皮透视引导下剖宫产术后断裂盆腔引流管取出:1 例报告。

Percutaneous Fluoroscopy-guided Retrieval of a Fractured Pelvic Drain after Caesarean Section: A Case Report.

机构信息

Department of Obstetrics and Gynaecology, University Hospitals Coventry and Warwickshire NHS Trust, Coventry, United Kingdom.

Department of Interventional Radiology, University Hospitals Coventry and Warwickshire NHS Trust, Coventry, United Kingdom.

出版信息

JNMA J Nepal Med Assoc. 2023 Oct 1;61(266):814-818. doi: 10.31729/jnma.8310.

Abstract

UNLABELLED

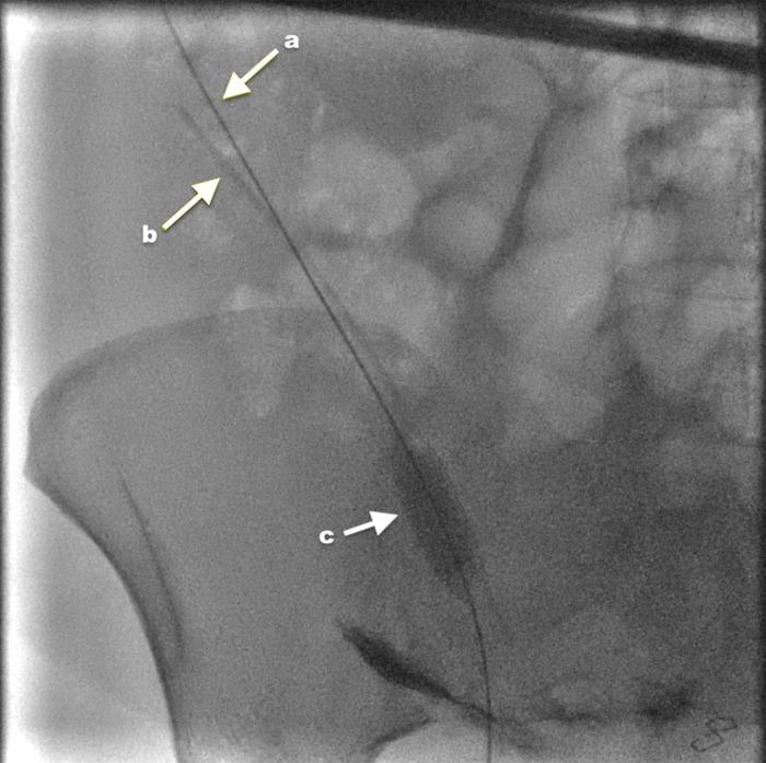
Iatrogenic retention of surgical drains following drain entrapment and breakage is a never event and a preventable complication. The traditional approach for removing a fractured drain from the intra-peritoneal cavity involves exploratory laparotomy. However, over the last few decades, minimal access surgery has been a more popular retrieval method for retained surgical items from peritoneal and extraperitoneal cavities. We report a case of a 32-year-old woman with a fractured pelvic drain post-caesarean section. Postoperatively, the patient developed the signs of infection and features of bowel obstruction. The mechanical obstruction was ruled out by computed tomography scan. Multiple attempts were made to pull the pelvic drain out but the tube snapped, leaving about a quarter of its length. The drain remnant was retrieved using a non-invasive, inexpensive interventional radiology technique. We could not find any such report in the literature describing this innovative approach for retrieving a fractured pelvic drain.

KEYWORDS

case report; drain fragment retrieval; fractured pelvic drain; pelvic drain remnant.

摘要

标题:经皮介入技术成功取出断裂盆腔引流管残段

摘要:医源性引流管留置是一种不可接受的事件,也是一种可以预防的并发症。在传统方法中,通常采用剖腹探查术来移除腹腔内断裂的引流管。然而,在过去几十年中,微创技术已成为从腹膜和腹膜后腔中取出遗留手术物品的一种更受欢迎的方法。我们报告了 1 例剖宫产后盆腔引流管断裂的病例。术后,患者出现感染迹象和肠梗阻表现。计算机断层扫描排除了机械性梗阻。多次尝试将盆腔引流管拔出,但引流管断裂,留下约四分之一的长度。采用一种非侵入性、廉价的介入放射学技术取出了引流管残段。我们在文献中没有找到任何关于这种创新性方法来取出断裂的盆腔引流管的报告。

关键词:病例报告;引流管残段取出;盆腔引流管断裂;盆腔引流管残段

https://cdn.ncbi.nlm.nih.gov/pmc/blobs/5432/10579761/1bda8ae2ec5b/JNMA-61-266-814-g1.jpg

文献检索

告别复杂PubMed语法,用中文像聊天一样搜索,搜遍4000万医学文献。AI智能推荐,让科研检索更轻松。

立即免费搜索

文件翻译

保留排版,准确专业,支持PDF/Word/PPT等文件格式,支持 12+语言互译。

免费翻译文档

深度研究

AI帮你快速写综述,25分钟生成高质量综述,智能提取关键信息,辅助科研写作。

立即免费体验