Suppr超能文献

背靠背手术——紧急双心肌破裂修复。

Up against the wall - emergency double myocardial rupture repair.

机构信息

Cambridge University Hospitals NHS Foundation Trust, Cambridge, UK.

Birmingham Women's and Children NHS Foundation Trust, Birmingham, UK.

出版信息

J Cardiothorac Surg. 2024 Jan 31;19(1):38. doi: 10.1186/s13019-024-02531-2.

Abstract

BACKGROUND

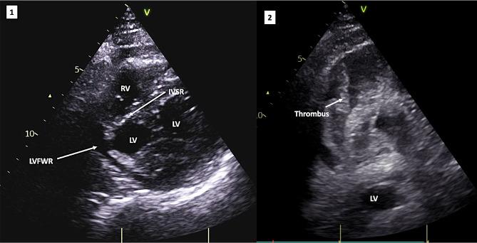
Left ventricular free wall rupture (LVFWR) and interventricular septal rupture (VSR) are potentially catastrophic mechanical complications after acute myocardial infarction (AMI). When they occur together, "double myocardial rupture" (DMR), survival is unlikely. DMR is seen in only 0.3% of all AMIs. With or without surgical intervention, the odds are against the patient.

CASE PRESENTATION

A 57-year-old male self-referred to the emergency department of a remote hospital 5 days after first experiencing chest pain. Investigations in ED confirmed an inferior ST-segment elevation myocardial infarction (STEMI) complicated by DMR. Coronary angiography revealed a mid-course total occlusion of the right coronary artery (RCA). He was rapidly transferred to our regional cardiac surgical unit, arriving straight into the operating theatre, in cardiogenic shock. He was briefly conscious, before arresting prior to intubation and being massaged onto bypass. Not only did he survive the all-night operation, requiring a mitral valve replacement in the process, but he survived multiple postoperative complications to be eventually transferred on postoperative day 66, neurologically intact, to a peripheral unit to complete his rehabilitation. He was subsequently discharged home 88 days after the operation and was able to ambulate with a walking frame into his first postoperative follow-up clinic appointment.

CONCLUSIONS

Our patient, against all odds, has survived DMR and multiple postoperative complications. We present the details of his case and the literature surrounding the condition. The patient's mental fortitude and his supportive family played a significant role, along with excellent multidisciplinary team work, in assuring his survival.

摘要

背景

左心室游离壁破裂(LVFWR)和室间隔破裂(VSR)是急性心肌梗死(AMI)后潜在的灾难性机械并发症。当它们同时发生时,称为“双心肌破裂”(DMR),患者几乎不可能存活。DMR 仅见于所有 AMI 的 0.3%。无论是否进行手术干预,患者的存活几率都很小。

病例介绍

一名 57 岁男性,胸痛发作 5 天后自行前往偏远医院的急诊科就诊。ED 检查证实为下壁 ST 段抬高型心肌梗死(STEMI),并发 DMR。冠状动脉造影显示右冠状动脉(RCA)中段完全闭塞。他迅速被转至我们所在的区域心脏外科中心,在心源性休克状态下直接送入手术室。他在插管前短暂有意识,随后心跳骤停并开始心肺复苏。他不仅在持续了一整夜的手术中存活下来,在此过程中还需要进行二尖瓣置换,而且还成功度过了多次术后并发症,最终于术后第 66 天被转至外周病房继续康复治疗。他在术后 88 天出院,能够在助行器的帮助下行走,并在术后第一次随访门诊预约时进行康复治疗。

结论

我们的患者在各种不利因素的情况下成功存活下来,不仅患有 DMR,还经历了多次术后并发症。我们详细介绍了他的病例以及围绕这种情况的文献。患者的精神韧性和他的支持性家庭,以及出色的多学科团队合作,都在确保他的生存方面发挥了重要作用。

https://cdn.ncbi.nlm.nih.gov/pmc/blobs/4488/10829376/a39120629858/13019_2024_2531_Fig1_HTML.jpg

文献AI研究员

20分钟写一篇综述,助力文献阅读效率提升50倍。

立即体验

用中文搜PubMed

大模型驱动的PubMed中文搜索引擎

马上搜索

文档翻译

学术文献翻译模型,支持多种主流文档格式。

立即体验