Zhou Yu, Yang Jiabin, Huang Leyi, Liu Chao, Yu Min, Chen Rufu, Zhou Quanbo
Department of Pancreatic Surgery, Department of General Surgery, Guangdong Provincial People's Hospital (Guangdong Academy of Medical Sciences), Southern Medical University, Guangzhou, Guangdong Province, China.
School of Medicine, South China University of Technology, Guangzhou, Guangdong Province, China.
iScience. 2024 Jan 8;27(2):108822. doi: 10.1016/j.isci.2024.108822. eCollection 2024 Feb 16.
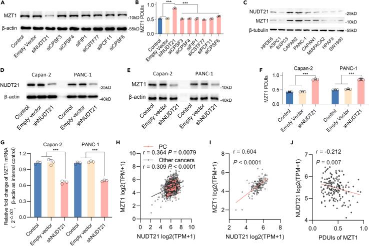
Alternative polyadenylation (APA) is an important post-transcriptional regulatory mechanism and is involved in many diseases, but its function and mechanism in regulating pancreatic cancer (PC) pathogenesis remain unclear. In this study, we found that the 3' UTR shortening of MZT1 was the most prominent APA event in PC liver metastases. The short-3'UTR isoform exerted a stronger effect in promoting cell proliferation and migration both and . NUDT21, a core cleavage factor involved in APA, promoted the usage of proximal polyadenylation sites (PASs) on MZT1 mRNA by binding to the UGUA element located upstream of the proximal PAS. High percentage of distal polyA site usage index of MZT1 was significantly associated with a better prognosis. These findings demonstrate a crucial mechanism that NUDT21-mediated APA of MZT1 could promote the progression of PC. Our findings provided a better understanding of the connection between PC progression and APA machinery.
可变聚腺苷酸化(APA)是一种重要的转录后调控机制,与多种疾病相关,但其在调节胰腺癌(PC)发病机制中的功能和机制仍不清楚。在本研究中,我们发现MZT1的3'UTR缩短是PC肝转移中最显著的APA事件。短3'UTR异构体在体内外均对促进细胞增殖和迁移有更强的作用。NUDT21是一种参与APA的核心切割因子,通过与近端聚腺苷酸化位点(PAS)上游的UGUA元件结合,促进MZT1 mRNA上近端PAS的使用。MZT1的远端多聚腺苷酸化位点使用指数高与较好的预后显著相关。这些发现表明了一种关键机制,即NUDT21介导的MZT1的APA可促进PC的进展。我们的发现有助于更好地理解PC进展与APA机制之间的联系。