Suppr超能文献

胸段血管腔内主动脉修复术后显著延迟性脊髓缺血的识别:一例报告并文献复习

Recognition of Significantly Delayed Spinal Cord Ischemia Following Thoracic Endovascular Aortic Repair: A Case Report and Review of the Literature.

作者信息

Kelly Hannah, Herman Danielle, Loo Kiana, Narangoli Adeeb, Watson Emily, Berlant Corey, Huerta Mina, Labak Collin M, Zhou Xiaofei

机构信息

Neurology, Case Western Reserve University School of Medicine, Cleveland, USA.

Neurology, University Hospitals Cleveland Medical Center, Cleveland, USA.

出版信息

Cureus. 2024 Jan 2;16(1):e51522. doi: 10.7759/cureus.51522. eCollection 2024 Jan.

Abstract

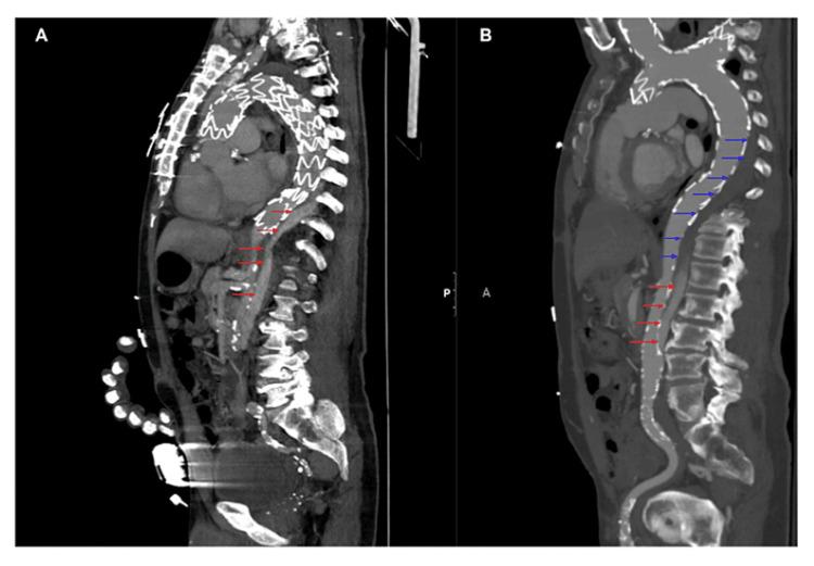
Spinal cord ischemia (SCI) is an uncommon but serious complication of thoracic endovascular aortic repair (TEVAR). SCI after TEVAR is thought to result from decreased segmental blood supply to an important network of collateral blood flow in the spinal cord. Little is known about the prevalence and optimal treatment of SCI that occurs beyond the periprocedural period. We report a case of delayed SCI in a 67-year-old patient who underwent TEVAR. The patient presented almost two years after TEVAR with acute paraplegia preceded by pre-syncope. The delayed SCI was likely triggered by pre-syncope, a thrombosed endoleak shown on imaging, and the patient's vascular risk factors. Treatments included cerebrospinal fluid (CSF) drainage, mean arterial pressure (MAP) augmentation, and a naloxone infusion, which resulted in moderate recovery in lower extremity motor function. This case highlights the tenuous nature of spinal cord perfusion after TEVAR and that prompt recognition and early treatment of SCI are critical in preventing the progression from ischemia to infarction.

摘要

脊髓缺血(SCI)是胸段血管腔内主动脉修复术(TEVAR)一种罕见但严重的并发症。TEVAR术后的SCI被认为是由于脊髓重要侧支血流网络的节段性供血减少所致。对于围手术期之外发生的SCI的患病率和最佳治疗方法知之甚少。我们报告了一例67岁接受TEVAR手术患者发生迟发性SCI的病例。该患者在TEVAR术后近两年出现急性截瘫,之前有晕厥前症状。迟发性SCI可能是由晕厥前症状、影像学显示的血栓性内漏以及患者的血管危险因素引发的。治疗措施包括脑脊液(CSF)引流、平均动脉压(MAP)升高以及纳洛酮输注,这些措施使下肢运动功能得到了中度恢复。该病例突出了TEVAR术后脊髓灌注的脆弱性,以及对SCI的及时识别和早期治疗对于防止从缺血发展为梗死至关重要。

https://cdn.ncbi.nlm.nih.gov/pmc/blobs/434d/10831204/23396ce15c9e/cureus-0016-00000051522-i01.jpg

文献AI研究员

20分钟写一篇综述,助力文献阅读效率提升50倍。

立即体验

用中文搜PubMed

大模型驱动的PubMed中文搜索引擎

马上搜索

文档翻译

学术文献翻译模型,支持多种主流文档格式。

立即体验