Abe Tetsuro, Kuwahara Tomoki, Suenaga Shoichi, Sakurai Maria, Takatori Sho, Iwatsubo Takeshi
Department of Neuropathology, Graduate School of Medicine, The University of Tokyo, 7-3-1 Hongo, Bunkyo-ku, Tokyo 113-0033, Japan.
Laboratory of Neuropathology and Neuroscience, Graduate School of Pharmaceutical Sciences, The University of Tokyo, 7-3-1 Hongo, Bunkyo-ku, Tokyo 113-0033, Japan.
iScience. 2024 Jan 12;27(2):108893. doi: 10.1016/j.isci.2024.108893. eCollection 2024 Feb 16.
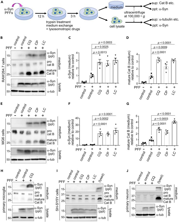
α-Synuclein and LRRK2 are associated with both familial and sporadic Parkinson's disease (PD), although the mechanistic link between these two proteins has remained elusive. Treating cells with lysosomotropic drugs causes the recruitment of LRRK2 and its substrate Rab10 onto overloaded lysosomes and induces extracellular release of lysosomal contents. Here we show that lysosomal overload elicits the release of insoluble α-synuclein from macrophages and microglia loaded with α-synuclein fibrils. This release occurred specifically in macrophage lineage cells, was dependent on the LRRK2-Rab10 pathway and involved exosomes. Also, the uptake of α-synuclein fibrils enhanced the LRRK2 phosphorylation of Rab10, which was accompanied by an increased recruitment of LRRK2 and Rab10 onto lysosomal surface. Our data collectively suggest that α-synuclein fibrils taken up in lysosomes activate the LRRK2-Rab10 pathway, which in turn upregulates the extracellular release of α-synuclein aggregates, leading to a vicious cycle that could enhance α-synuclein propagation in PD pathology.
α-突触核蛋白和富含亮氨酸重复激酶2(LRRK2)与家族性和散发性帕金森病(PD)均相关,尽管这两种蛋白之间的机制联系仍不清楚。用溶酶体促渗剂处理细胞会导致LRRK2及其底物Rab10募集到过载的溶酶体上,并诱导溶酶体内容物的细胞外释放。在此我们表明,溶酶体过载会引发巨噬细胞和小胶质细胞中不溶性α-突触核蛋白从负载α-突触核蛋白原纤维的细胞中释放。这种释放特异性地发生在巨噬细胞系细胞中,依赖于LRRK2-Rab10途径,并涉及外泌体。此外,α-突触核蛋白原纤维的摄取增强了Rab10的LRRK2磷酸化,这伴随着LRRK2和Rab10在溶酶体表面募集的增加。我们的数据共同表明,溶酶体摄取的α-突触核蛋白原纤维激活了LRRK2-Rab10途径,进而上调α-突触核蛋白聚集体的细胞外释放,导致一个恶性循环,可能会增强α-突触核蛋白在PD病理中的传播。