Suppr超能文献

吸入细颗粒物对肉鸡肺部损伤和肠道微生物群的影响。

Effects of inhaled fine particulate matter on the lung injury as well as gut microbiota in broilers.

机构信息

Institute of Animal Husbandry and Veterinary Science, Henan Academy of Agricultural Sciences, Zhengzhou, China.

Institute of Animal Husbandry and Veterinary Science, Henan Academy of Agricultural Sciences, Zhengzhou, China.

出版信息

Poult Sci. 2024 Apr;103(4):103426. doi: 10.1016/j.psj.2024.103426. Epub 2024 Jan 6.

Abstract

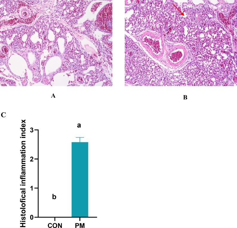
Fine particulate matter (PM) has been widely regarded as an important environmental risk factor that has widely influenced health of both animals and humans. Lung injury is the main cause of PM affecting respiratory tract health. Gut microbiota participates in the development of lung injury in many pathological processes. However, there is still unknown the specific effects of PM on the gut-lung axis in broilers. Thus, we conducted a broiler model based on 3-wk-old male Arbor Acres broiler to explore the underlying mechanism. Our results showed that PM exposure triggered TLR4 signaling pathway and induced the increase of IL-6, IFN-γ, TNF-α expression as well as the decrease of IL-10 expression in the lung. Inhaled PM exposure significantly altered the gut microbiota diversity and community. Specifically, PM exposure decreased α diversity and altered β diversity of gut microbiota, and reduced the abundance of DTU089, Oscillospirales, Staphylococcus, and increased the Escherichia-Shigella abundance, leading to the increase of gut-derived lipopolysaccharides (LPS). Moreover, PM significantly disrupted the intestinal epithelial barrier by reducing the expression of muc2 and claudin-1 to increase intestinal permeability, which possibly facilitated the LPS translocation into the blood. Spearman analysis revealed that gut microbiota dysbiosis was positively related to TLR4, TNF-α, and IFN-γ expression in the lung. In summary, our results showed that PM exposure induced lung injury by causing inflammation and triggering TLR4 signaling pathway, and also induced gut microbiota dysbiosis resulting in the overproduction of gut-derived LPS. And gut microbiota dysbiosis may be associated with lung injury. The above results provide basis data to comprehend the potential role of gut microbiota dysbiosis in the lung injury as well as providing a new regulatory target for alleviating lung injury associated with environmental pollutants.

摘要

细颗粒物(PM)已被广泛认为是影响动物和人类健康的重要环境风险因素。肺损伤是 PM 影响呼吸道健康的主要原因。肠道微生物群在许多病理过程中参与肺损伤的发展。然而,PM 对肉鸡的肠-肺轴的具体影响仍不清楚。因此,我们基于 3 周龄雄性 Arbor Acres 肉鸡建立了一个肉鸡模型,以探索其潜在机制。我们的研究结果表明,PM 暴露会触发 TLR4 信号通路,并诱导肺中 IL-6、IFN-γ、TNF-α表达增加和 IL-10 表达减少。吸入 PM 暴露会显著改变肠道微生物群的多样性和群落组成。具体而言,PM 暴露降低了肠道微生物群的α多样性并改变了其β多样性,降低了 DTU089、Oscillospirales、葡萄球菌和增加了 Escherichia-Shigella 的丰度,导致肠道来源的脂多糖(LPS)增加。此外,PM 通过减少 muc2 和 claudin-1 的表达来显著破坏肠道上皮屏障,增加肠道通透性,从而促进 LPS 向血液转移。Spearman 分析表明,肠道微生物群失调与肺中的 TLR4、TNF-α 和 IFN-γ 表达呈正相关。综上所述,我们的研究结果表明,PM 暴露通过引起炎症和触发 TLR4 信号通路导致肺损伤,并导致肠道微生物群失调导致肠道来源的 LPS 过度产生。肠道微生物群失调可能与肺损伤有关。上述结果为理解肠道微生物群失调在肺损伤中的潜在作用提供了基础数据,并为缓解与环境污染物相关的肺损伤提供了新的调节靶点。

https://cdn.ncbi.nlm.nih.gov/pmc/blobs/cf2b/10869302/f9bda6ef4c9d/gr1.jpg

文献AI研究员

20分钟写一篇综述,助力文献阅读效率提升50倍。

立即体验

用中文搜PubMed

大模型驱动的PubMed中文搜索引擎

马上搜索

文档翻译

学术文献翻译模型,支持多种主流文档格式。

立即体验