Suppr超能文献

针对 TYRP1 表面表达的 CAR-T 细胞疗法,用于治疗皮肤和罕见的黑色素瘤亚型。

CAR-T cell therapy targeting surface expression of TYRP1 to treat cutaneous and rare melanoma subtypes.

机构信息

Department of Hematology-Oncology, David Geffen School of Medicine at the University of California Los Angeles (UCLA), Los Angeles, CA, USA.

Parker Institute for Cancer Immunotherapy Center at UCLA, Los Angeles, CA, USA.

出版信息

Nat Commun. 2024 Feb 9;15(1):1244. doi: 10.1038/s41467-024-45221-2.

Abstract

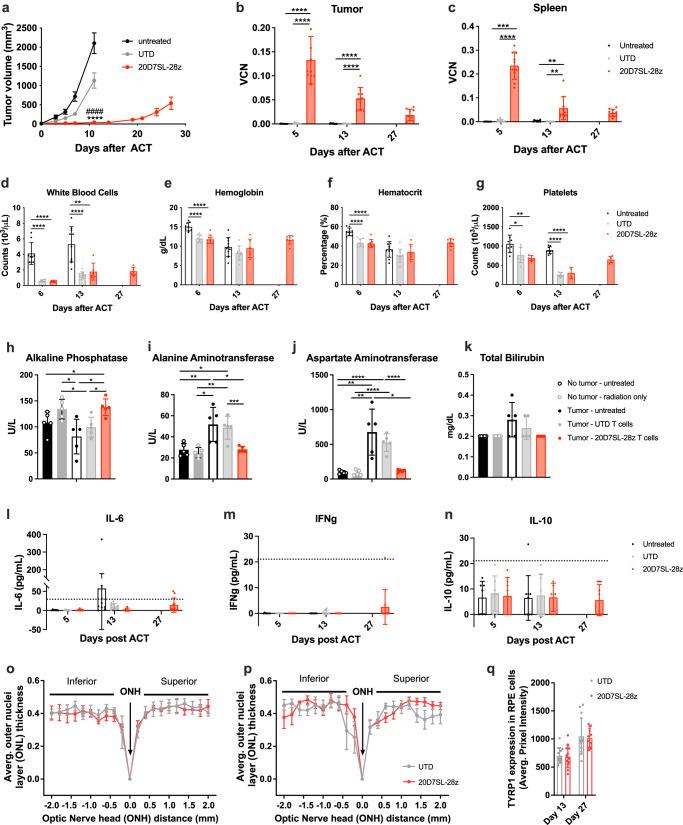
A major limitation to developing chimeric antigen receptor (CAR)-T cell therapies for solid tumors is identifying surface proteins highly expressed in tumors but not in normal tissues. Here, we identify Tyrosinase Related Protein 1 (TYRP1) as a CAR-T cell therapy target to treat patients with cutaneous and rare melanoma subtypes unresponsive to immune checkpoint blockade. TYRP1 is primarily located intracellularly in the melanosomes, with a small fraction being trafficked to the cell surface via vesicular transport. We develop a highly sensitive CAR-T cell therapy that detects surface TYRP1 in tumor cells with high TYRP1 overexpression and presents antitumor activity in vitro and in vivo in murine and patient-derived cutaneous, acral and uveal melanoma models. Furthermore, no systemic or off-tumor severe toxicities are observed in an immunocompetent murine model. The efficacy and safety profile of the TYRP1 CAR-T cell therapy supports the ongoing preparation of a phase I clinical trial.

摘要

开发用于实体瘤的嵌合抗原受体 (CAR)-T 细胞疗法的一个主要限制是确定在肿瘤中高度表达但在正常组织中不表达的表面蛋白。在这里,我们确定酪氨酸酶相关蛋白 1(TYRP1)为 CAR-T 细胞治疗靶点,以治疗对免疫检查点阻断无反应的皮肤和罕见黑色素瘤亚型的患者。TYRP1 主要位于黑色素体的细胞内,一小部分通过囊泡运输被转运到细胞表面。我们开发了一种高度敏感的 CAR-T 细胞疗法,可检测肿瘤细胞表面高表达 TYRP1 的 TYRP1,并在体外和体内的小鼠和患者来源的皮肤、肢端和葡萄膜黑色素瘤模型中表现出抗肿瘤活性。此外,在免疫功能正常的小鼠模型中未观察到全身或肿瘤外的严重毒性。TYRP1 CAR-T 细胞治疗的疗效和安全性特征支持正在进行的 I 期临床试验的准备工作。

https://cdn.ncbi.nlm.nih.gov/pmc/blobs/08a1/10858182/7ddca824a4dd/41467_2024_45221_Fig1_HTML.jpg

文献检索

告别复杂PubMed语法,用中文像聊天一样搜索,搜遍4000万医学文献。AI智能推荐,让科研检索更轻松。

立即免费搜索

文件翻译

保留排版,准确专业,支持PDF/Word/PPT等文件格式,支持 12+语言互译。

免费翻译文档

深度研究

AI帮你快速写综述,25分钟生成高质量综述,智能提取关键信息,辅助科研写作。

立即免费体验