• 文献检索
  • 文档翻译
  • 深度研究
  • 学术资讯
  • Suppr Zotero 插件Zotero 插件
  • 邀请有礼
  • 套餐&价格
  • 历史记录
应用&插件
Suppr Zotero 插件Zotero 插件浏览器插件Mac 客户端Windows 客户端微信小程序
定价
高级版会员购买积分包购买API积分包
服务
文献检索文档翻译深度研究API 文档MCP 服务
关于我们
关于 Suppr公司介绍联系我们用户协议隐私条款
关注我们

Suppr 超能文献

核心技术专利:CN118964589B侵权必究
粤ICP备2023148730 号-1Suppr @ 2026

文献检索

告别复杂PubMed语法,用中文像聊天一样搜索,搜遍4000万医学文献。AI智能推荐,让科研检索更轻松。

立即免费搜索

文件翻译

保留排版,准确专业,支持PDF/Word/PPT等文件格式,支持 12+语言互译。

免费翻译文档

深度研究

AI帮你快速写综述,25分钟生成高质量综述,智能提取关键信息,辅助科研写作。

立即免费体验

司美格鲁肽通过外泌体调节 LX-2 细胞细胞外基质的产生,并改善代谢功能障碍相关的脂肪性肝病(MASLD)。

Semaglutide Modulates Extracellular Matrix Production of LX-2 Cells via Exosomes and Improves Metabolic Dysfunction-Associated Steatotic Liver Disease (MASLD).

机构信息

Laboratory of Personalized Medicine, National Institute of Gastroenterology, IRCCS DeBellis, 70013 Castellana Grotte, BA, Italy.

Interdisciplinary Department of Medicine, School of Medicine, University of Bari "Aldo Moro", Piazza Giulio Cesare 11, 70124 Bari, BA, Italy.

出版信息

Int J Mol Sci. 2024 Jan 25;25(3):1493. doi: 10.3390/ijms25031493.

DOI:10.3390/ijms25031493
PMID:38338770
原文链接:https://pmc.ncbi.nlm.nih.gov/articles/PMC10855465/
Abstract

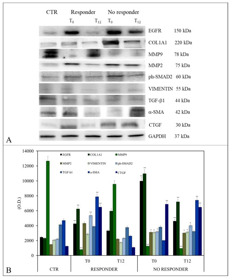
Metabolic dysfunction-associated steatotic liver disease (MASLD) is closely related to some metabolic disorders, such as central obesity and type 2 diabetes (T2D). Glucagon-like peptide 1 receptor agonists (GLP-1RAs), such as semaglutide, may have therapeutic roles in MASLD associated with T2D. This study aims to investigate the molecular mechanisms underlying the effectiveness of semaglutide on MASLD in terms of progression from liver steatosis to fibrosis. We characterized exosomes from ten patients with type 2 diabetes (T2D) before (T0) and after 12 months (T12) of treatment with once-weekly subcutaneous semaglutide. Six of ten patients were considered responders to therapy (R) based on MASLD severity downgrading by at least one class according to a validated ultrasonographic (US) score. Normal hepatocytes (HEPA-RG) and stellate (LX-2) cells were challenged with exosomes from R and NR patients, isolated before and after 12 months of therapy. Exosomes from both R and NR patients isolated at T0 significantly affected LX-2 viability. After 12 months of treatment, only those isolated from R patients restored cell viability, whereas those from NR patients did not. No effects were observed on HEPA-RG cells. Exosomes at T12 from R but not from NR patients significantly decreased the production of α-SMA, a marker of LX-2 activation, a liver stellate cell model, and ph-SMAD2 and CTGF, involved in fibrosis processes. TGF-β1 was not modulated by the exosomes of R and NR patients. As a downstream effect, Vimentin, Collagen 1A1, and Fibronectin extracellular matrix components were also downregulated, as measured by droplets digital PCR. In conclusion, these results shed light on the potential effectiveness of semaglutide in improving liver fibrosis in MASLD.

摘要

代谢相关脂肪性肝病(MASLD)与一些代谢紊乱密切相关,如中心性肥胖和 2 型糖尿病(T2D)。胰高血糖素样肽 1 受体激动剂(GLP-1RAs),如司美格鲁肽,可能在 T2D 相关的 MASLD 中具有治疗作用。本研究旨在从肝脂肪变性进展为纤维化的角度,探讨司美格鲁肽治疗 MASLD 的有效性的分子机制。我们对 10 例接受每周一次皮下司美格鲁肽治疗的 2 型糖尿病(T2D)患者在治疗前(T0)和治疗 12 个月(T12)时的外泌体进行了特征描述。根据经验证的超声(US)评分,根据 MASLD 严重程度至少降低一个等级,10 例患者中有 6 例被认为是治疗应答者(R)。用来自 R 和 NR 患者治疗前(T0)和治疗 12 个月后(T12)分离的外泌体刺激正常肝细胞(HEPA-RG)和星状细胞(LX-2)。来自 R 和 NR 患者的外泌体在 T0 时均显著影响 LX-2 的活力。治疗 12 个月后,只有来自 R 患者的外泌体恢复了细胞活力,而来自 NR 患者的外泌体则没有。对 HEPA-RG 细胞没有观察到影响。来自 R 患者但不是来自 NR 患者的 T12 外泌体显著降低了作为 LX-2 激活标志物的α-SMA、肝星状细胞模型和参与纤维化过程的 ph-SMAD2 和 CTGF 的产生。R 和 NR 患者的外泌体均未调节 TGF-β1。作为下游效应,通过液滴数字 PCR 也下调了细胞外基质成分波形蛋白、胶原 1A1 和纤维连接蛋白。总之,这些结果阐明了司美格鲁肽在改善 MASLD 肝纤维化方面的潜在有效性。

https://cdn.ncbi.nlm.nih.gov/pmc/blobs/afb6/10855465/effce0dceb9a/ijms-25-01493-g006.jpg
https://cdn.ncbi.nlm.nih.gov/pmc/blobs/afb6/10855465/8cb77f84b38c/ijms-25-01493-g001.jpg
https://cdn.ncbi.nlm.nih.gov/pmc/blobs/afb6/10855465/f4eb7bb4332a/ijms-25-01493-g002.jpg
https://cdn.ncbi.nlm.nih.gov/pmc/blobs/afb6/10855465/c42d84fe11f8/ijms-25-01493-g003.jpg
https://cdn.ncbi.nlm.nih.gov/pmc/blobs/afb6/10855465/34bfb6d45705/ijms-25-01493-g004.jpg
https://cdn.ncbi.nlm.nih.gov/pmc/blobs/afb6/10855465/91ba52accf31/ijms-25-01493-g005.jpg
https://cdn.ncbi.nlm.nih.gov/pmc/blobs/afb6/10855465/effce0dceb9a/ijms-25-01493-g006.jpg
https://cdn.ncbi.nlm.nih.gov/pmc/blobs/afb6/10855465/8cb77f84b38c/ijms-25-01493-g001.jpg
https://cdn.ncbi.nlm.nih.gov/pmc/blobs/afb6/10855465/f4eb7bb4332a/ijms-25-01493-g002.jpg
https://cdn.ncbi.nlm.nih.gov/pmc/blobs/afb6/10855465/c42d84fe11f8/ijms-25-01493-g003.jpg
https://cdn.ncbi.nlm.nih.gov/pmc/blobs/afb6/10855465/34bfb6d45705/ijms-25-01493-g004.jpg
https://cdn.ncbi.nlm.nih.gov/pmc/blobs/afb6/10855465/91ba52accf31/ijms-25-01493-g005.jpg
https://cdn.ncbi.nlm.nih.gov/pmc/blobs/afb6/10855465/effce0dceb9a/ijms-25-01493-g006.jpg

相似文献

1
Semaglutide Modulates Extracellular Matrix Production of LX-2 Cells via Exosomes and Improves Metabolic Dysfunction-Associated Steatotic Liver Disease (MASLD).司美格鲁肽通过外泌体调节 LX-2 细胞细胞外基质的产生,并改善代谢功能障碍相关的脂肪性肝病(MASLD)。
Int J Mol Sci. 2024 Jan 25;25(3):1493. doi: 10.3390/ijms25031493.
2
Semaglutide Improves Liver Steatosis and De Novo Lipogenesis Markers in Obese and Type-2-Diabetic Mice with Metabolic-Dysfunction-Associated Steatotic Liver Disease.司美格鲁肽可改善患有代谢功能障碍相关脂肪性肝病的肥胖和2型糖尿病小鼠的肝脏脂肪变性及从头脂肪生成标志物。
Int J Mol Sci. 2024 Mar 4;25(5):2961. doi: 10.3390/ijms25052961.
3
Hepatic steatosis and not type 2 diabetes, body mass index, or hepatic fibrosis associates with hyperglucagonemia in individuals with steatotic liver disease.在患有脂肪性肝病的个体中,肝脂肪变性而非2型糖尿病、体重指数或肝纤维化与高胰高血糖素血症相关。
Am J Physiol Gastrointest Liver Physiol. 2024 Oct 1;327(4):G558-G570. doi: 10.1152/ajpgi.00147.2024. Epub 2024 Aug 6.
4
Glucagon-like peptide 1 agonists are potentially useful drugs for treating metabolic dysfunction-associated steatotic liver disease.胰高血糖素样肽 1 激动剂可能是治疗代谢功能障碍相关脂肪性肝病的有效药物。
World J Gastroenterol. 2024 Aug 14;30(30):3541-3547. doi: 10.3748/wjg.v30.i30.3541.
5
The Emerging Role of Glucagon-Like Peptide-1 Receptor Agonists for the Treatment of Metabolic Dysfunction-Associated Steatohepatitis.胰高血糖素样肽-1 受体激动剂在治疗代谢相关脂肪性肝炎中的新作用。
Clin Gastroenterol Hepatol. 2024 Aug;22(8):1565-1574. doi: 10.1016/j.cgh.2024.01.032. Epub 2024 Feb 15.
6
Beneficial effect of oral semaglutide for type 2 diabetes mellitus in patients with metabolic dysfunction-associated steatotic liver disease: A prospective, multicentre, observational study.口服司美格鲁肽对代谢相关脂肪性肝病合并 2 型糖尿病患者的疗效:一项前瞻性、多中心、观察性研究。
Diabetes Obes Metab. 2024 Nov;26(11):4958-4965. doi: 10.1111/dom.15898. Epub 2024 Sep 2.
7
Effects of Once-Weekly Semaglutide on Cardiovascular Risk Factors and Metabolic Dysfunction-Associated Steatotic Liver Disease in Japanese Patients with Type 2 Diabetes: A Retrospective Longitudinal Study Based on Real-World Data.每周一次司美格鲁肽对日本2型糖尿病患者心血管危险因素及代谢功能障碍相关脂肪性肝病的影响:一项基于真实世界数据的回顾性纵向研究
Biomedicines. 2024 May 2;12(5):1001. doi: 10.3390/biomedicines12051001.
8
Favorable liver and skeletal muscle changes in patients with MASLD and T2DM receiving glucagon-like peptide-1 receptor agonist: A prospective cohort study.接受胰高血糖素样肽-1 受体激动剂治疗的 MASLD 和 T2DM 患者的肝脏和骨骼肌变化有利:一项前瞻性队列研究。
Medicine (Baltimore). 2024 Jun 7;103(23):e38444. doi: 10.1097/MD.0000000000038444.
9
Once-Weekly Subcutaneous Semaglutide Improves Fatty Liver Disease in Patients with Type 2 Diabetes: A 52-Week Prospective Real-Life Study.每周一次皮下注射司美格鲁肽可改善 2 型糖尿病患者的脂肪肝疾病:一项为期 52 周的前瞻性真实世界研究。
Nutrients. 2022 Nov 4;14(21):4673. doi: 10.3390/nu14214673.
10
Effects of NPY-2 Receptor Antagonists, Semaglutide, PYY, and Empagliflozin on Early MASLD in Diet-Induced Obese Rats.NPY-2 受体拮抗剂、司美格鲁肽、PYY 和恩格列净对饮食诱导肥胖大鼠早期 MASLD 的影响。
Nutrients. 2024 Mar 21;16(6):904. doi: 10.3390/nu16060904.

引用本文的文献

1
Role of glucagon-like peptide-1 receptor agonists in pediatric obesity and metabolic dysfunction associated steatotic liver disease.胰高血糖素样肽-1受体激动剂在儿童肥胖及代谢功能障碍相关脂肪性肝病中的作用
World J Clin Pediatr. 2025 Sep 9;14(3):105731. doi: 10.5409/wjcp.v14.i3.105731.
2
Repurposing GLP-1 Receptor Agonists: A Perspective on Epigenetic Strategies to Combat Fibrosis and Hepatocellular Carcinoma in the Aged Liver.重新利用胰高血糖素样肽-1受体激动剂:对抗老年肝脏纤维化和肝细胞癌的表观遗传策略展望。
Cancers (Basel). 2025 Aug 8;17(16):2600. doi: 10.3390/cancers17162600.
3
A Single Lesson on Dietary Education Improves Dietary Knowledge in Adults with Type 2 Diabetes: A Real-Life Monocentric Italian Study.

本文引用的文献

1
Quercetin modulates expression of serum exosomal long noncoding RNA NEAT1 to regulate the miR-129-5p/BDNF axis and attenuate cognitive impairment in diabetic mice.槲皮素调节血清外泌体长链非编码RNA NEAT1的表达,以调节miR-129-5p/脑源性神经营养因子轴并减轻糖尿病小鼠的认知障碍。
Life Sci. 2024 Mar 1;340:122449. doi: 10.1016/j.lfs.2024.122449. Epub 2024 Jan 20.
2
Obesity Management in Adults: A Review.成人肥胖管理:综述。
JAMA. 2023 Nov 28;330(20):2000-2015. doi: 10.1001/jama.2023.19897.
3
LAMP2A, LAMP2B and LAMP2C: similar structures, divergent roles.
一堂饮食教育课可提高2型糖尿病成人的饮食知识:一项意大利单中心真实生活研究。
Nutrients. 2025 Mar 26;17(7):1139. doi: 10.3390/nu17071139.
4
Extracellular vesicle-mediated approaches for the diagnosis and therapy of MASLD: current advances and future prospective.细胞外囊泡介导的非酒精性脂肪性肝炎诊断与治疗方法:当前进展与未来展望
Lipids Health Dis. 2025 Jan 7;24(1):5. doi: 10.1186/s12944-024-02396-3.
5
Role of gut-liver axis and glucagon-like peptide-1 receptor agonists in the treatment of metabolic dysfunction-associated fatty liver disease.肠-肝轴和胰高血糖素样肽-1 受体激动剂在代谢功能障碍相关脂肪性肝病治疗中的作用。
World J Gastroenterol. 2024 Jun 21;30(23):2964-2980. doi: 10.3748/wjg.v30.i23.2964.
6
Associations of life's essential 8 with MAFLD and liver fibrosis among US adults: a nationwide cross-section study.美国成年人中生命必需的8项指标与MAFLD及肝纤维化的关联:一项全国性横断面研究。
Front Nutr. 2024 Jun 12;11:1403720. doi: 10.3389/fnut.2024.1403720. eCollection 2024.
7
Unveiling the Potential of Extracellular Vesicles as Biomarkers and Therapeutic Nanotools for Gastrointestinal Diseases.揭示细胞外囊泡作为胃肠道疾病生物标志物和治疗纳米工具的潜力。
Pharmaceutics. 2024 Apr 21;16(4):567. doi: 10.3390/pharmaceutics16040567.
LAMP2A、LAMP2B 和 LAMP2C:结构相似,作用不同。
Autophagy. 2023 Nov;19(11):2837-2852. doi: 10.1080/15548627.2023.2235196. Epub 2023 Jul 21.
4
A multisociety Delphi consensus statement on new fatty liver disease nomenclature.多学会专家共识:新脂肪性肝病命名。
Ann Hepatol. 2024 Jan-Feb;29(1):101133. doi: 10.1016/j.aohep.2023.101133. Epub 2023 Jun 24.
5
Semaglutide 2·4 mg once weekly in patients with non-alcoholic steatohepatitis-related cirrhosis: a randomised, placebo-controlled phase 2 trial.每周一次给予 2.4 毫克司美格鲁肽治疗非酒精性脂肪性肝炎相关肝硬化患者:一项随机、安慰剂对照的 2 期临床试验。
Lancet Gastroenterol Hepatol. 2023 Jun;8(6):511-522. doi: 10.1016/S2468-1253(23)00068-7. Epub 2023 Mar 16.
6
GLP-1 Receptor Agonists in Non-Alcoholic Fatty Liver Disease: Current Evidence and Future Perspectives.GLP-1 受体激动剂在非酒精性脂肪性肝病中的应用:当前证据与未来展望。
Int J Mol Sci. 2023 Jan 15;24(2):1703. doi: 10.3390/ijms24021703.
7
Semaglutide ameliorates metabolism and hepatic outcomes in an NAFLD mouse model.司美格鲁肽改善非酒精性脂肪性肝病小鼠模型的代谢和肝脏结局。
Front Endocrinol (Lausanne). 2022 Dec 9;13:1046130. doi: 10.3389/fendo.2022.1046130. eCollection 2022.
8
Effect of semaglutide on fatty liver disease biomarkers in patients with diabetes and obesity.司美格鲁肽对糖尿病和肥胖患者脂肪肝疾病生物标志物的影响。
Rev Clin Esp (Barc). 2023 Mar;223(3):134-143. doi: 10.1016/j.rceng.2022.12.001. Epub 2022 Dec 19.
9
Once-Weekly Subcutaneous Semaglutide Improves Fatty Liver Disease in Patients with Type 2 Diabetes: A 52-Week Prospective Real-Life Study.每周一次皮下注射司美格鲁肽可改善 2 型糖尿病患者的脂肪肝疾病:一项为期 52 周的前瞻性真实世界研究。
Nutrients. 2022 Nov 4;14(21):4673. doi: 10.3390/nu14214673.
10
Roles of hepatic stellate cells in NAFLD: From the perspective of inflammation and fibrosis.肝星状细胞在非酒精性脂肪性肝病中的作用:从炎症和纤维化的角度
Front Pharmacol. 2022 Oct 13;13:958428. doi: 10.3389/fphar.2022.958428. eCollection 2022.