Mater Research Institute, The University of Queensland, Brisbane, QLD 4102, Australia.
Dermatology Research Centre, Frazer Institute, The University of Queensland, Brisbane, QLD 4102, Australia.
Int J Mol Sci. 2024 Jan 29;25(3):1664. doi: 10.3390/ijms25031664.
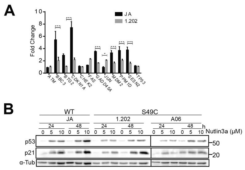
An apical component of the cell cycle checkpoint and DNA damage repair response is the ataxia-telangiectasia mutated (ATM) Ser/Thr protein kinase. A variant of ATM, Ser49Cys (rs1800054; minor allele frequency = 0.011), has been associated with an elevated risk of melanoma development; however, the functional consequence of this variant is not defined. ATM-dependent signalling in response to DNA damage has been assessed in a panel of patient-derived lymphoblastoid lines and primary human melanocytic cell strains heterozygous for the ATM Ser49Cys variant allele. The ATM Ser49Cys allele appears functional for acute p53-dependent signalling in response to DNA damage. Expression of the variant allele did reduce the efficacy of oncogene expression in inducing senescence. These findings demonstrate that the Ser49Cys allele has little discernible effect on the acute response to DNA damage but has reduced function observed in the chronic response to oncogene over-expression. Analysis of melanoma, naevus and skin colour genomics and GWAS analyses have demonstrated no association of this variant with any of these outcomes. The modest loss of function detected suggest that the variant may act as a modifier of other variants of ATM/p53-dependent signalling.
细胞周期检查点和 DNA 损伤修复反应的一个核心组成部分是共济失调毛细血管扩张突变(ATM)Ser/Thr 蛋白激酶。ATM 的一种变体,Ser49Cys(rs1800054;次要等位基因频率=0.011),与黑色素瘤发展的风险增加有关;然而,这种变体的功能后果尚未确定。在一组患者来源的淋巴母细胞系和 ATM Ser49Cys 变体等位基因杂合的原代人黑色素细胞株中,评估了 ATM 依赖性信号转导对 DNA 损伤的反应。ATM Ser49Cys 等位基因似乎对 DNA 损伤引起的急性 p53 依赖性信号转导具有功能。该变体等位基因的表达确实降低了致癌基因表达诱导衰老的功效。这些发现表明,Ser49Cys 等位基因对 DNA 损伤的急性反应几乎没有明显影响,但在慢性致癌基因过表达反应中观察到功能降低。黑色素瘤、痣和皮肤颜色基因组学和 GWAS 分析表明,该变体与这些结果均无关联。检测到的功能适度丧失表明,该变体可能作为 ATM/p53 依赖性信号转导的其他变体的修饰因子。