Suppr超能文献

戈林-戈尔茨综合征:1例罕见病例报告及文献综述更新

Gorlin-Goltz Syndrome: Report of a Rare Case with an Update on the Review of the Literature.

作者信息

Attur Shylaja, Patel Jigar Kumar, Attur Kailash, Menat Sailesh

机构信息

Department of Oral and Maxillofacial Pathology and Oral Microbiology, Narsinhbhai Patel Dental College and Hospital, Sankalchand Patel University, Visnagar, Gujarat, India.

Ex Senior Lecturer, Department of Oral and Maxillofacial Surgery, Narsinhbhai Patel Dental College and Hospital, Sankalchand Patel Univeristy, Visnagar. Private Practitioner, Swatik Ortho-Maxface Dental Clinic, Himmatnagar, Gujarat, India.

出版信息

Contemp Clin Dent. 2023 Oct-Dec;14(4):317-321. doi: 10.4103/ccd.ccd_139_23. Epub 2023 Dec 19.

Abstract

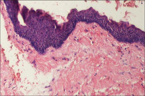
Keratocyst is a developmental odontogenic cyst arising from remnants/rests of the dental lamina with biologic behavior similar to benign neoplasm. The presence of multiple odontogenic keratocysts is rare and seen in Gorlin-Goltz syndrome (GGS). GGS syndrome presents with multisystem involvement and the classical triad of multiple basocellular epitheliomas, keratocysts in the jaws, and bifid ribs; that characterize the diagnosis of this syndrome. Multiple odontogenic keratocyst are the most consistent features of the syndrome in 65%-100% of affected individuals and are generally diagnosed at a very early age. Early diagnosis and proper counseling of the parent and patient might help to reduce the morbidity, encourage follow-up for timely treatment, and help in avoiding ionizing radiation that would lead to the development of malignancies.

摘要

牙源性角化囊肿是一种发育性牙源性囊肿,起源于牙板的残余/遗迹,其生物学行为类似于良性肿瘤。多发性牙源性角化囊肿罕见,见于戈林-戈尔茨综合征(GGS)。GGS综合征表现为多系统受累,具有多发性基底细胞上皮瘤、颌骨角化囊肿和肋骨分叉这一经典三联征,这些特征可用于该综合征的诊断。多发性牙源性角化囊肿是该综合征在65%-100%的受累个体中最一致的特征,通常在非常早的年龄被诊断出来。早期诊断并对家长和患者进行适当的咨询可能有助于降低发病率,鼓励进行随访以便及时治疗,并有助于避免导致恶性肿瘤发生的电离辐射。

https://cdn.ncbi.nlm.nih.gov/pmc/blobs/55d4/10855513/c61e9d484b6a/CCD-14-317-g001.jpg

文献AI研究员

20分钟写一篇综述,助力文献阅读效率提升50倍。

立即体验

用中文搜PubMed

大模型驱动的PubMed中文搜索引擎

马上搜索

文档翻译

学术文献翻译模型,支持多种主流文档格式。

立即体验