Suppr超能文献

戈林-戈尔茨综合征的影像学表现:2例系列报道。

Imaging of Gorlin-Goltz syndrome: Series of 2 cases.

作者信息

Rafiq Suhail, Manzoor Farzana, Dar Musaib Ahmad, Aslam Rassieq

机构信息

Department of Radiodiagnosis, Government Medical College, Srinagar, Jammu and Kashmir, India.

Department of Pathology, Government Medical College, Srinagar, Jammu and Kashmir, India.

出版信息

J Oral Maxillofac Pathol. 2021 May-Aug;25(2):373. doi: 10.4103/0973-029X.325261. Epub 2021 Aug 31.

Abstract

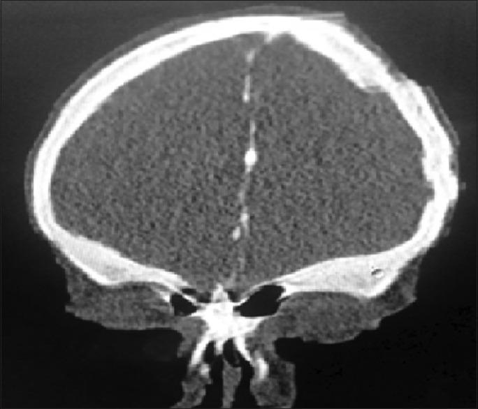
Gorlin-Goltz syndrome (GGS) is a rare autosomal dominant disorder with multisystemic involvement. It is characterized by the triad of multiple baso-cellular epitheliomas, odontogenic keratocysts (OKC) in the jaws and skeletal anomalies. Later, it was found that calcification of falx is also highly specific. We present radiological findings in case series of two cases, one with multiple OKC, calcified falx, skin lesions, and fibrous dysplasia of sphenoid and second with multiple OKC, calcified falx, vertebral anomaly and medulloblastoma.

摘要

戈林-戈尔茨综合征(GGS)是一种罕见的常染色体显性疾病,累及多系统。其特征为三联征,即多发性基底细胞上皮瘤、颌骨牙源性角化囊肿(OKC)和骨骼异常。后来发现,大脑镰钙化也具有高度特异性。我们展示了两个病例系列的影像学表现,一例有多发性OKC、大脑镰钙化、皮肤病变和蝶骨纤维发育不良,另一例有多发性OKC、大脑镰钙化、椎体异常和髓母细胞瘤。

https://cdn.ncbi.nlm.nih.gov/pmc/blobs/0172/8491327/ebc49d13e236/JOMFP-25-373a-g001.jpg

文献AI研究员

20分钟写一篇综述,助力文献阅读效率提升50倍。

立即体验

用中文搜PubMed

大模型驱动的PubMed中文搜索引擎

马上搜索

文档翻译

学术文献翻译模型,支持多种主流文档格式。

立即体验