Suppr超能文献

良性疾病子宫切除术后原发性阴道癌:文献系统评价

Primary vaginal cancer after hysterectomy for benign conditions: a systematic review of the literature.

作者信息

Qian Jing, Gracious Kaoma, Chen Li, Xu Song

机构信息

Department of Gynecology, Affiliated Hangzhou First People's Hospital, Westlake University School of Medicine, Hangzhou, Zhejiang, China.

International Education College, Zhejiang Chinese Medical University, Hangzhou, Zhejiang, China.

出版信息

Front Oncol. 2024 Jan 29;14:1334778. doi: 10.3389/fonc.2024.1334778. eCollection 2024.

Abstract

BACKGROUND

Primary vaginal cancer is a rare condition. Some studies have revealed an increased risk of vaginal cancer among patients who have undergone hysterectomy for premalignant and malignant cervical disease. However, there is limited literature available on primary vaginal cancer following hysterectomy for benign conditions.

OBJECTIVES

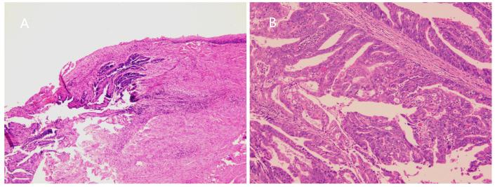
This review aimed to investigate available evidence on clinical characteristics, treatments, and outcomes of primary vaginal cancer following hysterectomy for benign diseases. Additionally, we provide a case of a patient who developed primary vaginal cancer 10 years after undergoing hysterectomy for abnormal uterine bleeding.

SEARCH STRATEGY

We conducted a comprehensive literature search on PubMed, Scopus, Web of Science using a combination of title and abstract represented by "hysterectomy", and "vaginal cancer"; "vaginal neoplasm"; and "cancer of vagina". No article type restrictions were applied.

MAIN RESULTS

Eight studies with a total of 56 cases were included in this review. The main symptom observed was vaginal bleeding. Squamous cancer was found to be the most common type, followed by adenocarcinoma. The majority of vaginal cancer cases occurred approximately 10 years after undergoing hysterectomy. The most common location of the tumor was in the vaginal apex. The management approaches varied and details were available in 25 cases. Among these, 7 cases were treated with radiotherapy alone, 1 case received concurrent chemoradiation therapy, and the of rest of the cases underwent surgery as the primary treatment, with or without additional adjuvant therapy. Data of follow-up was available for 15 cases, with 2 cases resulting in death and 2 cases experiencing recurrence. The other cases were alive and well at the time of considered follow up.

CONCLUSION

Primary vaginal cancer after hysterectomy for benign conditions is an extremely rare condition. It is essential to have high-level evidence to guide the screening and treatment strategy for this rare condition. A part of women who have undergone hysterectomy for benign disorders can benefit from vaginal cytology evaluation. It is reasonable to postpone the initial screening after surgery and to extend the interval between subsequent screenings. Further retrospective case-control trials are expected to determine which specific subgroups of patients mentioned above might most potentially benefit from screening. The treatment decision for vaginal cancer after hysterectomy is more favorable to radiotherapy-based management rather than surgery. Vaginal endometrioid adenocarcinoma may arise from the malignant transformation of endometriosis. More studies are expected to investigate the correlation between these two diseases.

摘要

背景

原发性阴道癌是一种罕见疾病。一些研究显示,因宫颈前恶性病变和恶性疾病接受子宫切除术的患者患阴道癌的风险增加。然而,关于因良性疾病行子宫切除术后发生原发性阴道癌的文献有限。

目的

本综述旨在调查因良性疾病行子宫切除术后原发性阴道癌的临床特征、治疗方法和预后的现有证据。此外,我们报告一例患者,她在因异常子宫出血接受子宫切除术后10年发生原发性阴道癌。

检索策略

我们在PubMed、Scopus、Web of Science上进行了全面的文献检索,使用“子宫切除术”、“阴道癌”、“阴道肿瘤”和“阴道癌”组合的标题和摘要。不设文章类型限制。

主要结果

本综述纳入了8项研究,共56例病例。观察到的主要症状是阴道出血。鳞状癌是最常见的类型,其次是腺癌。大多数阴道癌病例发生在子宫切除术后约10年。肿瘤最常见的位置是阴道顶端。治疗方法各不相同,25例有详细信息。其中,7例仅接受放射治疗,1例接受同步放化疗,其余病例以手术作为主要治疗方法,有或没有额外的辅助治疗。15例有随访数据,2例死亡,2例复发。其他病例在随访时存活良好。

结论

因良性疾病行子宫切除术后发生原发性阴道癌是一种极其罕见的疾病。必须有高级别的证据来指导这种罕见疾病的筛查和治疗策略。部分因良性疾病接受子宫切除术的女性可从阴道细胞学评估中获益。术后推迟初次筛查并延长后续筛查间隔是合理的。预计进一步的回顾性病例对照试验将确定上述哪些特定患者亚组可能最有可能从筛查中获益。子宫切除术后阴道癌的治疗决策更倾向于以放疗为主的管理而非手术。阴道子宫内膜样腺癌可能由子宫内膜异位症恶变而来。预计更多研究将调查这两种疾病之间的相关性。

https://cdn.ncbi.nlm.nih.gov/pmc/blobs/6904/10859505/3821c6a3316a/fonc-14-1334778-g001.jpg

文献AI研究员

20分钟写一篇综述,助力文献阅读效率提升50倍。

立即体验

用中文搜PubMed

大模型驱动的PubMed中文搜索引擎

马上搜索

文档翻译

学术文献翻译模型,支持多种主流文档格式。

立即体验