Suppr超能文献

病例报告与文献分析:根治性切除术后右上颌窦孤立性肝癌复发

Case report and literature analysis: solitary HCC- recurrence in the right maxillary sinus after curative resection.

作者信息

Madzikatire Tinotenda Blessing, Shan Yunfeng

机构信息

Department of Hepatobiliary Surgery, The First Affiliated Hospital of Wenzhou Medical University, Wenzhou, Zhejiang, China.

出版信息

Front Oncol. 2024 Jan 29;14:1279126. doi: 10.3389/fonc.2024.1279126. eCollection 2024.

Abstract

BACKGROUND

The primary treatment for eligible patients with hepatocellular carcinoma (HCC) is curative liver resection, offering a 5-year overall survival (OS) of 60%-80%. Despite this, the recurrence rate within five years post-resection remains notably high, ranging from 40% to 50%. Instances of recurrence in the maxillary sinus following liver resection are exceedingly uncommon. This report details a unique case of solitary maxillary sinus recurrence after the curative resection of HCC, which underwent maxillary tumor resection, along with a comprehensive review of pertinent literature. No similar cases have been documented previously.

CASE PRESENTATION

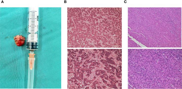
In 2014, an 85-year-old male patient was diagnosed with HCC and subsequently underwent left hepatectomy. Following the resection, the patient underwent a 9-year follow-up period without any evidence of intra or extrahepatic recurrence. In 2023, a computed tomography (CT) scan revealed a 1.4 cm by 1.1 cm mass in the maxillary sinus, without discernible invasion of the alveolar sinus, nasal cavity, orbital cavity, or infratemporal space. We proceeded with the resection of the maxillary sinus mass. Patho-histochemical analysis indicated that the tumor cells in the maxillary sinus were metastatic HCC cells. As of now, the patient remains in good condition with no signs of tumor recurrence.

CONCLUSION

For patients presenting with solitary maxillary sinus metastasis, optimal liver function, and a favorable performance score, tumor resection may be the preferred treatment option. However, given the rarity of such cases, larger prospective trials are essential to determine an optimal treatment strategy that offers therapeutic benefits.

摘要

背景

符合条件的肝细胞癌(HCC)患者的主要治疗方法是根治性肝切除术,其5年总生存率(OS)为60%-80%。尽管如此,肝切除术后五年内的复发率仍然很高,在40%至50%之间。肝切除术后上颌窦复发的情况极为罕见。本报告详细介绍了一例HCC根治性切除术后孤立性上颌窦复发的独特病例,该病例接受了上颌窦肿瘤切除术,并对相关文献进行了全面回顾。此前尚无类似病例的记录。

病例介绍

2014年,一名85岁男性患者被诊断为HCC,随后接受了左肝切除术。切除术后,患者进行了9年的随访,未发现肝内或肝外复发迹象。2023年,计算机断层扫描(CT)显示上颌窦有一个1.4厘米×1.1厘米的肿块,未发现牙槽窦、鼻腔、眼眶或颞下间隙有明显侵犯。我们对该上颌窦肿块进行了切除。病理组织化学分析表明,上颌窦中的肿瘤细胞为转移性HCC细胞。截至目前,患者状况良好,无肿瘤复发迹象。

结论

对于出现孤立性上颌窦转移、肝功能良好且性能评分良好的患者,肿瘤切除术可能是首选的治疗方案。然而,鉴于此类病例的罕见性,更大规模的前瞻性试验对于确定能带来治疗益处的最佳治疗策略至关重要。

https://cdn.ncbi.nlm.nih.gov/pmc/blobs/b683/10859426/bc3663e042a1/fonc-14-1279126-g001.jpg

文献AI研究员

20分钟写一篇综述,助力文献阅读效率提升50倍。

立即体验

用中文搜PubMed

大模型驱动的PubMed中文搜索引擎

马上搜索

文档翻译

学术文献翻译模型,支持多种主流文档格式。

立即体验