Suppr超能文献

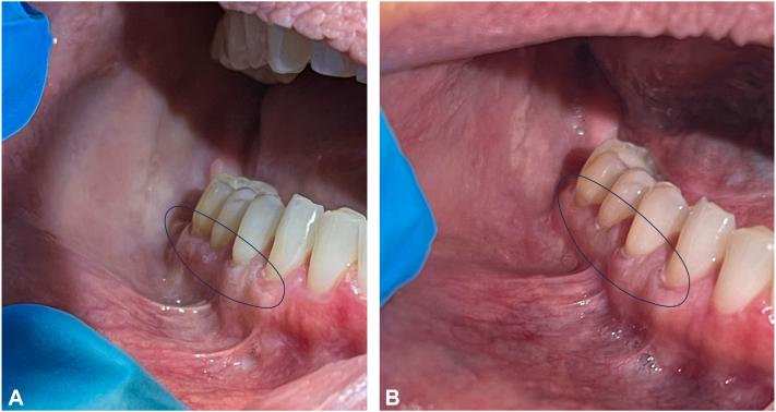
Treatment of oral lichen planus using deucravacitinib.

作者信息

Vu Mindy, Abdin Rama, Issa Naiem T

机构信息

Forefront Dermatology, Vienna, Virginia.

Issa Research and Consulting, LLC, Springfield, Virginia.

出版信息

JAAD Case Rep. 2023 Dec 27;44:94-97. doi: 10.1016/j.jdcr.2023.12.006. eCollection 2024 Feb.

Abstract
摘要
https://cdn.ncbi.nlm.nih.gov/pmc/blobs/cffa/10861938/b4991ed6a36e/gr1.jpg

文献AI研究员

20分钟写一篇综述,助力文献阅读效率提升50倍。

立即体验

用中文搜PubMed

大模型驱动的PubMed中文搜索引擎

马上搜索

文档翻译

学术文献翻译模型,支持多种主流文档格式。

立即体验