• 文献检索
  • 文档翻译
  • 深度研究
  • 学术资讯
  • Suppr Zotero 插件Zotero 插件
  • 邀请有礼
  • 套餐&价格
  • 历史记录
应用&插件
Suppr Zotero 插件Zotero 插件浏览器插件Mac 客户端Windows 客户端微信小程序
定价
高级版会员购买积分包购买API积分包
服务
文献检索文档翻译深度研究API 文档MCP 服务
关于我们
关于 Suppr公司介绍联系我们用户协议隐私条款
关注我们

Suppr 超能文献

核心技术专利:CN118964589B侵权必究
粤ICP备2023148730 号-1Suppr @ 2026

文献检索

告别复杂PubMed语法,用中文像聊天一样搜索,搜遍4000万医学文献。AI智能推荐,让科研检索更轻松。

立即免费搜索

文件翻译

保留排版,准确专业,支持PDF/Word/PPT等文件格式,支持 12+语言互译。

免费翻译文档

深度研究

AI帮你快速写综述,25分钟生成高质量综述,智能提取关键信息,辅助科研写作。

立即免费体验

Minimally invasive lobar preservation in the setting of spontaneous middle-lobe torsion.

作者信息

Sewell Marisa, Mohammadi Mitchka, Schipper Paul, Rydzak Chara, Landreth Scott, Thanawala Ruchi

机构信息

Department of Surgery, Oregon Health & Science University, Portland, Ore.

School of Medicine, Oregon Health & Science University, Portland, Ore.

出版信息

JTCVS Tech. 2023 Nov 23;23:154-157. doi: 10.1016/j.xjtc.2023.11.009. eCollection 2024 Feb.

DOI:10.1016/j.xjtc.2023.11.009
PMID:38352016
原文链接:https://pmc.ncbi.nlm.nih.gov/articles/PMC10859645/
Abstract
摘要
https://cdn.ncbi.nlm.nih.gov/pmc/blobs/a4ae/10859645/32357c227e29/fx3.jpg
https://cdn.ncbi.nlm.nih.gov/pmc/blobs/a4ae/10859645/ac2c12f1a4ef/fx1.jpg
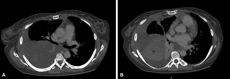
https://cdn.ncbi.nlm.nih.gov/pmc/blobs/a4ae/10859645/5ff2487ff1b9/gr1.jpg
https://cdn.ncbi.nlm.nih.gov/pmc/blobs/a4ae/10859645/44092fa960c4/gr2.jpg
https://cdn.ncbi.nlm.nih.gov/pmc/blobs/a4ae/10859645/32357c227e29/fx3.jpg
https://cdn.ncbi.nlm.nih.gov/pmc/blobs/a4ae/10859645/ac2c12f1a4ef/fx1.jpg
https://cdn.ncbi.nlm.nih.gov/pmc/blobs/a4ae/10859645/5ff2487ff1b9/gr1.jpg
https://cdn.ncbi.nlm.nih.gov/pmc/blobs/a4ae/10859645/44092fa960c4/gr2.jpg
https://cdn.ncbi.nlm.nih.gov/pmc/blobs/a4ae/10859645/32357c227e29/fx3.jpg

相似文献

1
Minimally invasive lobar preservation in the setting of spontaneous middle-lobe torsion.自发性中叶扭转情况下的微创肺叶保留术。
JTCVS Tech. 2023 Nov 23;23:154-157. doi: 10.1016/j.xjtc.2023.11.009. eCollection 2024 Feb.
2
Spontaneous middle lobe torsion: An institutional case series.
JTCVS Tech. 2023 May 6;20:176-181. doi: 10.1016/j.xjtc.2023.04.006. eCollection 2023 Aug.
3
Computed tomography detection of stapled interlobar fissure facilitates diagnosing postoperative lobar torsion: A case report.计算机断层扫描检测吻合器所致叶间裂有助于诊断术后肺叶扭转:一例报告
Int J Surg Case Rep. 2017;41:86-88. doi: 10.1016/j.ijscr.2017.10.013. Epub 2017 Oct 16.
4
[Lobar torsion after pulmonary resection for lung cancer].[肺癌肺切除术后的肺叶扭转]
Kyobu Geka. 2005 Dec;58(13):1153-7.
5
[Diagnosis and treatment for postoperative lobar torsion].
Zhonghua Yi Xue Za Zhi. 2007 Jul 17;87(27):1915-7.
6
Fatal stroke after completion pneumonectomy for torsion of left upper lobe following left lower lobectomy.左下肺叶切除术后左上叶扭转行全肺切除术后发生致命性中风。
J Cardiothorac Surg. 2006 Sep 12;1:25. doi: 10.1186/1749-8090-1-25.
7
Prophylactic middle lobe fixation for postoperative pulmonary torsion.术后肺扭转的预防性中叶固定术
Asian Cardiovasc Thorac Ann. 2017 Jan;25(1):41-46. doi: 10.1177/0218492316682669. Epub 2016 Dec 5.
8
Pulmonary lobar torsion: a rare complication following pulmonary resection, but one not to miss.肺叶扭转:肺切除术后一种罕见但不可漏诊的并发症。
BJR Case Rep. 2016 Jul 1;3(1):20160010. doi: 10.1259/bjrcr.20160010. eCollection 2017.
9
Lobar torsion after pulmonary resection; report of two cases.肺切除术后肺叶扭转;两例报告
Ann Thorac Cardiovasc Surg. 2006 Feb;12(1):63-5.
10
Differentiating Imaging Features of Post-lobectomy Right Middle Lobe Torsion.
J Thorac Imaging. 2023 Nov 1;38(6):333-345. doi: 10.1097/RTI.0000000000000736. Epub 2023 Sep 5.

本文引用的文献

1
Spontaneous middle lobe torsion: An institutional case series.
JTCVS Tech. 2023 May 6;20:176-181. doi: 10.1016/j.xjtc.2023.04.006. eCollection 2023 Aug.
2
Uniportal thoracoscopic management of middle lobe torsion after upper lobectomy.单孔胸腔镜治疗上叶切除术后中叶扭转
Asian Cardiovasc Thorac Ann. 2015 Nov;23(9):1129-31. doi: 10.1177/0218492315592994. Epub 2015 Jun 29.
3
Video-assisted thoracoscopic conservative repair of postoperative lobar torsion.电视辅助胸腔镜下术后肺叶扭转的保守修复术
Ann Thorac Surg. 2014 Nov;98(5):e119-21. doi: 10.1016/j.athoracsur.2014.07.080. Epub 2014 Oct 30.
4
Spontaneous pulmonary torsion secondary to pseudo-Meigs' syndrome.继发于假性梅格斯综合征的自发性肺扭转
Interact Cardiovasc Thorac Surg. 2005 Feb;4(1):59-60. doi: 10.1510/icvts.2004.096594. Epub 2005 Jan 7.
5
Lung torsion: radiographic findings in nine cases.
Radiology. 1987 Mar;162(3):631-8. doi: 10.1148/radiology.162.3.3809475.