Suppr超能文献

两例甲状旁腺癌伴多发棕色瘤。

Two cases of parathyroid carcinoma associated with multiple brown tumours.

作者信息

Sakai Akihiro, Inagi Toshihide, Iijima Hiroaki, Ebisumoto Koji, Okami Kenji

机构信息

Department of Otolaryngology, Head and Neck Surgery, Tokai University, School of Medicine, Isehara, Kanagawa 259-1193, Japan.

出版信息

BJR Case Rep. 2023 Dec 13;10(1):uaad003. doi: 10.1093/bjrcr/uaad003. eCollection 2024 Jan.

Abstract

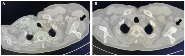
We present two rare cases of parathyroid carcinomas associated with multiple brown tumours. Plain radiographs, computed tomography, and neck ultrasonography revealed the presence of bone and parathyroid tumours. Despite the use of 99m Tc-methoxy isobutyl isonitrile (99mTc-MIBI) or F-fluorodeoxyglucose-positron emission tomography (18F-FDG PET)/CT, it was difficult to differentiate bone metastases from brown tumours. Parathyroid carcinoma was confirmed by histopathological examination following parathyroidectomy, resulting in spontaneous bone lesion improvement. In patients with parathyroid carcinoma presenting with bone lesions suggestive of metastasis, understanding the potential for brown tumour accumulation through 99mTc-MIBI or 18F-FDG PET/CT is pivotal. With this understanding, it is possible to diagnose brown tumours with parathyroidectomy and follow up for improvement of bone lesion and avoid invasive biopsy or surgery.

摘要

我们报告两例罕见的与多发性棕色瘤相关的甲状旁腺癌病例。X线平片、计算机断层扫描和颈部超声检查发现存在骨骼和甲状旁腺肿瘤。尽管使用了99m锝-甲氧基异丁基异腈(99mTc-MIBI)或氟-氟脱氧葡萄糖-正电子发射断层扫描(18F-FDG PET)/CT,但很难区分骨转移瘤和棕色瘤。甲状旁腺癌经甲状旁腺切除术后的组织病理学检查得以确诊,随后骨骼病变自发改善。对于表现出提示转移的骨病变的甲状旁腺癌患者,通过99mTc-MIBI或18F-FDG PET/CT了解棕色瘤积聚的可能性至关重要。有了这种认识,就有可能通过甲状旁腺切除术诊断棕色瘤,并对骨病变的改善情况进行随访,避免进行侵入性活检或手术。

https://cdn.ncbi.nlm.nih.gov/pmc/blobs/b09c/10860522/42888f434bc3/uaad003f1.jpg

文献AI研究员

20分钟写一篇综述,助力文献阅读效率提升50倍。

立即体验

用中文搜PubMed

大模型驱动的PubMed中文搜索引擎

马上搜索

文档翻译

学术文献翻译模型,支持多种主流文档格式。

立即体验