Suppr超能文献

中剂量福莫特罗通过β2AR/cAMP/SIRT1 通路减弱 EPO 诱导的腹主动脉瘤。

Medium-Dose Formoterol Attenuated Abdominal Aortic Aneurysm Induced by EPO via β2AR/cAMP/SIRT1 Pathway.

机构信息

National Key Laboratory for Innovation and Transformation of Luobing Theory, The Key Laboratory of Cardiovascular Remodeling and Function Research, Chinese Ministry of Education, Chinese National Health Commission and Chinese Academy of Medical Sciences, Department of Cardiology, Qilu Hospital of Shandong University, Jinan, Shandong, 250012, China.

Cardiovascular Disease Research Center of Shandong First Medical University, Central Hospital Affiliated to Shandong First Medical University, Jinan, 250013, China.

出版信息

Adv Sci (Weinh). 2024 Apr;11(15):e2306232. doi: 10.1002/advs.202306232. Epub 2024 Feb 14.

Abstract

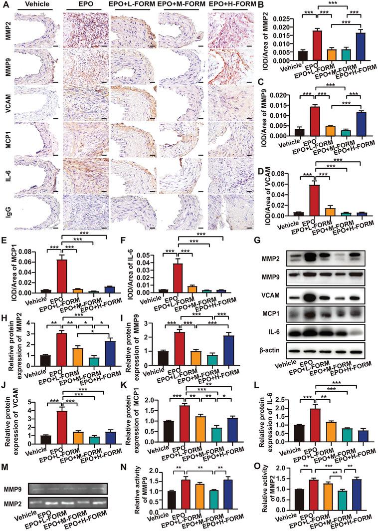
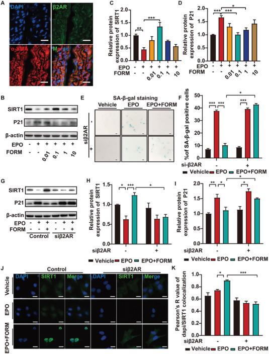
Abdominal aortic aneurysm (AAA) is a life-threatening vascular disease but effective drugs for treatment of AAA are still lacking. Recently, erythropoietin (EPO) is reported to induce AAA formation in apolipoprotein-E knock out (ApoE) mice but an effective antagonist is unknown. In this study, formoterol, a β2 adrenergic receptor (β2AR) agonist, is found to be a promising agent for inhibiting AAA. To test this hypothesis, ApoE mice are treated with vehicle, EPO, and EPO plus low-, medium-, and high-dose formoterol, respectively. The incidence of AAA is 0, 55%, 35%,10%, and 55% in these 5 groups, respectively. Mechanistically, senescence of vascular smooth muscle cell (VSMC) is increased by EPO while decreased by medium-dose formoterol both in vivo and in vitro, manifested by the altered expression of senescence biomarkers including phosphorylation of H2AX, senescence-associated β-galactosidase activity, and P21 protein level. In addition, expression of sirtuin 1 (SIRT1) in aorta is decreased in EPO-induced AAA but remarkably elevated by medium-dose formoterol. Knockdown of β2AR and blockage of cyclic adenosine monophosphate (cAMP) attenuate the inhibitory role of formoterol in EPO-induced VSMC senescence. In summary, medium-dose formoterol attenuates EPO-induced AAA via β2AR/cAMP/SIRT1 pathways, which provides a promising medication for the treatment of AAA.

摘要

腹主动脉瘤(AAA)是一种危及生命的血管疾病,但有效的治疗药物仍缺乏。最近有报道称,促红细胞生成素(EPO)可诱导载脂蛋白 E 敲除(ApoE)小鼠形成 AAA,但尚不清楚有效的拮抗剂。在这项研究中,发现福莫特罗(一种β2 肾上腺素能受体(β2AR)激动剂)是抑制 AAA 的有前途的药物。为了验证这一假设,分别用载体、EPO 和 EPO 加低、中、高剂量福莫特罗处理 ApoE 小鼠。这 5 组的 AAA 发生率分别为 0、55%、35%、10%和 55%。在体内和体外,EPO 增加了血管平滑肌细胞(VSMC)的衰老,而中剂量福莫特罗则降低了衰老,其特征表现为衰老生物标志物的表达改变,包括 H2AX 磷酸化、衰老相关β-半乳糖苷酶活性和 P21 蛋白水平。此外,EPO 诱导的 AAA 中主动脉 SIRT1(沉默调节蛋白 1)的表达降低,但中剂量福莫特罗显著升高。β2AR 敲低和环磷酸腺苷(cAMP)阻断减弱了福莫特罗在 EPO 诱导的 VSMC 衰老中的抑制作用。总之,中剂量福莫特罗通过β2AR/cAMP/SIRT1 通路减轻 EPO 诱导的 AAA,为 AAA 的治疗提供了一种有前途的药物。

https://cdn.ncbi.nlm.nih.gov/pmc/blobs/2491/11022707/02425baf759b/ADVS-11-2306232-g003.jpg

文献检索

告别复杂PubMed语法,用中文像聊天一样搜索,搜遍4000万医学文献。AI智能推荐,让科研检索更轻松。

立即免费搜索

文件翻译

保留排版,准确专业,支持PDF/Word/PPT等文件格式,支持 12+语言互译。

免费翻译文档

深度研究

AI帮你快速写综述,25分钟生成高质量综述,智能提取关键信息,辅助科研写作。

立即免费体验